INTRODUCCION
El Síndrome de Melkersson-Rosenthal1 consiste en la tríada clínica de edema orofacial recurrente, parálisis facial y lengua fisurada. Fue Melkersson, en 1928, quien expuso la relación existente entre edema y parálisis facial al aparecer de forma conjunta en una de sus pacientes. Posteriormente, en 1931, Rosenthal añadió la presencia de lengua fisurada como hecho adicional quedando así establecida la tríada característica. En 1945, Miescher describió la posibilidad de la existencia de edema labial recurrente sin otras alteraciones asociadas.
Las últimas incorporaciones semánticas al tema aparecen en la década de 1980 cuando Wiesenfel introduce el concepto de granulomatosis orofacial que hoy día es un término aceptado para englobar una serie de procesos que tienen en común la aparición de inflamación granulomatosa no necrosante de la región oral y facial que incluye enfermedad de Crohn oral e intestinal, sarcoidosis, queilitis granulomatosa y síndrome de Melkersson-Rosenthal.
DESCRIPCION DE LOS CASOS
Caso 1
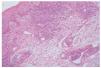
Un mujer de 45 años, con antecedentes de parálisis facial periférica desde hacía 15 años, acudió a consulta por presentar episodios de edema labial acompañado de descamación del labio superior, que dieron como resultado su engrosamiento, produciendo un aspecto inestético (fig. 1). Asimismo, la paciente presentaba lengua fisurada (fig. 2). Se realizó una biopsia cutánea en la que se observaba una epidermis respetada junto a un infiltrado inflamatorio de predominio perivascular constituido por linfocitos, histiocitos y células plasmáticas (fig. 3); en la dermis se encontraron granulomas no caseificantes (fig. 4). La paciente fue inicialmente tratada con clofazimina durante 3 meses obteniéndose una escasa respuesta terapéutica, por lo que se cambió el tratamiento a corticoides intralesionales. Tras la aplicación de 3 dosis, se obtuvo un excelente resultado y actualmente la paciente se halla en una pausa terapéutica.
Fig. 1.--Caso 1: edema labial acompañado de descamación del labio superior y parálisis facial.
Fig. 2.--Caso 1: lengua fisurada.
Fig. 3.--Histología del caso 1: infiltrado inflamatorio mixto constituido por linfocitos, histiocitos y células plasmáticas.
Fig. 4.--Histología del caso 1: granuloma desnudo presente en dermis.
Caso 2
Un varón de 23 años, sin antecedentes personales ni familiares de interés, presentaba desde hacía 6 meses episodios repetidos de edema labial que aparecían de forma recurrente y que evolucionaron hacia el engrosamiento del labio superior hasta 2 veces su volumen normal (fig. 5). No presentaba antecedentes de parálisis facial ni lengua fisurada. Se realizó una biopsia cuyos hallazgos fueron comparables a los del caso anterior, a excepción de la ausencia de granulomas en la dermis, por lo fue diagnosticado de queilitis granulomatosa de Miescher y se inició tratamiento con doxiciclina 100 mg/12 h durante 3 meses para valorar en un segundo tiempo la administración de infiltraciones de corticoides. Sin embargo, tras 4 semanas de tratamiento el paciente acudió con pigmentación del primer incisivo superior derecho, por lo que se retiró el tratamiento y se aplicaron las infiltraciones. El paciente ha sido sometido a 3 infiltraciones con un excelente resultado.
Fig. 5.--Caso 2: edema del labio superior que desborda el límite del inferior.
DISCUSION
El síndrome de Melkersson-Rosenthal presenta una baja incidencia y es más frecuente en mujeres, mayoritariamente de raza blanca. Existe un amplio rango de edad en el comienzo de los síntomas (2-81 años) aunque la mayoría de los autores informan que la enfermedad empieza frecuentemente durante la segunda década de la vida1. También se han descrito casos en niños2.
La etiología de este síndrome es todavía desconocida en la actualidad. Se han postulado factores genéticos3 y condicionamientos alérgicos4-6.
También se han intentado implicar agentes infecciosos como herpesvirus, micobacterias, toxoplasma y espiroquetas (especialmente Borrelia burgdorferi) pero tampoco se ha llegado a una conclusión certera7.
Por último, existe un solapamiento entre el síndrome de Melkersson-Rosenthal, la enfermedad de Crohn y la sarcoidosis, englobándose todas ellas en el concepto de Wiesenfield de granulomatosis orofacial8,9.
