Un hombre de 84 años, con diagnóstico de psoriasis cutánea controlada con tratamientos tópicos y artritis psoriásica de 30 años de evolución en seguimiento por Reumatología, acudió a la consulta de Dermatología por la aparición, en los últimos dos meses, de lesiones dolorosas, ulceradas y necróticas en glande (fig. 1).
Las lesiones habían aparecido inicialmente como pústulas milimétricas, y se habían ido transformando progresivamente en úlceras, con eritema e induración de la piel circundante. El paciente negaba la práctica de conductas sexuales de riesgo o la aplicación de productos tópicos en dicha localización. Se encontraba asténico, pero afebril, y no presentaba síntomas sistémicos asociados ni otro tipo de lesiones muco-cutáneas.
En la exploración física no se palparon adenopatías inguinales. Se descartó afectación oftalmológica y neurológica. Se realizó un cultivo microbiológico de las lesiones, que fue negativo. Las pruebas de laboratorio, incluido el cribado de infecciones de transmisión sexual y el estudio de autoinmunidad, fueron normales.
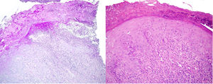
Se realizó una biopsia cutánea del borde de una de las lesiones, que mostró una úlcera inespecífica, con un infiltrado denso, inflamatorio y predominantemente neutrofílico (fig. 2).
¿Cuál es el diagnóstico?
DiagnósticoPioderma gangrenoso
Evolución y comentarioSe diagnosticó al paciente de un pioderma gangrenoso (PG) del glande del pene. Se prescribieron corticoides orales a dosis de 1mg/kg/día, en pauta descendente, con una mejoría clínica significativa. Posteriormente, se administró dapsona como tratamiento de mantenimiento, a dosis de 50 mg/día, pero el paciente presentó una insuficiencia renal aguda que requirió ingreso hospitalario y obligó a la suspensión del fármaco. Finalmente se administró adalimumab 40mg cada 14días, consiguiéndose una remisión completa de las úlceras (fig. 3).
El PG es una dermatosis neutrofílica rara y rápidamente progresiva. Aunque su etiología sigue siendo desconocida, el PG se ha asociado con frecuencia a otras enfermedades inflamatorias sistémicas, que pueden estar presentes previamente o aparecer después del PG. La enfermedad inflamatoria intestinal, la artritis y las enfermedades hematológicas son las más relacionadas1. Nuestro paciente padecía artritis psoriásica, asociación descrita en la literatura.
Clínicamente, el PG se presenta como una úlcera dolorosa y rápidamente progresiva. Suele comenzar como una pústula folicular con rápido crecimiento y necrosis tisular asociada. La piel circundante es típicamente eritematosa o violácea y puede haber edema o infiltración. El fenómeno de patergia es característico de la enfermedad1.
El PG aparece con mayor frecuencia en la parte inferior de las piernas, con predominio en la zona pretibial. Se ha descrito la afectación de otras localizaciones de la superficie cutánea, como la cabeza y el cuello, el tronco, los brazos y la piel periestomal. Aunque las manifestaciones genitales del PG son extraordinarias, se han descrito algunos casos de PG del pene2. Por lo tanto, destacamos la importancia de considerar el PG en las úlceras genitales.
El diagnóstico de esta entidad es principalmente clínico y de exclusión de otras enfermedades. Por lo tanto, deben realizarse pruebas adicionales, como biopsia de piel, serologías y cultivos microbianos para llegar al diagnóstico. Los hallazgos histológicos del PG son inespecíficos; mientras que las lesiones prematuras pueden mostrar un infiltrado inflamatorio perifolicular, las lesiones evolucionadas pueden presentarse como una epidermis necrótica o ulcerada con un infiltrado difuso y denso de neutrófilos, linfocitos e histiocitos en la dermis papilar y reticular3.
No existen guías estandarizadas para el tratamiento. Las opciones terapéuticas se basan principalmente en el control de la enfermedad subyacente y el uso de agentes inmunosupresores, como corticosteroides, ciclosporina y fármacos contra el factor de necrosis tumoral (TNF)4. Aunque el infliximab se ha empleado clásicamente en el PG asociado a enfermedad inflamatoria intestinal, se han publicado estudios recientes sobre el uso de adalimumab en el PG, con una buena respuesta, como se observó en nuestro paciente5.






