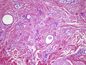
Una mujer de 40 años, sin antecedentes personales ni familiares de interés, consultó por la aparición progresiva de una erupción cutánea levemente pruriginosa en ambos antebrazos, de 2 años de evolución. No refería exacerbación de las lesiones tras la exposición solar y no había experimentado mejoría con antihistamínicos ni corticoides tópicos. En la exploración física se apreciaban en la cara ventral de ambos antebrazos múltiples pápulas de 1-2mm de diámetro ligeramente sobreelevadas. Presentaban un aspecto monomorfo y eran de coloración eritemato-marronácea (figs. 1A y 1B). No tenía lesiones en otras partes del tegumento ni en mucosas. El estudio histopatológico con hematoxilina-eosina mostró en la dermis reticular media y alta una proliferación epitelial constituida por unas estructuras ductales recubiertas por un epitelio cuboideo. En ocasiones los ductos presentaban una prolongación epitelial similar a una coma (fig. 2). No se apreciaban mitosis ni atipia citológica. Se realizó un cultivo para el virus del papiloma humano con resultado negativo. Con estos hallazgos clínicos e histológicos se diagnosticó de siringomas acrales múltiples.
Se pautó tratamiento tópico con tretinoína al 0,05%/2 veces al día y fotoprotección. A los 4 meses la paciente refería un aplanamiento de las lesiones y una disminución del prurito, presentando buena tolerancia al tratamiento.
Los siringomas son un tipo de tumor anexial benigno frecuente derivado de la porción intraepidérmica del conducto excretor ecrino (acrosiringio). La forma de presentación más común consiste en pequeñas pápulas del color de la piel o ligeramente amarillentas en los párpados inferiores de mujeres de edad media. Otras localizaciones menos frecuentes incluyen el cuello, el tórax, las axilas o la región genital1.
Friedman y Butler en 1987 propusieron una clasificación en la que se distinguían 4 variantes de los siringomas: forma localizada (solitaria o múltiple), familiar, asociada con el síndrome de Down y generalizada (con una forma múltiple y otra eruptiva)2. Los siringomas eruptivos pueden encontrarse formando parte del síndrome de Nicolau-Balus, caracterizado por siringomas eruptivos, quistes miliares y atrofodermia vermiculada3.
Desde el punto de vista histopatológico los siringomas están constituidos por una proliferación de células dispuestas en nidos, cordones o túbulos localizados en la parte superior de la dermis. Según el plano de corte pueden adquirir una morfología similar a una coma o a un renacuajo. Las estructuras tubulares muestran una diferenciación ductal con una luz revestida por una cutícula eosinófila. El estroma circundante muestra unos haces de colágeno grueso y esclerótico. Se debe considerar el diagnóstico diferencial histológico con el carcinoma anexial microquístico, el tricoepitelioma desmoplásico, el carcinoma basocelular esclerodermiforme y la adenosis esclerosante del ducto sudoríparo. Los siringomas se distinguen del carcinoma anexial microquístico por su menor tamaño y mayor simetría, localización más superficial en la dermis y la ausencia de quistes córneos prominentes. El tricoepitelioma desmoplásico, aunque puede mostrar hileras sólidas de células epiteliales basófilas y quistes córneos, no presenta estructuras ductales. El carcinoma basocelular esclerodermiforme carece de estructuras ductales conteniendo material amorfo. Finalmente, en la entidad benigna conocida como adenosis esclerosante del ducto sudoríparo es muy típica la esclerosis estrellada, ausente en los siringomas4,5.
Los siringomas acrales son aquellos cuya localización se encuentra limitada a las zonas distales de las extremidades superiores y/o inferiores. Esta forma de presentación es un hallazgo muy infrecuente, con pocos casos publicados en la literatura (tabla 1)6,7. En ellos se podrían señalar algunas características distintivas, como son su presentación en edades más avanzadas y su similar prevalencia en varones y en mujeres6,8. La mayoría de los casos publicados no tienen afectación periorbitaria concomitante. Resaltamos la asociación, en algunos casos, con neoplasias malignas: tumor carcinoide pulmonar, melanoma cutáneo y carcinomas basocelulares, carcinoma de mama y leucemia promielocítica6–8. En nuestro caso se trataba de una mujer sana, asintomática y sin ninguna neoplasia conocida.
Siringomas acrales publicados en la literatura
| Autores y año | Sexo | Edad | Localización | Asociaciones neoplásicas |
|---|---|---|---|---|
| Hughes y Apisarnthanarax1, 1977 | Varón | 31 | Dorso de dedos en ambas manos | No |
| Asai, 1982 | Mujer | 35 | Dorso de dedos y periocular | No |
| van den Broek, 1982 | Varón | 52 | Dorso de muñecas, antebrazos y periocular | Acantoma de células claras |
| Berbis, 1989 | Varón | 70 | Flexuras de antebrazos | Tumor carcinoide pulmonar |
| Metze, 1990 | Varón | 69 | Dorso de manos y antebrazos | Carcinomas basocelulares y melanoma (0,8mm de Breslow) |
| García, 1997 | Mujer | 43 | Dorso de manos y pies | Carcinoma de mama estadio IV |
| Patrizi, 1998 | Varón | 43 | Muñeca y antebrazo | No |
| Patrizi, 1998 | Mujer | 60 | Dorso de antebrazos y cicatriz de cirugía de mama | Adenoma tubular de mama |
| Iglesias-Sancho et al., 1999 | Mujer | 76 | Cara flexora de antebrazos y área intermamaria | No |
| Martín-García, 2006 | Mujer | 43 | Antebrazos y región distal de brazos | No |
| Muniesa, 2008 | Mujer | 28 | Dorso de falanges en ambas manos | No |
| Koh, 2009 | Mujer | 27 | Dorso de dedos en ambas manos | No |
| Balci, 2009 | Mujer | 41 | Antebrazos | Tricoepiteliomas en cara |
| Valdivielso-Ramos, 2009 | Mujer | 44 | Antebrazos | No |
| Varas-Meis y Prada, 2015 | Mujer | 62 | Antebrazos y periorbitario | Leucemia promielocítica |
| Gómez et al., 2016 | Mujer | 40 | Antebrazos | No |
Modificado de Valdivielso-Ramos et al.6
Es necesario incluir los siringomas en el diagnóstico diferencial de lesiones papulosas de localización acral, junto con el liquen plano, los quistes de millium, la urticaria pigmentosa, las verrugas planas o algunas fotodermatosis8,9.
No es necesario instaurar ningún tratamiento dada la naturaleza benigna del proceso, aunque con frecuencia se demanda por motivos estéticos o sintomáticos. Entre las opciones terapéuticas disponibles se encuentran la exéresis quirúrgica, la electrocoagulación, la crioterapia, la ablación con láser, los retinoides tópicos o el ácido tricloroacético entre otras.
Conflicto de interesesLos autores declaran no tener ningún conflicto de intereses.





