INTRODUCCIÓN
El metotrexato es un inhibidor competitivo de la enzima dihidrofolato reductasa, enzima que regula el paso de dihidrofolato a tetrahidrofolato. Posee un efecto antimitótico, antiinflamatorio e inmunosupresor, por lo que se ha utilizado en psoriasis, pénfigo, conectivopatías y linfomas cutáneos, habitualmente en dosis bajas y pautas semanales. Los efectos secundarios más importantes por su frecuencia o por su intensidad son la intolerancia gastrointestinal, la toxicidad hepática, la toxicidad hematológica o la neumonitis 1 . Los efectos secundarios mucocutáneos son poco frecuentes y muy variados: mucositis, exantemas, eritrodermia, vasculitis, necrosis epidérmica, úlceras, púrpura, fotosensibilidad, acné o foliculitis, entre otros 2 . Se exponen los casos de 2 pacientes, en tratamiento con metotrexato, que presentaron lesiones cutáneas y lesiones erosivas en la mucosa oral que sugerían un efecto citotóxico por quimioterapia y siringometaplasia escamosa ecrina.
DESCRIPCIÓN DE LOS CASOS
Caso 1Un varón de 63 años, bebedor moderado, con antecedentes personales de psoriasis de 20 años de evolución, tratado con corticoides tópicos, recibía en los últimos 2 años periodos de tratamiento con metotrexato. A los 8-10 días de comenzar un nuevo de tratamiento con metotrexato en dosis de 5 mg/día por presentar un nuevo brote de psoriasis, refirió la aparición de lesiones eritematosas violáceas sobreelevadas de 1-3 cm de diámetro en las extremidades inferiores, superiores y tronco, y sensación de quemazón sobre algunas placas de psoriasis. En la mucosa oral habían aparecido días antes lesiones erosivas, algunas de aspecto blanquecino. El cuadro se interpretó como un empeoramiento de la psoriasis, por lo que se le aumentó la dosis de metotrexato a 10 mg/día, asociando corticoides orales y fluconazol. Cuatro días después acudió a nuestro hospital por primera vez, presentando epistaxis, gingivorragia y sangrado en algunas placas de psoriasis, que en ese momento presentaban una superficie erosiva en algunas zonas. En la exploración física presentaba grandes placas erosivas costrosas y costras hemorrágicas en los codos, la cara anterior de los muslos y en la región lumbosacra. Además tenía lesiones eritematosas papulosas salpicadas que se distribuían fundamentalmente por las extremidades. En la mucosa oral se observaban lesiones erosivas que afectaban principalmente a la mucosa yugal (fig. 1).
Fig. 1. Paciente 1 . Lesiones salpicadas eritematosas violáceas sobreelevadas con pequeñas lesiones costrosas, que se distribuían fundamentalmente por las extremidades inferiores.
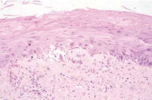
Fig. 2.Destaca una epidermis con ausencia relativa de núcleos, alteraciones madurativas de los queratinocitos y ocasionales queratinocitos necróticos. (Hematoxilina-eosina, ×100.)
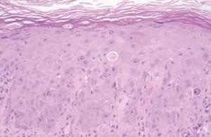
En las determinaciones analíticas destacaba pancitopenia (leucocitos, 1.940; hemoglobina, 12,6 g/dl; plaquetas, 3.000), aumento de las enzimas hepáticas (transaminasas glutamicooxalacética [GOT], 54; glutamicopirúvica [GPT], 85; y gammaglutamiltranspeptidasa [GGT] 136) y proteínas totales de 5,7 g/dl. En el aspirado de médula ósea existían signos de toxicidad por metotrexato, consistentes en una médula ósea hipocelular con megacariocitos disminuidos y cambios megaloblásticos de la serie eritroide y granulocítica, con algún blasto ocasional e histiocitosis y plasmocitosis reactiva. La biopsia de una de las lesiones eritema-tosas violáceas de la pierna derecha mostraba una epidermis constituida por células de citoplasma amplio, con ausencia relativa de núcleos, importantes cambios madurativos, imágenes de atipia celular y algunas mitosis (fig. 2). Asimismo se observaba una discreta degeneración hidrópica vacuolar de la capa basal y escasos infiltrados inflamatorios linfocitarios de distribución perivascular. Focalmente se encontraban imágenes de metaplasia escamosa en los conductos ecrinos. Se suspendió el metotrexato y se instauró tratamiento con ácido folínico, imipenem y factor estimulante de colonias de granulocitos (G-CSF), con rápida mejoría clínica y analítica. Posteriormente el paciente ha presentado nuevos brotes de psoriasis, pero no se ha reintroducido el metotrexato.
Caso 2Un varón de 60 años, con antecedentes de hipertensión arterial y artritis reumatoide se encontraba en tratamiento con ibersartán, doxazosina, colchicina, omeprazol, prednisona, acenocumarol y metotrexato. El metotrexato se había introducido, junto a la prednisona y la colchicina, hacía 2 meses, en dosis de 5 mg/día, para el tratamiento de la artritis reumatoide. El paciente refería la aparición 10 días antes de acudir a nuestra consulta de unas lesiones maculosas eritematosas en dorso de ambos pies y cara anterior de ambas piernas, así como la aparición de lesiones vesiculosas en tobillo derecho. El cuadro se acompañaba de lesiones erosivas en la mucosa oral de 2 semanas de duración que no respondían al fluconazol. En la exploración física presentaba lesiones maculosas eritematosas purpúricas, confluentes, en la cara interna de las rodillas, los tobillos y el dorso de los pies, y sobre dichas lesiones presentaba alguna lesión vesiculosa. En la mucosa labial inferior y paladar blando existían lesiones erosivas (fig. 3). En la analítica destacaba una hemoglobina de 12,6 g/dl, INR (índice normalizado internacional) de 7,2, creatinina 1,4 y transaminasas mínimamente elevadas.
