Una mujer de 43 años, de fototipo II, sin antecedentes personales ni familiares de cáncer de piel, presentaba un nódulo tumoral en la frente de 4 meses de evolución, sin otros hallazgos en el resto del examen físico.
Exploración físicaEn la región frontal se observaba un tumor hemisférico rosado de 6mm de diámetro, friable, con una tendencia al sangrado (fig. 1). La dermatoscopia evidenció la presencia de unos glóbulos rojos centrales y, en la periferia, unos vasos glomerulares y en horquilla en un fondo blanquecino. Además, se observaba un área hemorrágica y el signo de la fibra textil (fig. 2).
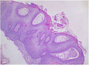
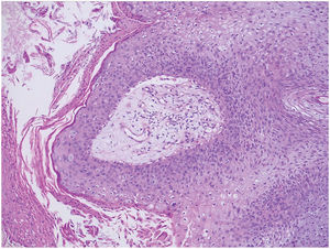
HistopatologíaEl estudio histopatológico con hematoxilina y eosina mostró la presencia de hiperqueratosis, paraqueratosis, papilomatosis y acantosis, a expensas de unas células basaloides y espinosas maduras. Estas últimas tendían a disponerse en forma de remolinos. En algunos sectores superficiales existían unas células granulosas con una vacuolización perinuclear y gránulos de queratohialina de tamaño desigual (figs. 3 y 4).
¿Cuál es su diagnóstico?
DiagnósticoQueratosis folicular invertida.
Evolución y tratamientoInicialmente se realizó una biopsia por afeitado con posterior recurrencia, por lo que se realizaron 3 ciclos de criocirugía, cada uno de ellos separado por 3 semanas, con una desaparición completa de la lesión.
ComentariosLa queratosis folicular invertida es un tumor anexial benigno poco frecuente que se origina en la porción infundibular del folículo piloso1.
Se ubica más frecuentemente en la cabeza y el cuello y predomina ligeramente en hombres adultos. Se presenta comúnmente como una tumoración exofítica solitaria, sin pigmento, de un crecimiento progresivo durante meses o años. Los diagnósticos diferenciales incluyen algunas lesiones queratinizantes como el carcinoma espinocelular, verrugas virales o queratosis seborreicas, así como otros tumores como el carcinoma basocelular2. Existen variedades pigmentadas que en algunos casos pueden simular melanoma3,4.
El diagnóstico se realiza mediante el estudio histológico, ya que clínicamente puede remedar distintas entidades. En la histopatología se observa papilomatosis, acantosis y característicamente células escamosas formando remolinos5.
La dermatoscopia no es patognomónica, pero orienta al diagnóstico. Los hallazgos más frecuentemente observados son los vasos en horquilla rodeados de un halo blanquecino dispuestos radialmente y un centro queratósico; o un área central amarillo-blanquecina, amorfa, rodeada de vasos radiales; y, menos frecuentemente, glóbulos rosados rodeados de un halo blanquecino, como mostraba nuestra paciente6.
El tratamiento consiste en la extirpación o la destrucción de la lesión ya que es un tumor benigno. Hay casos informados de resolución con crema de imiquimod con una pauta de 3 aplicaciones semanales durante 8 semanas7.
Conflicto de interesesLos autores declaran no tener ningún conflicto de intereses.







