Hasta la aparición en 1978 del libro de Ackerman Histologic diagnosis of inflammatory skin diseases1, los únicos términos relativos a variaciones y/o alteraciones de la capa córnea epidérmica que se empleaban en histopatología cutánea eran los de ortoqueratosis y paraqueratosis, añadiendo a ellos hiperqueratosis cuando el espesor de esa capa córnea era superior al normal en esa zona de la piel. Así, se decía hiperqueratosis ortoqueratósica, o hiperortoqueratosis, e hiperqueratois paraqueratósica.
El término ortoqueratosis significa queratinización normal o correcta (ortho-), es decir, aquella en que la muerte celular es completa y, por tanto, lo queda ningún resto nuclear visible dentro del corneocito que, sin embargo, conserva sus límites celulares.
Paraqueratosis significa queratinización anormal (para-) y se emplea cuando las células de la capa córnea (corneocitos) conservan un núcleo picnótico (en forma de disco que en los cortes aparece como un corto trazo horizontal).
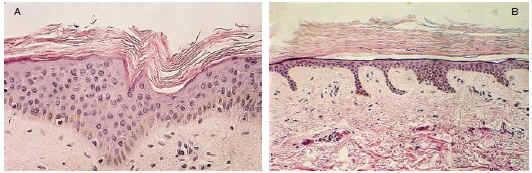
En su libro de 1978 Ackerman distinguió tres clases de hiperortoqueratosis: basket-woven, compact, and laminated1. En la segunda edición del libro, Ackerman et al definieron la primera como «una capa córnea cuyas células se disponen de forma entrecruzada semejando la disposición de una cesta entretejida»2. Esta definición tiene un error y medio. El error consiste en que las células córneas son demasiado pequeñas para formar entrecuzamientos entre ellas, lo que parece cruzarse con las láminas en que se agrupan los corneocitos. Y en segundo lugar esas láminas «semejan» los mimbres entretejidos de un cesto, pero (y éste es el medio error) se trata de una apariencia, no de una realidad; en realidad son láminas onduladas, como las de un hojaldre, que en los cortes histológicos simulan hilos entretejidos (figs. 1 y 2). Por ello nos parece igual de gráfico, pero mucho más ajustado a la realidad hablar de capa córnea hojaldrada (o laxa por el motivo que más adelante explicaremos). Ackerman et al añadían que ésta «es la disposición del estrato córneo de cualquier zona de la piel normal, excepto de palmas y plantas, donde los corneocitos se agrupan de forma compacta»2.
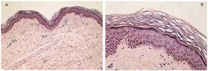
FIG. 1.--Capa córnea laxa (hojaldrada, basket-woven) normal de la epidermis normal que recubre toda la piel excepto en palmas y plantas; es delgada, laxa y basófila. (Hematoxilina-eosina. A: x100; B: x400).
FIG. 2.-- Hiperqueratosis ortoqueratósica (hiperortoqueratosis) laxa en un acantoma de células grandes. Sólo el fragmento epidérmico vertical de la izquierda de A tiene la córnea de espesor normal; la córnea de las piernas es normalmente más gruesa que en otra zonas. (Hematoxilina-eosima. A: x40; B: x400.)
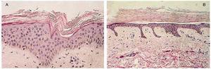
Por ortoqueratosis compacta se entiende, entonces, aquella en que los corneocitos ortoqueratósicos se adhieren estrechamente, formando una lámina compacta, sin espacios vacíos entre las células muertas que la forman. Ésta es la manera normal de disponerse los corneocitos de palmas y plantas (figs. 3 y 4); cuando vemos esta forma de agrupación en otras zonas de la piel estamos ante un trastorno de la queratinización (fig. 5). Por contraposición a ortoqueratosis compacta nosotros venimos usando el término de ortoqueratosis laxa para la que antes designamos como hojaldrada; es un término corto, exacto y menos doméstico (más científico).
FIG. 3.--Capa córnea compacta normal basófila (palma); se conservan en ella las huellas de los núcleos desaparecidos en el proceso de queratinización. (Hematoxilina-eosima. A: x 40; B: x 200).