La presentación clínica completa del síndrome de Melkersson-Rosenthal no es frecuente y varía entre el 8 y el 25 %1,10,11. Las formas oligosintomáticas (edema y parálisis facial o edema y lengua fisurada) representan el 47 % de las formas mientras que el 28 % corresponden únicamente a edema orofacial10. El edema orofacial es el síntoma más importante y consistente del síndrome1; es la forma de presentación en el 80 % de los casos. Puede afectar a la cara, encías, mucosa oral y lengua12. Se trata de un edema súbito, que aparece sin pródromos, en el que los labios pueden engrosarse hasta 2 o 3 veces el tamaño normal13. El engrosamiento dura característicamente de pocas horas a días; simulando un angioedema, ocurre a intervalos y se resuelve de forma inicial completamente8, pero con los episodios repetidos la resolución queda incompleta y se hace firme e indurado. Existen otras manifestaciones orofaciales asociadas como descamación labial hasta en el 14 % de los casos, erosiones mucosas dolorosas, fisuración de comisuras y enrojecimiento, grietas o sensación de quemazón en el 21 % de los casos. Las encías se encuentran afectadas en el 26 %, con engrosamiento, eritema, dolor y erosiones gingivales. Por último, el paladar se afecta en el 8-10 % de los casos, mostrando engrosamiento y fisuración13.
La parálisis facial es indistinguible de la parálisis de Bell o parálisis idiopática8. Es generalmente unilateral y asienta en el lado donde el engrosamiento facial es más evidente, desaparece espontáneamente y tiende a recurrir sólo en el 10 % de los casos. En ocasiones se ha observado parálisis bilateral. Suele acompañarse de pequeños síntomas previos como migraña, acufeno, hiperacusia, neuralgia preauricular o sensación de afectación del gusto de los dos tercios anteriores de la lengua13. Puede aparecer a cualquier edad y por lo general es posterior a la aparición del edema facial, aunque en ocasiones es simultáneo e incluso precede al mismo. Existe, además, una amplia lista de signos neurológicos menores de síndrome de Melkersson-Rosenthal como sequedad de boca, disestesia facial, cefalea frontooccipital, blefaroespasmo y disfagia periódica que pueden aparecer hasta en el 80 % de los casos. Por último, debe tenerse en cuenta que no sólo se ve afectado el nervio facial, sino que pueden implicarse otros pares craneales. Así, una lesión trigeminal se ve traducida en parestesias bucales y linguales, neuralgia facial, espasmos o debilidad en el músculo masetero.
La lengua fisurada se manifiesta como un aumento de la profundidad de los surcos linguales, sin llegar a erosionar la mucosa. Es una anomalía de base genética y herencia autosómica dominante de penetrancia incompleta que ocurre hasta en el 10-15 % de la población caucásica pero que en pacientes con síndrome de Melkersson-Rosenthal es 5 veces más frecuente. Esta alteración morfológica se acompaña de parestesias o disminución de la sensación gustativa8. En la tabla 1 se exponen las patologías que pueden originar diagnóstico diferencial con el síndrome de Melkersson-Rosenthal.
Histológicamente, en un estadio precoz de la enfermedad se observa la aparición de agregados de histiocitos, linfocitos y células plasmáticas de predominio perivascular junto a un edema inespecífico. En estadios avanzados se observan granulomas no caseificantes en dermis, que no siempre están presentes, por lo que su ausencia no excluye la enfermedad y, además, estos granulomas pueden formarse y desvanecerse en días o semanas e, incluso, en ocasiones no coinciden estrictamente con el curso clínico del engrosamiento8,12,13.
Se han realizado muchas aproximaciones terapéuticas en el síndrome de Melkersson-Rosenthal. Los pacientes con episodios intermedios de queilitis granulomatosa se benefician del tratamiento con triamcinolona en orobase o clobetasol tópico. Se han empleado infiltraciones intralesionales repetidas cada 2 semanas de 1 ml de acetónido de triamcinolona (10 mg/ml) en ambos lados del labio afectado en los pacientes con manifestaciones pronunciadas. En ocasiones se recurre a la queiloplastia (resección de un tercio de mucosa y dos tercios de submucosa por detrás del bermellón y arteria labial), en casos graves desfigurantes una vez que la enfermedad ha alcanzado una fase de meseta, de forma aislada o acompañada de nuevo de tratamiento intralesional corticoide posquirúrgico. Esta pauta puede suponer un 90 % de recurrencias de 3-20 meses tras el tratamiento. Camacho et al14 asocian queiloplastia y tratamiento intralesional corticoideo posquirúrgico con una pauta de tetraciclinas tras la intervención (500 mg/12 h durante 2 meses, luego 500 mg/24 h durante 3 meses y finalmente 250 mg/24 h durante 6 meses). De esta manera, tras 9 meses de seguimiento no se obtuvo ninguna recurrencia.
Se pueden utilizar pautas de tratamiento corticoide por vía oral (prednisona, 1-1,5 mg/kg/día durante 3-6 semanas), en ocasiones asociado a tetraciclinas14. Se han documentado resultados favorables con el uso de clofazimina a dosis iniciales de 100 mg/día durante 10 días y posteriormente un mantenimiento de 200-400 mg/semana durante 4-6 meses15. Finalmente, otros abordajes terapéuticos de resultados no muy favorables han sido con hidroxicloroquina, metronidazol, eritromicina, dapsona o minociclina13.








