El siringoma de células claras es una variedad infrecuente de siringoma, con presentación clínica indistinguible de la de los demás siringomas. Sin embargo, se asocian con frecuencia a diabetes mellitus.
DESCRIPCION DEL CASO
Mujer de 64 años que refería una diabetes mellitus de larga evolución. Consultó por múltiples pápulas de unos 5 mm de diámetro, de color eritematoso-marrón y de consistencia firme, localizadas en mitad inferior de la cara y en el cuello (Fig. 1). Las lesiones eran asintomáticas y permanecían estables desde hace más de 15 años.
FIG.1.--Pápulas de color eritematoso-marrón en cara y cuello.
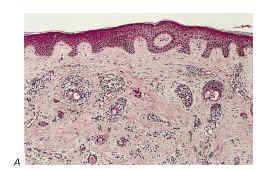
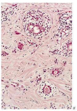
En el examen histopatológico de una de ellas se observaron cordones epiteliales y conductos sudoríparos interconectados, dispersos en un estroma escleroso en la dermis superior (Fig. 2 A). Los cordones y los conductos se componían de una doble capa de células cuboideas. La combinación de cordones y conductos daba lugar a las imágenes típicas en renacuajo. La mayoría de las células ductales presentaban un aspecto claro (Fig. 2 B).
FIG.2.--A: Cordones epiteliales y conductos ecrinos en el seno de un estroma escleroso. B: Detalle de la zona de la anterior donde predominan las células claras.
FIG.2.--A: Cordones epiteliales y conductos ecrinos en el seno de un estroma escleroso. B: Detalle de la zona de la anterior donde predominan las células claras.
La exploración más detallada de la paciente reveló la existencia de unas pápulas diminutas en los párpados, también sugestivas de siringomas.
DISCUSIÓN
Los siringomas son tumores frecuentes que habituamente se presentan como pequeñas pápulas (1-3 mm) distribuidas de forma simétrica en párpados y mejillas. Las lesiones son de consistencia firme y del color de la piel, a veces con un tono amarillento.
Se han descrito algunas variedades en su forma de presentación; pueden ser lesiones únicas o multiples, localizadas en cuello, axilas, tórax y genitales, o siguiendo un patrón lineal nevoide. Existe también una variedad eruptiva en la que múltiples pápulas van apareciendo en cuello, tórax, abdomen y raíz de miembros (axilas, ingles). Estos casos ocasionalmente son familiares o aparecen en el contexto de un síndrome de Down (1).
El siringoma de células claras es una variedad infrecuente de siringoma. Generalmente son similares a los demás siringomas en cuanto a la edad de aparición (alrededor de los 50 años), sexo de los pacientes (mujeres), aspecto clínico y localización (cara y párpados). Los distingue su histopatología y su frecuente asociación con diabetes mellitus (2).
La imagen histológica es similar a la de los demás siringomas, pero los citoplasmas de las células de sus cordones y conductos es ópticamente vacía en los cortes teñidos con hematoxilina-eosina. Estos citoplasmas son PAS positivos, diastasa sensibles, indicando que están llenos de glucógeno. Ocasionalmente se entremezclan nidos de células no claras con los de las células claras (2-4).
La frecuente asociación de los siringomas de células claras con la diabetes mellitus no está totalmente explicada. En estos casos los siringomas suelen localizarse en su lugar habitual (párpados y cara)(5, 6). Su etiopatogenia sigue siendo una hipótesis, pero probablemente la hiperglucemia constante en la diabetes produce una disminución de la actividad de la fosforilasa, enzima implicada en la glucogenolisis. Como consecuencia se produce un importante acúmulo de glucógeno intracelular y el consiguiente aspecto de las típicas células claras. La diabetes mellitus no predispone a la aparición de siringomas, sino que existe un metabolismo anormal en la piel (acúmulo de glucógeno) y probablemente una transformación de siringomas típicos en siringomas de células claras.
Para algunos autores podría tratarse de siringomas formados por las células de la pared interna de los siringomas típicos, ya que se han observado gránulos de glucógeno en el interior de estas células (7-10).
Esta significativa asociación y los cambios metabólicos comentados han llevado a considerar a los siringomas de células claras como un marcador de diabetes mellitus. Probablemente deben incluirse entre las manifestaciones cutáneas de la diabetes, al igual que algunos xantomas, la necrobiosis lipoidica, el escleredema adultorum y la colagenosis perforante reactiva.
Más aún, algunos autores se plantean por analogía si otros tumores anexiales «de células claras» también podrían considerarse como marcadores de diabetes mellitus (11). Por último, queremos hacer hincapié en el aspecto clínico atípico de las lesiones de nuestra paciente, cuyo color rojo-amarillento hacía pensar en un proceso granulomatoso, así como en su distribución peculiar en la mitad inferior de la cara y en el cuello.





