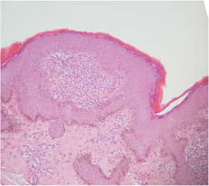
A 25-year-old man presented for evaluation of slightly itchy penile papules that had appeared progressively over the preceding year. Examination revealed numerous rounded, shiny, pale white papules on the shaft of the penis (Fig. 1A) and some isolated papules on the glans penis. No other similar lesions were observed. A skin biopsy was taken to confirm the diagnosis (Fig. 2).
Lichen nitidus.
CommentLichen nitidus1 is an inflammatory process that manifests clinically with uniform, whitish or skin-colored, generally asymptomatic papules of 1–2mm in size. Dermoscopic examination reveals structureless white areas (corresponding to papules), often with a darker central spot, which tends to diminish or interrupt the overlying skin markings, and a characteristic “sunburst” pattern (skin markings that radiate from the papules) that is particularly visible with nonpolarized dermoscopy.2,3
The most important conditions to include in the differential diagnoses of lichen nitidus of the penis are Fordyce glands and Molluscum contagiosum lesions. Dermoscopy is a useful tool to distinguish between these 2 entities: Fordyce glands appear as yellowish lobules surrounded by vascular garland-like structures, while Molluscum contagiosum lesions appear as polyglobular, yellowish-white, amorphous structures with a peripheral crown of fine vessels.
Conflicts of InterestThe authors declare that they have no conflicts of interest.




