INTRODUCCION
Los angiosarcomas derivan de células endoteliales presentes en la mayoría de órganos internos, pero afectan de forma preferente a las glándulas mamarias, el hígado, los huesos y el músculo estriado 1.
Los angiosarcomas cutáneos primarios son una neoplasia poco frecuente de la que destacan tres variantes: idiopática, de presentación en ancianos y localizada predominantemente en cabeza y cuello 2; secundaria a linfedema crónico de las extremidades, como el linfangiosarcoma de Stewart-Treves posmastectomía, y posterior a irradiación 3.
Desde el inicio de la generalización del tratamiento conservador del carcinoma mamario consistente en combinar una cuadrantectomía, segmentectomía o tumorectomía amplia junto a una linfadenectomía total y después radioterapia superficial de la mama (50 Gy) y sobreimpresión del lecho tumoral (15 Gy) sin irradiar la axila se ha descrito la aparición posterior de diferentes sarcomas radioinducidos. Entre éstos destacan en orden de frecuencia el angiosarcoma, el histiocitoma fibroso maligno, el sarcoma osteogénico y el fibrosarcoma 4-7. Se ha observado que el periodo de latencia del diagnóstico del sarcoma respecto al tratamiento del carcinoma mamario suele ser inferior en los casos de terapia conservadora con radioterapia adyuvante que en tratamientos más radicales. Este intervalo también muestra diferencias en función del tipo histológico de sarcoma. Entre todos ellos, el angiosarcoma es el que presenta un menor periodo de latencia, habitualmente entre 5 y 10 años, mientras que el resto de sarcomas radioinducidos suelen presentarse después de 10 años 4,8.
El primer caso de angiosarcoma de mama posterior a un tratamiento con radioterapia adyuvante tras mastectomía radical fue descrito por Maddox et al en 1981 9. Posteriormente, se describieron otros casos aislados y no fue hasta el año 1987 cuando Body et al 10 describieron el primer caso asociado a un tratamiento quirúrgico conservador con radioterapia. En la literatura inglesa se ha informado aproximadamente de 100 casos de angiosarcomas posteriores a esta terapia conservadora del carcinoma mamario. Aunque el angiosarcoma sigue considerándose una complicación poco frecuente, su incidencia se ha incrementado con la tendencia a elegir esta modalidad terapéutica que generaliza la indicación de un tratamiento de radioterapia adyuvante en las neoplasias de mama 11.
Presentamos un caso de angiosarcoma bien diferenciado en una mama tratada previamente con tumorectomía y radioterapia por un carcinoma mamario que planteó serias dificultades diagnósticas.
DESCRIPCIÓN DEL CASO
Una mujer de 44 años, con antecedentes de carcinoma ductal infiltrante de mama derecha (pT1N2Mo) diagnosticado en 1995 y tratado con tumorectomía y linfadenectomía axilar (6 ganglios afectados de 12), siguió tratamiento con quimioterapia (fluorouracilo, epirrubicina y ciclofosfamida) en 6 ciclos y posteriormente con radioterapia (60Co en mama, fosa supraclavicular y ápex axilar, 50 Gy y electrones de acelerador lineal de 12 Mev en el lecho quirúrgico de la tumorectomía 16 Gy).
A finales del año 2001, 6 años después del diagnóstico del carcinoma mamario, la paciente observó la aparición de una lesión por la que consultó en abril del año 2002. A la exploración presentaba una placa indurada violácea con un nódulo satélite de diámetro conjunto 40 x 27 mm situados en el cuadrante superior interno de la mama derecha (fig. 1). La histología de dos biopsias en sacabocados mostró una proliferación angiomatosa que ocupaba toda la dermis y que estaba formada por estructuras vasculares irregulares que disecaban los haces de colágeno, con paredes revestidas focalmente por varias capas de células endoteliales. No se observaba atipia celular (figs. 2A y B).
Fig. 1.--Aspecto clínico de la paciente en la que se observa una placa violácea indurada con un nódulo satélite.
Fig. 2.--A) Imagen histológica de una biopsia cutánea que muestra una proliferación vascular entre los haces de colágeno en la dermis reticular. (Hematoxilina-eosina, x 100.) B) Detalle de los vasos en el que se observa una proliferación de células endoteliales sin atipia celular. (Hematoxilina-eosina, x400.)
