Introducción
La papulosis linfomatoide se encuadra dentro de los linfomas cutáneos de células T con comportamiento clínico indolente, según la nueva clasificación de la WHO-EORTC1. Suele afectar a adultos con una media de edad de 45 años y se caracteriza clínicamente por la aparición recurrente de lesiones papulosas, papulonecróticas y/o nodulares en la piel, predominantemente en el tronco y en los miembros. Cada lesión individual suele desaparecer en un período aproximado de tres a 12 semanas. En más de un 20 % de los pacientes la papulosis linfomatoide puede preceder, asociarse o suceder a otro tipo de linfoma, generalmente a una micosis fungoide o a un linfoma de Hodgkin. Desde el punto de vista histopatológico en la papulosis linfomatoide existen tres patrones distintos1-2. El tipo A o tipo histiocítico supone el 80 % de los casos, y se caracteriza por un infiltrado de linfocitos atípicos CD 30 positivos, con escaso epidermotropismo, junto con numerosas células inflamatorias. El tipo B o tipo micosis fungoide-like, representa el 10 % del total y se caracteriza por un infiltrado epidermotrópico de linfocitos con núcleo cerebriforme CD 30 negativos, similar a los observados en la micosis fungoide. El tipo C o tipo linfoma anaplásico de células grandes (10 % de los casos) se caracteriza por un abundante infiltrado monomorfo dérmico de linfocitos CD 30 positivos.
Aportamos el caso de un varón, con diagnóstico de papulosis linfomatoide hacía 7 años, que desarrolló dos lesiones ulcerosas en la lengua y que precisó de dos biopsias para llegar al diagnóstico de afectación mucosa específica por papulosis linfomatoide.
Caso clínico
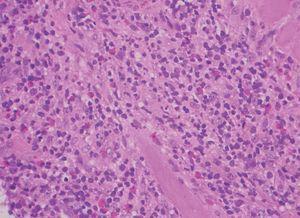
Se trata de un varón de 67 años, sin antecedentes personales de interés que acudía a nuestra consulta a controles periódicos por una papulosis linfomatoide diagnosticada hacía 7 años. El estudio de extensión practicado al inicio del diagnóstico fue normal. El paciente había desarrollado varios brotes de lesiones desde entonces con un buen control mediante el empleo de clobetasol tópico, aunque en ocasiones requirió la introducción de metotrexate oral para su control clínico, con una dosis total acumulada de 350 mg. En enero de 2005 el paciente desarrolló de forma rápida una lesión ulcerosa en la lengua, dura a la palpación, de 1,5 cm aproximadamente, de fondo fibrinoso y sucio. Con el diagnóstico clínico de úlcera fagedénica se pautó tratamiento oral con ciprofloxacino 500 mg cada 12 horas. La lesión no mostró mejoría tras una semana de tratamiento, por lo que se decidió practicar una biopsia. El informe de anatomía patológica fue compatible con una úlcera eosinofílica, por lo que se pautó tratamiento con prednisona oral 30 mg al día con resolución completa a las pocas semanas. Seis meses después acudió a consulta con una nueva lesión en la cara inferior de la lengua (fig. 1). Se trataba de una úlcera de 1,5 cm, con bordes inflamatorios y ligeramente infiltrada y una superficie blanquecina de aspecto fibrinoide. En este punto sospechamos la posibilidad de que podría tratarse de una afectación de su proceso de base más que de una nueva úlcera eosinofílica, por lo que decidimos practicarle otra biopsia. El estudio histopatológico mostró una ulceración de la mucosa, acompañada de un infiltrado difuso en la dermis subyacente. Este infiltrado mostraba un predominio de células de hábito linfoide, pero de mayor tamaño que los linfocitos maduros, así como gran cantidad de centroblastos e inmunoblastos, e incluso algunas células de morfología Reed-Sternbergoide. También se pudo observar la presencia de varias mitosis. Llamaba la atención además la presencia de abundantes eosinófilos en el infiltrado, y sólo algunos neutrófilos, histiocitos y células plasmáticas (fig. 2). El estudio mediante técnicas de inmunohistoquímica mostró positividad para CD 30 en algunos de los linfocitos atípicos. No se realizó estudio de reordenamiento del receptor de la célula T.
Figura 1. Lesión ulcerosa en la cara inferior de la lengua.
