INTRODUCCIÓN
El carcinoma basocelular (CB) es el tumor cutáneo más frecuente y su incidencia está en aumento1-3.
Los CB superficiales suponen aproximadamente un 15% de todos los CB, y generalmente se trata de lesiones únicas o múltiples que se localizan en el tronco con un tamaño superior a 1 cm. En estos casos el tratamiento convencional mediante cirugía, crioterapia o electrocoagulación puede producir cicatrices inestéticas. La radioterapia no aporta un control de los márgenes y puede ocasionar en el futuro una radiodermitis. Otros tratamientos como la terapia fotodinámica se encuentran bajo estudio o bien ofrecen resultados poco esperanzadores. El imiquimod (IMQ) al 5% en crema es un modificador de la respuesta inmune que induce la liberación de citoquinas e interferón, que ha sido eficaz en el tratamiento de diversas formas de CB4-7. Presentamos un caso de CB superficial múltiple que mostró una excelente respuesta al tratamiento con IMQ.
DESCRIPCION DEL CASO
Un paciente de 58 años de edad, sin historia familiar de CB, acudió a la consulta por presentar diversas lesiones de superficie eritematosa localizadas en el tronco. El paciente padecía psoriasis, por lo que había realizado frecuentes exposiciones al sol y tratamiento tópico con corticoides. A la exploración se observaron diversas placas de superficie eritematosa escamocostrosa y borde discretamente elevado y pigmentado, localizadas en el abdomen, región posterior del cuello y la espalda, que alcanzaban un tamaño de hasta 5 cm de diámetro (fig. 1). No se objetivaron hoyuelos en la región palmar ni otros rasgos dérmicos compatibles con el síndrome del CB ulcoide. El estudio histopatológico fue compatible con CB multicéntrico (fig. 2). Se realizó tratamiento quirúrgico de las lesiones de mayor tamaño. En los 4 tumores restantes (uno en la región posterior del cuello, dos en el costado derecho y uno en la región supraumbilical)se ensayó un tratamiento tópico con IMQ al 5% en crema en pauta de una aplicación al día tres veces por semana. Después de las primeras aplicaciones el paciente suspendió el tratamiento por presentar una intensa reacción en el lugar de aplicación, pero se reinició el mismo hasta completar un total de 12 aplicaciones. Todas las lesiones remitieron, dejando una lesión discretamente hipopigmentada residual, con excepción de la lesión de la región posterior del cuello (inicialmente más elevada), que requirió un tratamiento adicional con una sesión de crioterapia. Se realizó un control histológico de una de las lesiones del costado a los 6 meses, confirmándose la ausencia de infiltración tumoral (fig. 3). Después de 20 meses no se ha producido recidiva alguna.
Fig. 1.--Carcinomas basocelulares superficiales múltiples en la espalda.
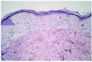
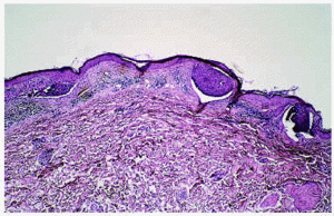
Fig. 2.--Estudio histopatológico realizado antes del tratamiento en el que se ponen de manifiesto proliferaciones tumorales, con disposición celular en empalizada, fijadas a la cara inferior de la epidermis, en el seno de un estroma escleroinflamatorio.
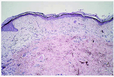
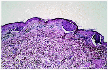
Fig. 3.--Control histopatológico sin signos de infiltración tumoral después del tratamiento.
DISCUSIÓN
Aunque el IMQ fue aprobado para su uso en el tratamiento de los condilomas acuminados, también es eficaz en el tratamiento de tumores y otras infecciones víricas8.
IMQ es un modificador de la respuesta inmune que posee una potente actividad antivírica y antitumoral in vivo. La actividad biológica del IMQ se atribuye a su capacidad para inducir la producción de interferón-γ y otras citoquinas, incluyendo interleucina-1(IL-1), IL-6, IL-8 y el factor de necrosis tumoral alfa (TNF-α), estimulando la inmunidad celular9. Además también puede favorecer una respuesta inmune citotóxica mediante la inducción de la producción de interferón-γ por los linfocitos.
El CB representa un importante problema de salud pública10. Beutner et al4 llevaron a cabo un estudio piloto randomizado doble ciego en 35 pacientes con CB (superficial o nodular) tratados con IMQ en crema al 5% en varias pautas (dos veces al día, una vez al día, tres veces a la semana, dos veces por semana y una vez por semana) o excipiente. El 100% de los que siguieron las tres primeras pautas se curaron. También regresaron las lesiones en 3 de 5 (60%) pacientes que se aplicaron la crema dos veces por semana y 2 de 4 (50%) que lo hicieron una vez a la semana. Los efectos adversos fueron esencialmente de tipo local, sobre todo en los pacientes que recibieron un mayor número de tratamientos por semana.
Marks et al5 realizaron un estudio multicéntrico en 99 pacientes con CB superficial con un resultado del 100% de curación en los tratados con una pauta de dos veces al día, 87,9% en los de una aplicación diaria, 73,3% en la de dos aplicaciones al día tres veces por semana y un 69,7% en los tratados una vez al día tres veces por semana. Hannukusela-Svahn et al6 trataron con éxito un caso de CBS múltiple en el cuero cabelludo. Más recientemente se ha demostrado la eficacia del IMQ en un estudio dobleciego, randomizado y controlado llevado a cabo con 128 pacientes7.
El IMQ es un fármaco prometedor, pero aún falta definir en qué tipos anatomoclínicos de CB es más eficaz, cuáles son las pautas idóneas y su eficacia, seguridad y relación coste-beneficio en comparación con otras modalidades terapéuticas.





