Sr. Director:
La acroqueratodermia siríngea acuagénica, también conocida como queratodermia palmoplantar acuagénica, es una queratodermia adquirida de etiología desconocida a pesar de que distintas hipótesis patogénicas han sido propuestas, incluyendo defectos estructurales o funcionales de la capa córnea durante la etapa de la adolescencia, patología primaria a nivel de ductos sudoríparos, incremento de la concentración de sodio a nivel cutáneo que condicionaría una mayor capacidad de retención de agua a nivel de la capa córnea, o reacción a fármacos 1-9. Desde su descripción original en 1996 por English y McCollough 1 se han publicado 18 casos en la literatura, 4 de ellos en Actas10-12.
Recientemente hemos tenido la oportunidad de diagnosticar un nuevo caso de esta entidad. Se trata de una joven de 28 años de edad, sana, que desde la infancia aquejaba escozor y tirantez creciente a nivel palmar tras pocos minutos de mantener las manos en contacto con agua. El proceso había ido empeorando progresivamente hasta llegar a dificultar la ducha diaria y condicionar incluso disestesias. No existían fármacos intercurrentes, hiperhidrosis asociada, ni antecedentes familiares de interés. La enfermedad había sido tratada durante años con diversos preparados tópicos prescritos habitualmente para la dermatitis irritativa crónica o el eczema atópico, sin mejoría alguna.
La exploración dermatológica reveló inicialmente una leve hiperqueratosis palmar bilateral. Tras sumergir las manos en agua durante 3 minutos, la piel palmar adquirió un aspecto engrosado, macerado, blanquecino, con acentuación de las arrugas palmares y formación de pequeñas pápulas translúcidas confluentes que mostraban dilatación de los orificios de salida de los ductos sudoríparos (fig. 1). El cuadro remitía progresivamente hasta la situación basal en 30-45 minutos.
Figura 1. Cambios clínicos característicos de acroqueratodermia siríngea acuagénica.
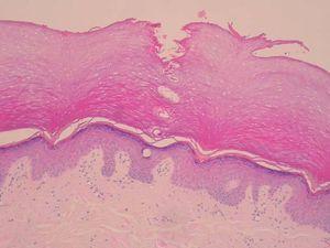
Con la orientación clínica de acroqueratodermia siríngea acuagénica realizamos estudio histológico que evidenció leve hiperqueratosis y discreta dilatación del acrosiringio, de dudoso significado patológico (fig. 2). Debido a la similitud del cuadro con las alteraciones descritas a nivel palmoplantar en enfermos con fibrosis quística 13 realizamos una prueba del sudor, que resultó normal.
Figura 2. Leve hiperqueratosis y dilatación del acrosiringio. Hematoxilina-eosina (×20.)
La enferma inició tratamiento tópico con solución hidroalcohólica de clorhidrato de aluminio al 18 % sin conseguir mejoría significativa, y rehusó la realización de un ensayo terapéutico con toxina botulínica 14.
Con la descripción de este caso deseamos contribuir a la casuística de esta nueva entidad en España y manifestar nuestra opinión de que, posiblemente, pueda tratarse de una enfermedad infradiagnosticada hasta el momento.