FIG. 4.--Capa córnea compacta normal eosinófila (planta). No conserva las huellas nucleares. Tanto en la figura 3 como en ésta destaca el hecho de que tanto en la palma como en planta y tanto si la córnea es basófila o eosinófila, hay «columnas» más claras coincidiendo con los «valles», en los que es más delgada la capa granulosa. (Hematoxilina-eosima. A: x 40; B: x 200).
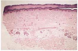
FIG. 5.--Hiperqueratosis ortoqueratósica compacta. No se trata de palma ni de planta, sino de que el paciente con un granuloma de cuerpo extraño en la dermis del antebrazo izquierdo, se entretenía en tocárselo dando lugar a esta callosidad que reproduce la córnea compacta (basófila en este caso) de palmas o plantas. (Hematoxilina-eosima. A: x 40; B: x 200).
Por ortoqueratosis laminar se entiende la agrupación de los corneocitos ortoqueratósicos en láminas que se disponen paralelamente entre sí (fig. 6). También en una capa córnea laxa los corneocitos se agrupan en láminas, por lo que, en sentido estricto, es una córnea ortoqueratósica laminar, pero en ese caso las láminas no son paralelas entre sí sino que simulan los mimbres de una cestilla (nada menos parecido al paralelismo). Por tanto cuando las láminas parecen entrecruzarse hablamos de ortoqueratosis laxa y cuando son paralelas entre sí hablamos de ortoqueratosis laminar. A menudo este uso equívoco del término laminar produce confusión al que se inicia en la histopatología cutánea. Una forma de evitarla podría ser denominarla ortoqueratosis en láminas paralelas. No obstante, hay otro dato importante que facilita la diferenciación de ambos tipos de córnea ortoqueratósica: la córnea laxa es siempre basófila (es teñida por la hematoxilina en todos del azul al violeta) (figs. 1 y 2), mientras que la córnea laminar es siempre eosinófila (es teñida por la eosina en tonos del rosa al rojo)(fig. 6).
FIG. 6.--Capa córnea laminar. Es siempre eosinófila y sin restos nucleares y destaca el paralelismo de sus láminas. A: ictiosis vulgar dominante (falta la granulosa). B: ictiosis ligada al sexo (granulosa conservada). C: ictiosis laminar. (Hematoxilina-eosima, x400, x100, x20).
FIG. 6.--Capa córnea laminar. Es siempre eosinófila y sin restos nucleares y destaca el paralelismo de sus láminas. A: ictiosis vulgar dominante (falta la granulosa). B: ictiosis ligada al sexo (granulosa conservada). C: ictiosis laminar. (Hematoxilina-eosima, x400, x100, x20).
Y así pasaremos a considerar la importancia del color (la apetencia tintorial por la hematoxilina o por la eosina) de la capa córnea.
LOS «COLORES» DE LA CAPA CORNEA
Las dos cualidades de la capa córnea que se aprecian perfectamente cuando se examina un corte de piel con el pequeño aumento son su color y su espesor. Ya hemos dicho que la capa córnea laxa, la que recubre la mayor parte de la superficie cutánea, es siempre basófila; por el contrario, la córnea paraqueratósica es siempre eosinófila. Como la paraqueratosis es la más frecuente alteración de la queratinización, cuando con el pequeño aumento vemos una capa córnea eosinófila podemos aventurar, con pocas probabilidades de error, que esa córnea es paraqueratósica, aunque con ese aumento no seamos capaces de distinguir los núcleos picnóticos (fig. 7).
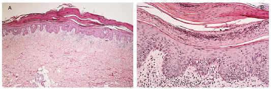
FIG. 7.--Capa córnea paraqueratósica. Es siempre eosinófila y coincide con atrofia o desaparición de la granulosa. En este caso es una psoriasis; la gran acumulación de núcleos de la mitad inferior de la córnea de B corresponde a neutrófilos (microabsceso de Munro). Los demás restos nucleares, en forma de pequeños trazos horizontales, son los núcleos picnóticos característicos de la paraqueratosis. (Hematoxilina-eosima, x40, x200).