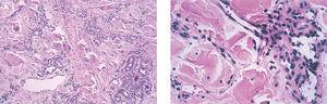
Considerando la clínica, los antecedentes, el edema cutáneo focal y la afectación de la grasa observada por mamografía, se decidió realizar una exéresis amplia de la lesión incluyendo hasta la hipodermis. En dicha resección se detectó una proliferación vascular de características similares a la observada en la dermis que infiltraba todo el tejido celular subcutáneo. Al estar los márgenes afectados, se practicó una reexéresis cuyo examen anatomopatológico evidenció la misma proliferación vascular con focos de atipia celular que alcanzaba, así mismo, los márgenes de la pieza estudiada. Por este motivo se realizó posteriormente una mastectomía simple. En esta pieza de mastectomía de 19,5 x 17 x 5 cm se observó en la porción central una lesión de contornos irregulares de color grisáceo-rojizo de 2 cm y otra de 4,5 x 3 x 1,5 cm también de contornos irregulares y aspecto hemorrágico. El estudio histopatológico de estas lesiones mostró una proliferación vascular difusa que disecaba los haces de colágeno (fig. 3A). Algunos vasos mostraban células endoteliales con varios núcleos, prominentes, de aspecto atípico y que confirmaban el diagnóstico de angiosarcoma (figs. 3B y C). Ni la piel ni el pezón mostraron alteraciones significativas. Los límites de resección de la pieza estaban libres de lesión. La paciente realizó 6 ciclos de paclitaxel y consiguió un aparente control de la enfermedad.
Fig. 3.--A) Aspecto histopatológico de la pieza de mastectomía en la que se aprecia una proliferación vascular con áreas de hemorragia. (Hematoxilina-eosina, x200.) B) Detalle de dicha pieza en que destaca la disección de los haces de colágeno por la proliferación vascular. (Hematoxilina-eosina, x200.) C y D) A mayor aumento se observan algunos vasos con atipia celular. (Hematoxilina-eosina, x400.)
En mayo del año 2004 consultó nuevamente por la aparición de dos máculas violáceas de 20 x 20 mm y 3 x 3 mm, con márgenes mal definidos, en la porción interna de la cicatriz de la mastectomía de 4 días de evolución. La histología de estas lesiones mostró una proliferación vascular con un endotelio prominente y patrón de crecimiento infiltrativo similar a la pieza de la mastectomía previa. La paciente ha recibido 6 nuevos ciclos de paclitaxel y se ha realizado una nueva exéresis quirúrgica del área lesional. La pieza quirúrgica ha mostrado nuevamente imágenes de hiperplasia angiomatosa con atipia infiltrando el tejido muscular subyacente.
DISCUSION
Se han descrito angiosarcomas cutáneos tras radioterapia en diferentes localizaciones como la cara, el cuero cabelludo, las paredes abdominal 9,12 y torácica 9,13, las regiones perianal y cervical 9, las extremidades y la mama 8,11,14-20. El desarrollo de angiosarcomas es una complicación conocida de la terapia del cáncer de mama; se relaciona con el linfedema crónico de las extremidades superiores después de una mastectomía radical, también llamado síndrome de Stewart-Treves, o con la radioterapia utilizada en tratamiento conservador. A diferencia de las pacientes afectas del síndrome de Stewart-Treves que desarrollan el angiosarcoma en el brazo ipsolateral a la mama afectada, las pacientes tratadas con radioterapia desarrollan las lesiones angiomatosas en la mama o en la pared torácica 14.
En los últimos años se prefiere tratar los tumores de mama primarios localizados empleando la combinación de una excisión local amplia o una segmentectomía con radioterapia, en lugar de la mastectomía. Esta tendencia se ha relacionado con un aumento de recidivas locales y un aumento significativo del riesgo de presentar un angiosarcoma secundario en la zona de piel tratada. Este incremento del riesgo de angiosarcoma queda reflejado en la serie de Strobbe et al 5, quienes estiman una incidencia de angiosarcoma en mamas previamente irradiadas del 0,16 % frente a los angiosarcomas mamarios primarios, que suponen menos del 0,01 % del total de neoplasias mamarias 21.
