Caso clínico
Se trata de una mujer de 74 años, que acude a la consulta remitida para valoración y tratamiento de tumoración de 3 x 2 cm en región preauricular izquierda, que había ido creciendo progresivamente a lo largo de los últimos años. A la exploración, se observa un tumor duro, globuloso, de carácter hemisférico, de bordes bien delimitados, de color rojizo con telangiectasias (fig. 1).
Figura 1. (Preoperatorio, vista anterior). A la exploración, se observa un tumor duro, globuloso, de carácter hemisférico, de bordes bien delimitados, de color rojizo con telangiectasias.
La paciente usaba peluca, al quitársela para realizar una exploración periférica de la lesión, ocultaba la presencia de múltiples tumoraciones de distinto tamaño, de consistencia firme, nodular y en general de las mismas características que la descubierta inicialmente, distribuidas en todo el cuero cabelludo; llegando ha ser deformantes y ulceradas las de mayor tamaño. La paciente refirió quince años de evolución (fig. 2).
Figura 2. (Prelateral). La paciente usaba peluca, al quitársela para realizar una exploración periférica de la lesión, ocultaba la presencia de múltiples tumoraciones de distinto tamaño, de consistencia firme, nodular y en general de las mismas características que la descubierta inicialmente, distribuidas en todo el cuero cabelludo; llegando a ser deformantes y ulceradas las de mayor tamaño.
Tras realizar un tratamiento quirúrgico de las lesiones, se citó a los descendientes de dicha mujer, para exploración y búsqueda de lesiones de tipo similar. En dos de ellos aparecieron lesiones de pequeño tamaño.
La paciente fue intervenida realizando exéresis completa del cuero cabelludo hasta el plano de la galea, mientras que la reconstrucción se realizó con injertos cutáneos de espesor parcial (fig. 3).
Figura 3. Postoperatorio de 3 meses. Injertos cutáneos de espesor parcial.
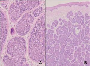
Dada la extensión de las tumoraciones, generalizadas por el cuero cabelludo y la cara y su larga evolución, sospechamos un síndrome de cilindromatosis familiar, por lo que citamos a consulta a sus seis hijos, encontrando en dos de ellos tumores en cuero cabelludo que fueron extirpados. El resultado de la anatomía patológica fue en los dos casos de cilindromas (fig. 4).
Figura 4. A. Tumor mal delimitado de localización dérmica, constituido por nidos y cordones de células basalioides rodeadas por una banda hialina eosinofílica. (Hematoxilina-eosina, x2.) B. A mayor detalle se observa una doble población: una célula periférica con núcleo hipercromático y tendencia a disponerse en empalizada y otra célula de mayor tamaño con núcleo central vesiculoso. (Hematoxilina-eosina, x20.)
Discusión
Cilindromatosis múltiple, síndrome de Brooke-Spiegler, síndrome de los cilindromas de Poncet-Spiegler, cilindromatosis familiar o síndrome del tumor en turbante, es una neoplasia benigna, autosómica dominante, que se caracteriza por el desarrollo de múltiples tumores del tipo cilindromas, tricoepiteliomas y ocasionalmente espiradenomas1-6. Respecto a su etiología se han descrito mutaciones asociadas en el gen CYLD (16q12-13 para los cilindromas y 9p21 para los tricoepiteliomas)7-14.
Los cilindromas son tumores epiteliales, específicamente de anexos dérmicos (glándulas apocrinas pilosebáceas), que se presentan a partir de la pubertad o largo de la edad adulta, de predominio en mujeres, localizándose preferentemente en cuero cabelludo. Suelen ser únicos, pero si se trata como en este caso del síndrome de Brooke-Spiegler se caracterizan por ser múltiples nódulos excrecentes, semiesféricos, bien delimitados, de tamaño variable, consistencia firme, de color rojizo, que por su número y crecimiento (lento) pueden llegar ser muy deformantes15-19.
Conflicto de intereses
Declaramos no tener ningún conflicto de intereses.
Correspondencia:
Ashley Novo Torres.
Camino de la Colonia Romana, 9.
03016 Alicante. España.
Correo electrónico: ash_novo@yahoo.com
Aceptado el 2 de agosto de 2006.