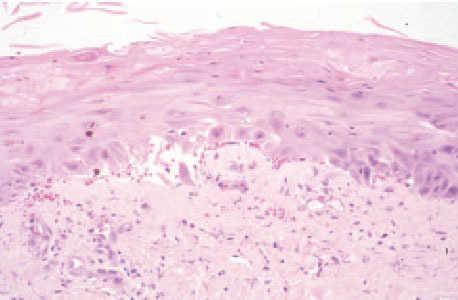
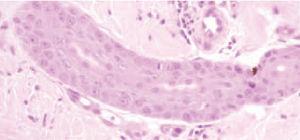
Se realizó una biopsia de tobillo izquierdo, en la que se encontraron cambios dismadurativos en la epidermis con imágenes de atipia celular y degeneración vacuolar en los queratinocitos de la capa basal (fig. 4). En la dermis se observaban algunos infiltrados inflamatorios linfocitarios perivasculares con frecuente extravasación hemática. En los conductos ecrinos existían imágenes focales de siringometaplasia (fig. 5). Se suspendió la administración de metotrexato y se instauró tratamiento con ácido folínico, con lo que se consiguió la resolución de todas las lesiones mucocutáneas.
DISCUSIÓN
Los pacientes descritos desarrollaron lesiones erosivas en la mucosa oral y posteriormente lesiones cutáneas, que clínicamente eran diferentes; sin embargo, los hallazgos histológicos eran idénticos en ambos casos. Los dos pacientes presentaban datos de efecto citotóxico por quimioterapia. El único fármaco citostático que tomaban ambos pacientes era el metotrexato, por lo que consideramos que las lesiones cutáneas fueron consecuencia de este fármaco.
Las reacciones adversas por el metotrexato pueden clasificarse en reacciones dosis dependientes, idiosincrásicas, dependientes de la dosis acumulada y retrasadas, incluso tras interrumpir el fármaco1 . La mayoría de estas reacciones inducidas por metotrexato son dependientes de la dosis y suelen observarse habitualmente en pacientes tratados con dosis elevadas de quimioterapia2 . Las reacciones mucocutáneas por metotrexato son muy variadas; dentro de ellas la estomatitis y las erosiones en la mucosa oral son relativamente frecuentes y suelen representar un signo precoz de to-xicidad3,4 .
En pacientes con psoriasis en tratamiento con metotrexato, las erosiones de las propias placas de psoriasis pueden representar un signo precoz de intoxicación por el fármaco5-7 . La sintomatología coincide con la de nuestro primer paciente, con dolor, quemazón y erosiones sobre las placas de psoriasis, por lo que con frecuencia se aumenta la dosis de metotrexato, al interpretar el cuadro como un rebrote. Cuando comienza un brote de psoriasis las células son más sensibles a la acción del metotrexato, dado que existe un recambio celular aún más rápido y más células epidérmicas se encuentran en fase S. En nuestros pacientes hay que destacar que los síntomas se manifestaron tomando dosis de 5 mg/día de metotrexato (35 mg semanales), que no suelen ser tóxicas, aunque son relativamente elevadas en patología inflamatoria. Sin embargo, tanto los hallazgos histológicos como la toxicidad hematológica y hepática del primer paciente sugieren más un efecto tóxico que inmunológico.
Los hallazgos histológicos de nuestros 2 pacientes son similares a los que se encuentran en los pacientes tratados con quimioterapia. Destacaban especialmente unos cambios dismadurativos que raramente se han descrito en la literatura especializada 8,9 y que en nuestra experiencia personal se repiten con frecuencia en pacientes en tratamiento quimioterápico. En las biopsias de ambos pacientes existían también imágenes focales de siringometaplasia. Estas alteraciones histológicas hacían pensar que, en el segundo paciente, el fármaco responsable de las lesiones mucocutáneas era el metotrexato, y no cualquiera de los otros medicamentos.
Fig. 3. Paciente 2 . Lesiones erosivas en paladar blando.
Fig. 4. Paciente 2 . Biopsia en la que se observan cambios similares a los del primer paciente, destacando además degeneración hidrópica basal y extravasación hemática. (Hematoxilina-eosina, ×100.)
Fig. 5. Paciente 2. Detalle de la biopsia en la que se observan alteraciones de siringometaplasia escamosa ecrina. (Hematoxilinaeosina, ×100.)
Hay factores que pueden contribuir a producir toxicidad por metotrexato, como la edad avanzada, la insuficiencia renal, la ingesta de alcohol o algunos medicamentos que interaccionan con el metotrexato, fundamentalmente los antiinflamatorios no este- 1,6,10,11 . Asimismo, algunos autores defienden que las pautas diarias resultan más tóxicas que las semanales 12 . Nuestros 2 pacientes recibían pautas diarias y, además, el primero refería haber ingerido alcohol durante el tratamiento y el segundo presentaba una mínima disminución de la función renal, además de tomar otros fármacos. Estos factores pudieron contribuir a incrementar la toxicidad del metotrexato.
Correspondencia:
María José García de Villalta. Servicio de Dermatología. Hospital Universitario de La Princesa. Diego de León, 62. 28006 Madrid. maria@aedv.es
Recibido el 26 de abril de 2004. Aceptado el 8 de julio de 2004.