Los angiosarcomas en mamas tratadas con terapia conservadora suelen ser superficiales y en pocas ocasiones afectan en profundidad hasta el parénquima. Suelen presentarse en mujeres de más de 60 años después de unos 6-7 años de recibir tratamiento con radioterapia. En cambio, los angiosarcomas de mama primarios afectan al parénquima mamario y suelen diagnosticarse en mujeres más jóvenes, entre 20 y 40 años 21.
Clínicamente las lesiones del angiosarcoma cutáneo son variadas y muestran cierta correlación con el grado de diferenciación histológica que presentan. Habitualmente los angiosarcomas de bajo grado suelen presentarse como pápulas o nódulos eritematovioláceos, con superficie irregular, no dolorosos y frecuentemente rodeados de lesiones satélites similares. Estas lesiones satélites también pueden estar presentes en algunos angiosarcomas indiferenciados. Los angiosarcomas más indiferenciados suelen iniciarse como un área eritematosa que se sobreeleva u oscurece, aumenta rápidamente de tamaño, sangra con facilidad y se ulcera 1.
Los hallazgos de la mamografía suelen ser inespecíficos y muestran un engrosamiento cutáneo y/o una masa superficial mal definida. En cambio, la resonancia magnética puede ayudar a identificar lesiones clínicamente sospechosas, mostrando hipercaptación en las lesiones 11.
El curso clínico del angiosarcoma viene determinado en gran parte por su grado de diferenciación. Los casos de angiosarcomas de alto grado presentan crecimiento explosivo y muy frecuentes recidivas a pesar de realizar una resección radical. En cambio, los angiosarcomas de bajo grado suelen presentar un curso más insidioso, aunque existe el riesgo de recidiva local 11,14.
Nuestro caso ilustra las dificultades que se pueden presentar ante el diagnóstico de angiosarcoma. En esta enferma, las primeras biopsias cutáneas no mostraron atipia ni un patrón de crecimiento claro de angiosarcoma. Fueron las imágenes de la mamografía, que sugerían la presencia de un proceso expansivo profundo, las que aconsejaron la realización de exéresis más amplia. En estas piezas sí se observó una clara atipia y unos cambios histológicos que permitieron realizar un diagnóstico de certeza, que supuso la práctica de mastectomía. En la reciente revisión realizada por Rao et al 21 se informa de tres nuevos casos de angiosarcoma mamario después de radioterapia, dos de los cuales también mostraron dificultades diagnósticas iniciales debido al estudio de muestras superficiales de las lesiones biopsiadas. Con esto se remarca la necesidad de obtener biopsias amplias de las lesiones estudiadas para facilitar el diagnóstico histopatológico. Esto se debe a que en la piel de las mamas previamente irradiadas pueden desarrollarse otras neoformaciones de origen vascular o linfático con posibles cambios malignos, pero que no recidivan ni muestran riesgo de transformación maligna. Estas lesiones benignas se presentan predominantemente en forma de pápulas solitarias o múltiples, vesículas o placas eritematosas 22,23 (tabla 1).
Respecto al tratamiento de los angiosarcomas cutáneos mamarios posteriores a radioterapia, éste debe iniciarse con la realización de una resección quirúrgica agresiva, generalmente una mastectomía total. Las recidivas locales del tumor son frecuentes a pesar de la resección amplia del tumor incluso con márgenes libres 4,11,21.
Debido a la dificultad para controlar localmente el tumor con tratamiento quirúrgico único, se ha planteado la radioterapia hiperfraccionada como una terapia adyuvante, sobre todo en angiosarcomas de alto grado con un crecimiento explosivo 11. Referente a la quimioterapia únicamente el paclitaxel ha mostrado cierta actividad frente al angiosarcoma en pacientes con angiosarcomas en otras localizaciones 24. A nuestra paciente se le realizó una resección amplia del angiosarcoma con una mastectomía simple y se realizó tratamiento posterior con paclitaxel. A pesar de esto, 2 años y un mes después presentó una recidiva del angiosarcoma que se trató nuevamente con paclitaxel previo a la exéresis quirúrgica.