Vimos antes que la córnea ortoqueratósica laminar también es eosinófila (fig. 6), pero ese tipo de queratinización, como luego veremos, se produce en muy pocos procesos cutáneos. En otra circunstancia, la capa córnea puede ser eosinófila sin ser paraqueratósica: la capa córnea normal de palmas y plantas es siempre compacta, pero unas veces es basófila (fig. 3) y otras eosinófila (fig. 4). Y estos dos tipos de córnea compacta no sólo se diferencian por su apentecia tintorial, sino también por su estructura; cuando es basófila se distinguen en ella perfectamente los límites celulares de los corneocitos y en su centro la «huella», menos basófila, del núcleo desaparacido (fig. 3); cuando es eosinófila apenas se distinguen los límites celulares y no se aprecia la «huella» nuclear (fig. 4). No hemos podido saber a qué se deben estas diferencias de estructura y tinción en zonas normales de las mismas características. Incluso no es infrecuente ver las dos tinciones (y estructuras) en el mismo corte (fig. 8).
FIG. 8.--Corte de palma donde llama la atención que la capa córnea, siempre compacta, es basófila en unas zonas y eosinófila en otras. El despegamiento de la derecha es un artefacto muy usual: debido a su mayor dureza, la capa córnea «salta» al pasar la cuchilla del microtomo (x20).
El carácter compacto de la capa córnea de palmas y plantas no parece ser más que una preparacion genética para la función de roce de estas superficies de la piel: las plantas, siempre en contacto y roce con el suelo o con el calzado, y las palmas, siempre en contacto y roce con objetos e instrumentos. El resto de nuestra piel no está genéticamente preparada para el roce continuo; cuando éste se produce...
-- Hábitos profesionales (violinistas, trompetistas, zapateros...). Rodillas de las señoras de la limpieza antes de inventarse la fregona...3.
-- Tics nerviosos4.
-- Costumbres religiosas (nódulo de los oradores). En la frente si son musulmanes3 y en las rodillas si son católicos.
-- Costumbres posturales.
-- Dermatosis pruriginosas fijas: dermatitis atópica, liquen plano, lique amiloide, numerosas tumoraciones benignas al alcance de las manos (estas últimas entrarían en el grupo de los tics).
... se forma a su nivel una hiperortoqueratosis compacta (fig. 5), unas veces basófila y otras veces eosinófila, simulando perfectamente una palma o una planta en las zonas más insospechadas y dando lugar, a veces, al llamado «signo de la palma peluda»2 (fig. 9).
FIG. 9.--Signo de la palma peluda. El roce continuo en cualquier zona pilosa puede originar esta imagen de una epidermis con una córnea compacta como la de la palma. La presencia de un folículo piloso nos saca del error: no es una «palma peluda», sino una callosidad en una zona pilosa. (Hematoxilina-eosima. A: x40; B: x100).
CLASIFICACIONES
Las distintas variedades, normales y anormales, que se pueden encontrar a nivel de la capa córnea se resumen en las tablas 1 y 2. La capa córnea normal de tipo laxo es siempre más delgada que la de tipo compacto (figs. 1, 3 y 4). Ello guarda relación con el espesor de las demás capas de la epidermis; la epidermis viva de palmas y plantas es claramente más gruesa que la del resto de la piel (con la excepción de los genitales...). Este mayor grosor es debido al mayor número de capas de células espinosas y granulosas (la capa basal, por definición, consta siempre de una sola capa de células: las que contactan con la membrana basal). La córnea laxa es siempre basófila.
