Los siringomas son tumores benignos de la glándula sudorípara, principalmente ecrina1,2. Su etiopatogenia es desconocida, aunque se cree que existe un origen multifactorial (genética, hormonal, friccional)3.
Friedman et al. clasificaron los siringomas en 4 grupos en función de sus características clínicas: localizados, generalizados (donde incluyen la forma eruptiva), familiares y asociados al síndrome de Down2.
Los siringomas eruptivos son una variante poco frecuente de siringomas que aparecen como múltiples pápulas del color de la piel o ligeramente pigmentadas a nivel del cuello, el tórax anterior, las axilas o la región periumbilical y púbica, antes o durante la pubertad1,4. Se han descrito casos de siringomas eruptivos con afectación únicamente de áreas intertriginosas, por lo que su diagnóstico es aún más desafiante1.
Una mujer caucásica de 38 años de edad, con antecedentes médicos de hipotiroidismo, fue remitida a nuestro servicio para valorar unas lesiones cutáneas asintomáticas de 2 años de evolución que aparecieron inicialmente en el cuello y el escote pero que, en un periodo de varios meses, se habían extendido hasta afectar a los pliegues submamarios, las axilas y las ingles. No presentaba antecedentes familiares de lesiones similares.
Las lesiones eran asintomáticas excepto por un leve prurito ocasional y fueron aumentando progresivamente en número hasta suponer un problema estético para la paciente. No lo relacionaba con ningún factor desencadenante y no había recibido ningún tratamiento previo para esta afección.
La exploración física evidenció unas pápulas del color de la piel perioculares, aunque destacaba sobre todo unas pápulas bien delimitadas, de color amarillo/anaranjado, de 3-4mm de diámetro, bilaterales y bastante simétricas en los pliegues (cuello, axilas, ingles y submamarios) (figs. 1A-D). El pelo y las uñas eran normales, sin afectación de las mucosas.
La dermatoscopia mostró finas líneas reticuladas marrones-rojizas sobre un fondo marrón claro (DermLite DL4, modo polarizado, aumento ×10) (fig. 2).
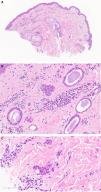
Se obtuvo una biopsia punch de 4mm que mostró una proliferación epitelial ductal de características benignas rodeada de un estroma fibroso junto con un infiltrado inflamatorio de patrón perivascular y perianexial en la dermis superficial, sin extenderse más allá y sin afectar el borde profundo de la biopsia. Los conductos estaban formados por una o varias capas de células cuboidales de talla pequeña, sin atipia y algunas de las células tenían una configuración en forma de renacuajo (figs. 3A-C).
A) Punch cutáneo que muestra una proliferación epitelial ductal de características benignas, localizada únicamente en dermis superficial. Se observa fibrosis estromal circundante, así como un infiltrado inflamatorio de patrón perivascular y perianexial (H&E panorámica). B) A mayor aumento, la lesión se compone de nidos y ductos formados por una o varias capas de células cuboidales de talla pequeña, sin atipia (H&E ×20). C) Ocasionalmente pueden adoptar un patrón tadpole like (H&E ×50).
El cuadro clínico de la paciente junto con los hallazgos histopatológicos concordaban con el diagnóstico de siringomas ecrinos eruptivos intertriginosos. Se inició tratamiento con 10mg de isotretinoína diarios, subiéndose posteriormente a 20mg diarios. No obstante, tras 6 meses de tratamiento la paciente no solo no refiere mejoría, sino que han ido apareciendo más lesiones, sobre todo a nivel del cuello y de pliegues submamarios.
Los siringomas eruptivos suponen un reto diagnóstico ya que son una variante infrecuente de siringomas que afectan a áreas atípicas1,4. En la literatura se han descrito menos de una docena de casos de siringomas eruptivos que sólo afectan a zonas intertriginosas (tabla 1), lo que hace que esta presentación sea excepcional3–8. En los casos que afectan a los pliegues, las axilas han sido la localización más frecuente, afectándose habitualmente de forma bilateral, siendo extremadamente infrecuente la afectación de ambos pliegues axilares e inguinales8.
| Autores (año) | Sexo | Edad de inicio | Localización |
|---|---|---|---|
| Azon-Masoliver et al. (1993) | Mujer | Pubertad | Axilas |
| Kakinuma et al. (2004) | Varón | 15 | Axilas |
| Garrido-Ruiz et al. (2008) | Varón | 29 | Ingles |
| Nosrati et al. (2008) | Mujer | 14 | Axilas |
| West et al. (2008) | Mujer | 18 | Axilas e ingles |
| Heo et al. (2010) | Mujer | 22 | Axilas |
| Sakiyama et al. (2014) | Mujer | 40 | Cuello, axilas e ingles |
| Sakiyama et al. (2014) | Mujer | 35 | Axilas e ingles |
| Litvinov et al. (2014) | Varón | 51 | Ingles |
| Roga et al. (2015) | Varón | 19 | Periocular, cuello y axilas |
| Sato et al. (2015) | Mujer | 10 | Axilas |
El diagnóstico diferencial incluiría acné vulgar, hiperplasia sebácea, milia, liquen plano, xantoma eruptivo, enfermedad de Darier, urticaria pigmentosa, verrugas planas y granuloma anular.
El diagnóstico definitivo se realiza mediante el examen histológico que revela una proliferación circunscrita de ductos en la dermis superficial formados por 2 capas de células epiteliales cuboidales, que en ocasiones muestra extensiones en forma de coma, denominadas patrón en renacuajo o «tadpole pattern»9.
La dermatoscopia, aunque no está bien definida, puede ser una herramienta útil, ya que el patrón más descrito en los siringomas eruptivos muestra finas líneas reticuladas marrones sobre un fondo marrón claro. En ocasiones, es posible observar áreas o puntos blanquecinos interrumpiendo la red, que se corresponden con las aperturas de las glándulas ecrinas. La dermatoscopia nos permite hacer un diagnóstico diferencial con otras enfermedades como, por ejemplo, el liquen plano, en el que se observa unas líneas reticuladas blancas, también conocidas como «estrías de Whickham»10,11.
El tratamiento no está estandarizado y se han utilizado multitud de opciones terapéuticas, incluyendo retinoides tópicos y orales, atropina tópica, crioterapia, electrocoagulación, peeling químico, escisión quirúrgica y terapia láser, con resultados generalmente insatisfactorios, como en el caso de nuestra paciente1,7,11,12.
En conclusión, reportamos un nuevo caso de siringomas eruptivos intertriginosos, una localización infrecuentemente publicada, si bien pensamos que estos casos de siringoma puedan estar infradiagnosticados.
Conflicto de interesesLos autores declaran no tener ningún conflicto de intereses.







