El trastorno linfoproliferativo primario de célulasT pleomórficas pequeñas/medianas CD4+ (TLP-CTPPMCD4+) es una entidad infrecuente, incluida por primera vez como entidad independiente en la Clasificación de Neoplasias Linfoides de la OMS-EORTC de 2005 como linfoma cutáneo primario de célulasT pleomórficas pequeñas/medianas CD4+. Dado su aparente carácter indolente, en la clasificación de 2016 sufrió un cambio de nomenclatura pasando a denominarse TLP-CTPPMCD4+, aún como entidad provisional. Presentamos el primer caso de TLP-CTPPMCD4+ de aparición simultánea en dos hermanas.
Dos hermanas, de 54 y 58años de edad, consultaron por lesiones de características similares en mejilla izquierda y región cervical, de 2 y 3meses de evolución respectivamente, negando ambas factores desencadenantes relacionados. Las pacientes no convivían juntas, aunque ambas habitaban en áreas rurales. A la exploración física presentaban sendas pápulas eritematosas cupuliformes, de bordes netos, consistencia firme e infiltradas (fig. 1). El estudio histopatológico mostró un denso infiltrado linfohistiocitario en dermis e hipodermis, con tropismo por estructuras anexiales y ausencia de epidermotropismo. Este estaba compuesto por linfocitos de pequeño/mediano tamaño, pleomórficos y con atipia leve-moderada (fig. 2). La inmunohistoquímica mostró CD3, CD4, PD-1 positivo, CD10 negativo y Bcl-6 negativo, con células grandes CD30+ aisladas y CD7/CD5/CD2 preservados (fig. 3). Se observaron poblaciones celulares acompañantes de células CD8+ y CD20+. El reordenamiento fue monoclonal para TCR-beta en ambas muestras, no coincidiendo los picos de clonalidad en ambas muestras. El estudio de extensión mediante TAC cérvico-toraco-abdómino-pélvico y analítica completa con LDH fue negativo, por lo que se decidió mantener una actitud expectante, observando remisión espontánea a los 6meses en ambas pacientes.
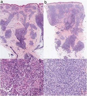
En la lesión cervical (a) y en la lesión de mejilla izquierda (b), infiltrado linfohistiocitario en dermis e hipodermis con tropismo por anejos y ausencia de epidermotropismo (H&E ×2). En la lesión cervical (c) y en la lesión de mejilla izquierda (d), infiltrado compuesto por células pleomórficas con atipia leve-moderada (H&E ×20).
El TLP-CTPPMCD4+ representa aproximadamente el 2% de los linfomas cutáneos, en cuya última clasificación se engloba como entidad provisional. Aunque está descrito a cualquier edad, suele afectar a adultos por encima de la quinta década de vida, sin clara preferencia por sexo1-8. Su etiopatogenia hoy en día es desconocida y controvertida, no habiéndose encontrado alteraciones genómicas asociadas en una serie reciente de 62pacientes, con estudio genómico en 11 de ellos2.
El TLP-CTPPMCD4+ suele presentarse en forma de lesiones solitarias en hemicuerpo superior, con preferencia por cabeza y cuello, normalmente en forma de nódulos, placas o tumoraciones eritematosas asintomáticas2. El estudio histológico muestra un infiltrado de linfocitos pleomórficos pequeños y medianos con atipia celular leve-moderada, en ausencia de epidermotropismo evidente, pudiendo presentar tropismo por estructuras anexiales2. El perfil inmunohistoquímico de estas células es CD3+, CD4+, CD30− y CD8−, pudiendo presentar pérdida variable de marcadores de célulasT (CD7, CD5 y CD2) y positividad variable para marcadores de linfocitosT-helper foliculares (PD-1, Bcl-6 y CXCL-13)2-4, no estando del todo clara a día de hoy la verdadera naturaleza de estas células. Acompañando a las célulasT neoplásicas podemos encontrar poblaciones de linfocitosB CD20+ y linfocitosT CD8+, así como algunas células grandes pleomórficas CD30+ aisladas (<30%). El índice proliferativo (Ki-67) suele ser inferior al 50%2. Se ha descrito reordenamiento monoclonal del TCR en más del 80% de los casos en la mayoría de series publicadas1-8.
El TLP-CTPPMCD4+ es una entidad de pronóstico muy favorable, con tasas de supervivencia a 5años >80-90%2,4. En la serie más extensa de casos publicada por Beltraminelli et al.3 con 136 pacientes, se realizó seguimiento en 45 de ellos durante una media de 64meses, sin observarse casos de afectación extracutánea. Únicamente se han descrito casos de afectación sistémica en una serie de 24 pacientes publicada por García-Herrera et al.6 que recoge 5casos de afectación extracutánea y proponen el crecimiento rápido, el índice proliferativo elevado y el escaso infiltrado CD8+ acompañante como factores de mal pronóstico, si bien se trata de pacientes con características muy heterogéneas. Creemos que teniendo en cuenta sus características (lesiones grandes, crecimiento rápido, expresión variable de CD4, pérdida de CD7, índice proliferativo elevado y afectación extracutánea), estarían mejor clasificados como linfoma cutáneo primarioT periférico no especificado. No se ha descrito ningún otro caso de afectación sistémica en el resto de series publicadas1-8. Las opciones de tratamiento incluyen la cirugía (de primera elección en lesiones solitarias), los corticoides tópicos o la fototerapia, entre otros. Únicamente hay descritos en la literatura 3casos con remisión espontánea completa5,9,10.
El diagnóstico diferencial incluye otros linfomas cutáneosT yB, así como los procesos linfoproliferativos reactivos y seudolinfomas, siendo estos últimos difíciles de diferenciar5. La presencia de pleomorfismo y atipia celular, la pérdida de marcadores de célulasT, la positividad para marcadores de linfocitosT-helper foliculares y el reordenamiento monoclonal del TCR son datos que orientan hacia el diagnóstico de TLP-CTPPMCD4+, si bien pueden estar también presentes en menor medida en procesos reactivos2-5.
En conclusión, presentamos dos nuevos casos de TLP-CTPPMCD4+, siendo los dos primeros casos descritos de aparición simultánea en hermanas. Además, destacamos la remisión espontánea en ambas pacientes, hecho escasamente documentado en la literatura hasta la fecha. La verdadera naturaleza de esta entidad y su diagnóstico diferencial con los procesos linfoproliferativos reactivos ha sido tema de controversia desde su inclusión en la clasificación de linfomas cutáneos. La aparición coincidente en el tiempo en dos hermanas podría reforzar la idea de un origen reactivo, dada la posible exposición a similares factores ambientales, así como de una posible influencia de factores genéticos aún desconocidos.