La córnea laminar se encuentra constantemente en la ictiosis vulgar y en la ictiosis ligada al cromosoma X; en la primera coincide con una prática desaparición de la capa granulosa (fig. 6A), mientras que en la segunda, la capa granulosa es normal o ligeramente atrófica (fig. 6B). La hiperortoqueratosis laminar tam-bién puede verse ocasionalmente en otros procesos ictiosiformes, como la ictiocis laminar (fig. 6C) o la hiperqueratosis epidermolítica; e incluso sin relación con dermatosis ictiociformes, en circunstancias aún por determinar. La córnea laminar es siempre esosinófila.
La paraqueratosis (fig. 7) es, como decíamos antes, la más frecuente alteración de la queratinización ya que se encuentra tanto en procesos inflamatorios (dermatitis, NEVIL), como eritematodescamativos (psoriasis, pitiriasis rubra pilaris) o neoplásicos (queratosis actínica, Bowen), siempre como una manifestación de una epidermopoiesis acelerada. En esa aceleración los queratinocitos espinosos pasan directamente a formar una capa córnea incompleta (con núcleos) sin pasar por la fase previa de células granulosa, de manera que siempre se asocian paraqueratosis y atrofia, o desaparición, de la capa granulosa; también suele asociarse a acantosis, ya que la hiperproliferación epidérmica produce un aumento del número de capas de células espinosas. La córnea paraqueratósica es siempre eosinófila por lo que, dada la enorme frecuencia de este trastorno, si siempre que veamos a pequeño aumento una córnea eosinófila decimos que es paraqueratósica nuestro índice de aciertos será elevadísimo.
La hiperortoqueratosis laxa se observa principalmente en el acantoma de células grandes (fig. 2) y en la verruga plana.
La hiperqueratosis compacta, cuando se produce a nivel de palmas y plantas, indicará simplemente un exceso de su espesor normal, ya de por sí marcado. Este exceso será habitualmente una expresión de un trastorno genético (queratodermia palmoplantar) o de un roce excesivo (callosidad). Fuera de las palmas y plantas, la hiperqueratosis compacta (unas veces basófila y otras eosinófila) es casi siempre la consecuencia del rascado crónico o el roce continuado. Es el proceso denominado liquen simple crónico o liquenificación (fig. 5).
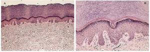
Lógicamente, todos estos tipos de alteraciones de la capa córnea pueden combinarse entre sí en una misma lesión (fig. 10). Pese a su rareza, siempre se pone como ejemplo de ello a la pitiriasis rubra pilaris en la que alternan, tanto en sentido horizontal como vertical, zonas orto y paraqueratósicas. Mucho más frecuentes de ver son las «chimeneas» ortoqueratósicas (basófilas y laxas) procedentes de los anejos no afectos, en el seno de la hiperqueratosis paraqueratósica (eosinófila) de la queratosis actínica.
FIG. 10.--En esta biopsia de una psoriasis en gotas se aprecia la coexistencia de un foco de paraqueratosis, con neutrófilos, en el seno de una hiperortoqueratosis laxa. (Hematoxilina-eosima. A: x40; B: x200).
El término hipoqueratosis no aparece en el índice de ninguno de los recientes libros de dermatopatología que hemos consultado, mientras que en todos ellos aparece la hiperqueratosis2,5-11. Se halla en prensa un artículo en el que se recogen 10 casos procedentes de tres países (Alemania, España y Chile) y de cuatro centros (España figura con dos) acerca de una nueva entidad cuyo marcador clínico e histopatológico es una disminución brusca del espesor de la capa córnea en una zona limitada de la palma o planta12. Será el primer proceso descrito que cursa con hipoqueratosis.
Finalmente, con fines prácticos hemos elaborado un algoritmo que podemos emplear ante una capa córnea, partiendo del único carácter cualitativo de la misma que es fácilmente apreciable con el objetivo lupa (e incluso sin microscopio): su apentencia tintorial con hematoxilina-eosina (fig. 11).
FIG. 11.--Algoritmo basado en las variedades cualitativas (tintoriales y estructurales) de la capa córnea.* Con atrofia de la granulosa. ** Con granulosa normal, disminuida o ausente. *** También se aprecia en otras circunstancias aún por determinar.

















