INTRODUCCION
La siringometaplasia escamosa ecrina (SEE) es un cuadro cutáneo definido por un patrón histopatológico que consiste en la transformación del epitelio glandular del ovillo y/o la porción excretora de la glándula ecrina en células escamosas con o sin queratinización intraductal. Esto puede producirse en relación con una serie de procesos tumorales, infecciosos o inflamatorios de la piel o, más frecuentemente, en el contexto de tratamientos antitumorales con agentes citotóxicos.
Se presenta el caso de una niña preescolar que presentó lesiones de SEE secundarias a tratamiento citostático por un tumor de Wilms inducidas por el fenómeno de evocación.
DESCRIPCIÓN DEL CASO
Se trata de una niña de tres años y medio, en seguimiento desde el nacimiento por nefromegalia bilateral, que tras un accidente de tráfico presenta un abdomen agudo. En ecografía y tomografía computarizada (TC) se evidenció la presencia de una masa renal izquierda con hemorragia intratumoral, sugestiva de nefroblastoma. Se inició tratamiento según el protocolo de la Sociedad Internacional de Oncología Pediátrica (SIOP) con ciclos de quimioterapia con vincristina, epirrubicina y actinomicina D. Tras quimioterapia preoperatoria se practica nefrectomía, con abordaje por laparotomía subcostal izquierda. El resultado del estudio anatomopatológico fue de nefroblastoma no anaplásico, predominantemente blastomatoso, parcialmente encapsulado, que afecta a márgenes quirúrgicos sin infiltrar la grasa perirrenal. Se hizo estudio de médula ósea que fue normal y citología de líquido peritoneal que resultó negativa para células neoplásicas. Con estos resultados se hizo el diagnóstico definitivo de nefroblastoma grado III-B, añadiéndose al tratamiento quimioterápico radioterapia a ritmo de 100 cGy/sesión, hasta una dosis total de 10 Gy. Durante el tiempo que duró la radioterapia se completaron dos ciclos con vincristina y uno con actinomicina D.
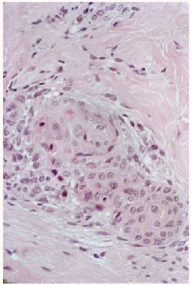
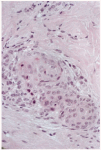
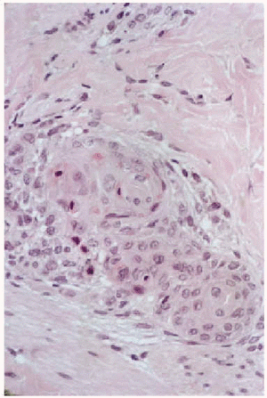
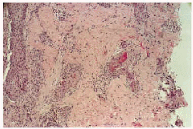
Cinco días después del final de la radioterapia la niña es hospitalizada por neutropenia febril con foco respiratorio, iniciándose tratamiento con cefepime y codeína. Al día siguiente se observó la aparición de unas placas eritematovioláceas, conformadas por micropápulas no foliculares, distribuidas en la región lumbar y en la zona del abdomen, con predilección por los bordes de la cicatriz de laparotomía (figs. 1 y 2). En el estudio histopatológico se evidenció una metaplasia escamosa madura de las porciones rectas de los conductos de las glándulas ecrinas sin afectación de los ovillos (fig. 3). Se observaban asimismo frecuentes células necróticas, queratinización de las luces y aislados queratogranulomas que entraban en contacto con la luz glandular (figs. 4 y 5). El diagnóstico histológico fue de siringometaplasia escamosa ecrina. La enferma continuó tratamiento quimioterápico, a pesar de lo cual las lesiones evolucionaron espontáneamente hacia la curación en un período aproximado de 1 mes, quedando una hiperpigmentación residual que se fue borrando paulatinamente.
Fig. 1.--Micropápulas en cicatriz de laparotomía y zonas de radioterapia previa.
Fig. 2.--Detalle de las lesiones.
Fig. 3.--Panorámica. Porción recta de conductos de glándulas ecrinas con metaplasia escamosa.
Fig. 4.--Glándulas ecrinas con metaplasia escamosa e infiltrado inflamatorio periférico.
Fig. 5.--Aproximación. Transformación de las células ductales en células escamosas. Aisladas células necróticas. Queratogranuloma.
Posteriormente la paciente presentó nuevamente fiebre y neutropenia, instaurándose tratamiento con cefepime, amoxicilina-clavulánico y antitérmicos, recidivando al día siguiente las lesiones cutáneas. Once días antes había recibido un ciclo de vincristina y actinomicina D. Estas nuevas lesiones tampoco fueron tratadas, evolucionando de forma favorable tal y como había sucedido con las primeras.
