To the Editor:
Transient myeloproliferative syndrome (TMPS) is a usually self-limiting hematologic syndrome characterized by the proliferation of myeloblasts in peripheral blood and bone marrow; it affects neonates with Down syndrome. It may be associated with skin lesions and so differential diagnosis with other vesiculopustular rashes may be required.
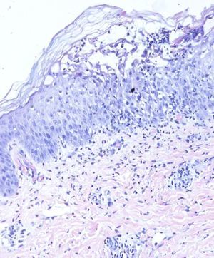
We report the case of a full-term baby girl with Down syndrome and a vesiculopustular rash located predominantly on the face, with lesions distributed unevenly on the face, scalp, and torso (Fig. 1). No prenatal tests were performed until the second half of the pregnancy, when ultrasound revealed mild heart abnormalities. Down syndrome was confirmed by karyotype in the first week of life. Tests carried out in the first week of life showed the following results: hemoglobin, 22.7g/dL; platelets, 46 000/μL; and leukocytes, 49 000/μL, with 28% blasts in blood. Cultures for bacteria, fungi, and viruses were negative. A smear of one of the pustules showed intermediate mature granulocytic elements and some blasts. The bone marrow showed no signs of leukemia. A skin biopsy revealed a subcorneal vesicular pustule filled with polymorphonuclear leukocytes and epidermal exocytosis (Fig. 2). Both the blood and skin abnormalities resolved spontaneously in the first weeks of life.
TMPS associated with Down syndrome is a self-limiting condition that presents with blasts in the peripheral blood, erythrocytosis, thrombopenia, and coagulation disorders.1 It may or may not cause skin lesions, which consist of vesicular pustules initially grouped on the head and later extending to the torso; these lesions may present the Koebner response and appear in areas susceptible to rubbing or pressure. Pathogenesis involves mutations of the GATA-1 gene.2 The differential diagnosis should include diseases that present vesicular-pustular rashes in neonates3 (Table 1), whether infectious, such as congenital candidiasis, impetigo, scabies, scalded skin syndrome, or herpes, or noninfectious, such as miliaria, toxic erythema, transient neonatal pustular melanosis, neonatal acne, blistering autoimmune diseases, epidermolysis bullosa, urticaria pigmentosa, or incontinentia pigmenti. In general, no treatment is required, other than support measures and follow-up, owing to the increased risk of developing acute leukemia in the first years of life1-3; however, chemotherapy drugs such as cytosine arabinoside and, more recently, rasburicase have been used in severe forms.4
Principal Differential Diagnosis of Vesicular Pustules in Neonates.
| Noninfectious Diseases |
| Miliaria |
| Toxic erythema |
| Transient neonatal pustular melanosis |
| Neonatal acne |
| Autoimmune blistering disease |
| Epidermolysis bullosa |
| Urticaria pigmentosa |
| Incontinentia pigmenti |
| Infectious Diseases |
| Congenital candidiasis |
| Impetigo |
| Scabies |
| Scalded skin syndrome |
| Herpes |
In conclusion, this entity should be taken into account when diagnosing vesiculopustular rashes in neonates. TMPS associated with Down syndrome is a rare condition that presents with blasts in the peripheral blood, erythrocytosis, thrombopenia, and coagulation disorders. Although treatment is generally not required, the patient should be followed up for several years, owing to the increased risk of leukemia during this time.
Please cite this article as: Borregón P, et al. Síndrome mieloproliferativo transitorio asociado a síndrome de Down. Actas Dermosifiliograf.2013;104:82–3.