Figura 2. Infiltrado con predominio de células de hábito linfoide (hematoxilina-eosina, ×400).
Con el resultado de la biopsia confirmamos la afectación de la mucosa oral por la papulosis linfomatoide e interpretamos como probable el mismo diagnóstico para la primera lesión que sufrió el paciente 6 meses antes.
Discusión
La afectación de la mucosa oral por papulosis linfomatoide es un hecho bastante infrecuente, pero que ya ha sido reflejado previamente en la literatura. En este sentido es especialmente interesante el artículo publicado por Pujol et al3 en el que se describen dos nuevos casos y se revisan todos los publicados anteriormente en la literatura. Se trata en total de 6 casos: 4 mujeres y 2 hombres3-6, con una media de edad de 46 años. Todos los casos se presentaban en forma de úlceras en la lengua, excepto uno con afectación de la comisura oral y de la vulva2. Todos los pacientes habían sido previamente diagnosticados de papulosis linfomatoide, excepto en un caso en el que el diagnóstico de la afectación oral fue simultáneo al diagnóstico cutáneo de papulosis linfomatoide4. Las lesiones fueron todas autolimitadas y su aparición en ningún caso produjo un empeoramiento del pronóstico.
En cuanto al diagnóstico diferencial con otros infiltrados linfoides atípicos de la mucosa oral habría que establecerlo principalmente con los procesos linfoproliferativos cutáneos que puedan presentarse con frecuencia en dicha localización3. En primer lugar con el linfoma cutáneo primario de células T citotóxico epidermotrópico CD8+. Se trata de un linfoma cutáneo de muy mal pronóstico caracterizado por la aparición generalizada de lesiones cutáneas ulceradas y que presenta con frecuencia afectación mucosa. Desde el punto de vista histopatológico se caracteriza por un infiltrado de linfocitos CD8+ en la dermis superficial, de disposición en banda, con marcado epidermotropismo. Por el contrario, en la papulosis linfomatoide los linfocitos no tienen por qué ser CD8+ ni mostrar epidermotropismo (salvo en la variante MF-like). Además clínicamente las lesiones de la papulosis linfomatoide son autorresolutivas y de buen pronóstico, a diferencia de lo descrito para el linfoma T citotóxico.
La afectación de la mucosa oral por micosis fungoide es muy rara, de menos del 1 % de los casos, y generalmente asocia un peor pronóstico. La histopatología de la micosis fungoide en las lesiones mucosas es similar a la de las lesiones cutáneas. La presencia de lesiones típicas de micosis fungoide, y sobre todo la negatividad del CD 30, son útiles para descartar papulosis linfomatoide.
El linfoma cutáneo de células T g/d afecta con frecuencia las mucosas. Su histopatología muestra un infiltrado en la dermis que puede presentar tanto epidermotropismo marcado como afectación subcutánea. Las células que lo componen son CD 8+, y por lo tanto puede ser difícil su diferenciación del linfoma cutáneo primario de células T epidermotrópico CD8+, pero no de la papulosis linfomatoide.
El linfoma de células T/NK puede afectar también a las mucosas, pero su diferenciación con la papulosis linfomatoide no sería difícil, puesto que las lesiones del linfoma de células T/NK suelen ser persistentes y con frecuente afectación nasal, y desde el punto de vista histopatológico se caracterizan por la positividad de antígenos de células NK (CD 2, CD 56 y TIA-1).
Como conclusión, presentamos un nuevo caso de afectación de la mucosa oral por papulosis linfomatoide similar a los publicados previamente. La afectación mucosa en la papulosis linfomatoide es un hecho infrecuente, pero no conlleva un empeoramiento del pronóstico. Ante una úlcera mucosa, especialmente lingual, en un paciente diagnosticado de papulosis linfomatoide, debemos sospechar la posibilidad de que se trate de una afectación específica de la mucosa por su papulosis linfomatoide.
Conflicto de intereses
Declaramos no tener ningún conflicto de intereses.
Correspondencia:
Carlos Serra Guillén.
Servicio de Dermatología.
Instituto Valenciano de Oncología.
C/ Profesor Beltrán Báguena 8. 46009 Valencia.
cserraguillen@hotmail.com
Aceptado el 15 de septiembre de 2006.