DISCUSIÓN
La dermatitis por fenómeno de recall 1 o dermatitis de evocación es una forma de toxicodermia que se desarrolla en pacientes con exposición previa a radioterapia y un posterior tratamiento con un agente precipitante. Aunque la mayoría de los casos se producen meses después de la radiación, hay casos descritos entre pocos días2 y hasta 15 años después de la última sesión de radioterapia3. Las lesiones cutáneas van desde lesiones maculopapulares eritematosas, formación de vesículas, hasta una descamación de la zona afecta, siendo la SEE, hasta donde hemos podido saber, un hallazgo descrito en tan sólo una ocasión en este cuadro4. Las lesiones deben aparecer por definición en el área sometida a radioterapia5. Son muchos los fármacos antineoplásicos asociados a la dermatitis por fenómeno de evocación: actinomicina D6, doxorrubicina (adriamicina)1, bleomicina7, edatrexato8, metotrexato9, etopósido10, hidroxiurea11, melfalán12, paclitaxel13, tamoxifeno14, vinblastina15 y gemcitabina2, 5. También se han involucrado fármacos no citostáticos tales como la codeína y el cotrimoxazol4.
Por otra parte, la SEE es un cuadro de metaplasia del epitelio glandular con diferenciación escamosa y cuya etiología se diferencia en dos grupos: los asociados a quimioterapia y los que no lo están. Dentro de los no asociados a quimioterapia se encuentran una serie de cuadros como carcinoma epidermoide16, la hiperplasia pseudoepiteliomatosa17, queratoacantoma18, pioderma gangrenoso19, paniculitis19, granuloma anular elastolítico20 y siringitis herpética21. En la enfermedad injerto contra huésped crónica22 no queda claro si corresponde a la quimioterapia o es consecuencia de la propia enfermedad. Se han descrito casos de SEE por fototoxicidad (tratamientos con benoxaprofeno23 o 2,3,7,8-tetraclorodibenceno-p-dioxina24 y fitofotodermatosis25) y sobre úlceras por quemaduras26. Los casos asociados a quimioterapia no parecen tener una especial predisposición por un fármaco ni tumor de base determinados27.
Aunque ambos procesos son de patogenia desconocida, se postula que pueden ser producidos por un efecto tóxico directo sobre la célula28. En el caso de la SEE, supuestamente, al ser eliminado el fármaco a través de la glándula sudorípara. En el fenómeno de evocación, por afectación de una célula previamente dañada que ya ha sido sometida a radioterapia. El daño celular que precede al fenómeno de evocación se produce a nivel ultraestructural, dejando la célula en un estado quiescente. Esto explica que la existencia de signos clinicopatológicos de radiodermitis no sea constante. En nuestro caso no se observaban dichos signos.
En un reciente artículo29 se demuestra una relación entre los dos grupos citados y el patrón de distribución clínica. En los casos asociados a quiomioterapia las lesiones se distribuyen preferentemente en axilas, ingles, palmas y/o plantas, de forma predominante o no. Esto sería así debido a que éstas son las zonas de mayor concentración de glándulas sudoríparas.
El caso que nos ocupa presenta las lesiones en las regiones sobre las que fue aplicada la radioterapia, sin afectación de las zonas típicas en casos asociados a quimioterapia. No obstante, y aunque la paciente recibió codeína y antibióticos inmediatamente antes de la aparición de las lesiones (ambos descritos como desencadenantes del fenómeno de evocación), el intervalo ideal para asociarlo a algún fármaco corresponde mejor con la administración de los citostáticos. Es por todo esto por lo que nos inclinamos a pensar que el caso corresponde a la denominada dermatitis por fenómeno de evocación, con manifestación en forma de SEE e inducida por quimioterapia.
Dentro del diagnóstico diferencial hay que considerar la hidradenitis neutrofílica ecrina (HNE)30 una entidad descrita en pacientes con leucemia tratados con quimioterapia. Los hallazgos histopatológicos de estas lesiones muestran un denso infiltrado neutrofílico alrededor y dentro de los conductos de la glándula ecrina. La SEE y la HNE han sido descritos de forma concomitante, postulándose la posibilidad de que formen parte del espectro de la misma enfermedad31. Otros autores, sin embargo, consideran que son procesos que pueden coexistir32.
Desde el punto de vista terapéutico conviene hacer una valoración de la gravedad y sintomatología que produce el cuadro cutáneo y de las alternativas terapéuticas del cuadro primitivo. Dado que la dermatitis es, a menudo, autolimitada, pueden evitarse en ocasiones cambios innecesarios de tratamiento. En nuestro caso, a pesar de mantenerse el tratamiento que indujo la aparición de lesiones, la evolución fue favorable en dos ocasiones, lo que anima a adoptar una actitud conservadora ante el proceso. Se han utilizado los corticoides, tópicos o sistémicos25. Actualmente se está investigando en la utilización de radioprotectores previos a las sesiones de radioterapia33.







