Mujer de raza negra de 42 años, natural de Barbados, sin antecedentes médicos de interés, consulta por caída del cabello progresiva y permanente en la región central del cuero cabelludo, de 15 años de evolución, sin sintomatología acompañante. La paciente refiere uso de planchas y productos alisadores aplicados sobre el cuero cabelludo durante la adolescencia.
Exploración físicaEn la región parietooccipital presentaba una placa alopécica circular, de aspecto cicatricial de 10×12 centímetros de diámetro, con pilotracción negativa, sin actividad inflamatoria evidente (fig. 1).
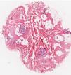
HistopatologíaEl estudio histológico mostró, tanto en cortes verticales (fig. 2) como horizontales (fig. 3), una fibrosis de la dermis, con ausencia de folículos, así como un leve infiltrado inflamatorio linfocitario.
DiagnósticoAlopecia central centrífuga cicatricial (ACCC).
Evolución y tratamientoSe pautó minoxidilo tópico al 5% 2 veces al día y se observó repoblación leve sobre la placa alopécica cicatricial tras 2 meses de tratamiento.
ComentarioActualmente la North American Hair Research Society acuña el término de ACCC como una enfermedad que afecta predominantemente a mujeres afroamericanas sin incluir otras causas de alopecia cicatricial. Previamente se ha descrito esta entidad como “hot-comb alopecia” o síndrome de degeneración folicular.
Se considera a la ACCC como la causa de alopecia cicatricial más frecuente en la raza negra1. Afecta fundamentalmente a mujeres adultas, y aunque probablemente, la etiología sea de origen multifactorial, se ha podido relacionar con historia de traumatismo físico o químico sobre el cuero cabelludo a lo largo de la vida2,3.
La ACCC afecta inicialmente a la región del vértex y se extiende centrífugamente, la sintomatología es inespecífica y puede estar ausente.
La histología a menudo es inespecífica y puede observarse en estadios iniciales una descamación prematura de la vaina folicular interna característica, aunque no exclusiva de esta entidad4, con destrucción del epitelio folicular acompañado de un infiltrado inflamatorio de predominio linfocitario que evoluciona hacia una fibrosis de la dermis, con ausencia de folículos que se reemplazan con colágeno cicatricial.
Con respecto al tratamiento de la ACCC, no hay ensayos clínicos que hayan demostrado eficacia a largo plazo5, se han utilizado antiinflamatorios tópicos e intralesionales, corticoides o inmunosupresores orales, tetraciclinas, minoxidilo y se puede valorar la posibilidad de trasplante capilar después de 6 a 9 meses de tratamiento médico.
Debemos tener presente la ACCC en el diagnóstico diferencial de otras alopecias cicatriciales, como el liquen plano pilaris, la alopecia frontal fibrosante, el lupus eritematoso discoide, así como la alopecia por tracción y patrones de alopecia en el sexo femenino en estadios finales, especialmente en mujeres descendientes de población afroamericana con antecedentes de utilización de productos químicos alisadores, planchas con calor y tracción, aunque no exista una clara predisposición con los hábitos culturales sobre el cuidado del cuero cabelludo. A pesar de que en nuestro medio este proceso es poco común, debemos considerar esta entidad debido a los cambios migratorios que cada vez nos afectan con más frecuencia.
Conflicto de interesesLos autores declaran no tener ningún conflicto de intereses.




 
		
