Mujer de 48 años acude con erupción cutánea levemente pruriginosa de cinco años de evolución, que comenzó en el cuello y la parte superior del pecho y se propagó gradualmente a axilas, brazos y tronco. Las lesiones no habían respondido a esteroides tópicos de potencia moderada y mejoraron con ciclos cortos de esteroides orales, con recaídas frecuentes.
La paciente era celíaca y no tenía antecedentes familiares importantes. No refería síntomas sistémicos y no tomaba medicación de forma habitual.
En la exploración clínica presentaba numerosas pápulas monomorfas del color de la piel diseminadas, con apariencia de empedrado, distribuidas simétricamente por el cuello, la parte superior del tronco, la parte proximal de los brazos y las axilas (fig. 1a, b). La presentación clínica sugería el diagnóstico de pseudoxantoma elástico, elastólisis dérmica papilar tipo PXE (PXE-PDE) o elastólisis de la dermis media.
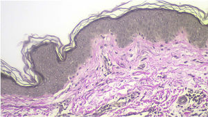
La biopsia cutánea reveló infiltrado dérmico intersticial con histiocitos e infiltrado linfocitario perivascular (fig. 2a). La tinción con azul alcián detectó depósitos de mucina, y la tinción de Verhoeff confirmó la distribución regular de fibras elásticas en la dermis, lo que favoreció el diagnóstico de granuloma anular de patrón intersticial (figs. 2b y 3).
Las pruebas de laboratorio, incluyendo hemograma completo, bioquímica sanguínea, perfil lipídico en ayunas, perfil tiroideo, anticuerpos antinucleares, serologías infecciosas (anti-VHC, antígeno VHB, VIH) y electroforesis de proteínas séricas no mostraron alteraciones.
Dado que la fototerapia no estaba disponible debido a la pandemia de COVID-19, la paciente inició tratamiento con dapsona 50 mg/día, que se suspendió por intolerancia gastrointestinal. Cuando estuvo disponible, la paciente inició el tratamiento con PUVA, en régimen estándar de 8-metoxipsoraleno por vía oral, tres veces por semana, con una radiación inicial de 2,5 J/cm2, e incrementos de 0,5 J/cm2 por sesión, según tolerancia, con una dosis final de 12 J/cm2.
Se observó una respuesta significativa después de 55 tratamientos.
El granuloma anular (GA) es una enfermedad cutánea granulomatosa no infecciosa que se presenta clásicamente en forma de pápulas anulares eritematosas del color de la piel que afectan a la región dorsal de manos y/o pies. Se han descrito sus formas generalizada, subcutánea y perforante. La variante generalizada (GAG) se presenta de forma simétrica, observándose placas anulares solo en 8-15% de los casos. La morfología papular descrita en nuestro informe es infrecuente y su diagnóstico supone un desafío1-3.
La similitud con el pseudoxantoma elástico y la elastólisis de la dermis media no había sido descrita con anterioridad, aunque las similitudes en la patogenia del granuloma anular y la elastólisis de la dermis media sugieren que ambas entidades pueden estar relacionadas4. El PXE-PDE, una entidad poco reconocida, puede presentar un cuadro clínico similar, pero normalmente presenta una pérdida en banda de fibras elásticas en la dermis papilar, que no se observó en nuestro caso (fig. 3)5.
Varios otros diagnósticos diferenciales como dermatitis granulomatosa intersticial, papulosis fibrosa blanca del cuello, mucinosis papular y la mucinosis eritematosa reticulada también podrían considerarse, aunque estos pueden ser fácilmente descartados basado en características clínicas e histológicas5.
El diagnóstico de GAG requiere correlación clínico-patológico. La biopsia de piel muestra granulomas en empalizada, infiltrado linfohistiocitario y depósito de mucina: una característica histológica clave para distinguir el GA de otras enfermedades granulomatosas. Nótese que en el GA intersticial, los hallazgos histopatológicos son sutiles y no hay necrobiosis6.
Se han propuesto algunas causas sistémicas, pero no existe evidencia científica y la etiología sigue siendo desconocida. Se han señalado como posibles factores desencadenantes las picaduras de insectos, los traumatismos, el herpes zóster, otras infecciones víricas, la administración de la vacuna del bacilo de Calmette-Guérin (BCG) y fármacos como los utilizados en terapias biológicas1,7.
En los pacientes con formas generalizadas o atípicas de la enfermedad, como en el caso descrito, se recomienda realizar pruebas adicionales para detectar enfermedades subyacentes como diabetes, dislipidemia, neoplasias malignas, enfermedad tiroidea e infección sistémica1.
La mayoría de los tratamientos descritos en la literatura se basan en informes de casos y pequeños estudios retrospectivos, con resultados generalmente poco satisfactorios1,8.
Las modalidades de tratamiento más populares son los esteroides tópicos y sistémicos, la isotretinoína, la dapsona, los agentes biológicos, la cirugía, el tratamiento con láser y la fototerapia8. A pesar de que la prednisona es eficaz en muchos casos, debido al carácter crónico del GAG se requiere un tratamiento a largo plazo que resulte más seguro2. Además de la prednisona, el inmunosupresor más utilizado por los dermatólogos es el metotrexato1.
La fototerapia, especialmente la PUVA, es la modalidad de tratamiento mejor estudiada en el GAG, y análisis recientes la recomiendan como tratamiento de primera línea, si está disponible.
Un estudio retrospectivo de 33 pacientes con GAG tratados con PUVA mostró una mejoría significativa en 66% de los pacientes. Sin embargo, la mayoría de estos pacientes experimentaron recidivas en un plazo de dos años9.
Otro estudio retrospectivo reciente encontró un efecto beneficioso en la mayoría de los pacientes que recibieron UVA1 y PUVA10.
El mecanismo de acción de la PUVA en el GA está posiblemente relacionado con la inhibición de los linfocitos T y los efectos accesorios sobre los macrófagos e induce la producción de metaloproteinasas7. La fototerapia UVB de banda estrecha (UVB-BE) es otra alternativa viable de fototerapia cuando la PUVA no está disponible8.
Informamos de un cuadro clínico diferente del GAG, que puede diagnosticarse erróneamente como pseudoxantoma elástico y requiere una correlación clínico-patológica precisa para establecer el diagnóstico adecuado. Además, demostramos que la PUVA es un tratamiento eficaz para esta enfermedad de tan difícil tratamiento.
FinanciaciónEste trabajo no ha recibido ningún tipo de financiación.
Conflicto de interesesLos autores declaran no tener ningún conflicto de intereses.





