INTRODUCCION
Las crioglobulinas son inmunoglobulinas presentes en el suero con la propiedad de precipitar de forma reversible por debajo de los 37 °C. Desde un punto de vista serológico las crioglobulinas se clasifican en tres tipos. La crioglobulinemia mixta (tipos II y III) se asocia hasta en el 90 % de los casos a infección por el virus de la hepatitis C. Previamente al descubrimiento de dicho agente la mayoría eran consideradas esenciales, lo cual dio origen al concepto de crioglobulinemia mixta esencial.
DESCRIPCION DE LOS CASOS
Presentamos 4 casos, mujeres, con una edad al diagnóstico de la enfermedad comprendida entre los 33 y los 89 años. Todos presentaban afectación de miembros inferiores aisladamente o en conjunción con otras localizaciones. La clínica cutánea fue variada: púrpura palpable, úlceras, placas equimóticas, ampollas hemorrágicas, lesiones eritematosas de aspecto livedoide o placas urticariformes (figs 1-4). Las lesiones eran sintomáticas y además una de las pacientes (paciente n.º 2) refería fatiga y artromialgias. En la tabla 1 aparecen reflejados edad, sexo, antecedentes personales y hallazgos clínicos de cada paciente. Las pruebas complementarias solicitadas incluyeron hemograma, bioquímica general con estudios de la función renal y hepática, estudio de coagulación, analítica de orina incluyendo sedimento, velocidad de sedimentación globular, complemento (actividad total, C3 y C4), factor reumatoide, anticuerpos antinucleares (ANA), anticuerpos anti-ADN de doble cadena, antígeno nuclear extraíble y anticuerpos anticitoplasma de neutrófilo, determinación de inmunoglobulinas séricas y electroforesis de las proteínas del suero. Además se solicitaron serologías luética, de virus de hepatitis B (VHB), C (VHC) e inmunodeficiencia humana (VIH). Se realizó determinación de criofibrinógeno y crioglobulinas con análisis del crioprecipitado. En todos los casos se realizó estudio histopatológico (fig. 5) e inmunofluorescencia directa.
Fig. 1.--Caso 1. Placas equimóticas en ambas mejillas con escara necrótica.
Fig. 2.--Caso 2. Lesiones eritematosas de configuración reticulada en la cara plantar de los dedos.
Fig. 3.--Caso 3. Úlceras en el dorso de los pies.
Fig. 4.--Caso 4. Lesiones de aspecto habonoso en las piernas.
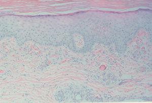
Fig. 5.--Trombo hialino en el vaso dérmico. (Hematoxilina-eosina, x250.)
De nuestros 4 casos, todos ellos esenciales, dos presentaron una crioglobulinemia tipo II (pacientes n.º 1 y 2) y los dos restantes una crioglobulinemia tipo III (pacientes n.º 3 y 4). Todos los pacientes fueron tratados con reposo relativo, medidas de protección frente al frío y tratamiento sintomático con antiinflamatorios no esteroideos. En los casos con lesiones necróticas en piernas (pacientes n.º 1 y 3) se realizó inicialmente desbridamiento enzimático y una vez eliminados los restos necróticos, aplicación de mupirocina tópica y colocación de apósitos hidrocoloides hasta la total reepitelización. En las pacientes n.º 2 y 4, con brotes recurrentes a lo largo de años, se utilizaron corticoides por vía oral durante los mismos (prednisona a dosis aproximada de 0,5 mg/kg/día, retirándose mediante pauta descendente a medida que desaparecían las lesiones). En la paciente n.º 2, ante el elevado número de recurrencias, se mantuvieron dosis bajas de prednisona (15 mg/día) durante meses sin que evitase la aparición de nuevos brotes. Ante la ausencia, en todos los casos, de una enfermedad moderada y sin afectación sistémica así como datos de infección por el VHC, no se planteó la utilización de una terapia agresiva (inmunosupresores o plasmaféresis) o tratamiento con interferón. Los hallazgos de laboratorio e histopatológicos y evolución aparecen recogidos en la tabla 2.
DISCUSION
Las crioglobulinas son inmunoglobulinas séricas que precipitan de forma reversible cuando el suero es incubado a temperaturas inferiores a 37 °C 1. Se denomina crioglobulinemia a la presencia de crioglobulinas en el suero y síndrome crioglobulinémico cuando este hecho se asocia a sintomatología 2. En 1974, Brouet et al clasificaron la entidad en tres tipos basándose en criterios serológicos 3. La crioglobulinemia tipo I supone entre el 10 y el 40 % de los casos 2-5, está constituida por un único componente monoclonal (IgM, G, A y proteína de Bence-Jones en orden decreciente de frecuencia), el nivel sérico de crioglobulinas es típicamente alto y precipita fácilmente a temperaturas bajas. Se asocia principalmente a trastornos linfoproliferativos (mieloma múltiple o macroglobulinemia de Waldenström) y es con frecuencia asintomática. La crioglobulinemia tipo II representa entre el 15 y 60 %, posee un componente monoclonal (habitualmente IgMk con actividad factor reumatoide) y otro policlonal (frecuentemente IgG), el nivel sérico de crioglobulinas es habitualmente alto, pero el título del componente monoclonal puede ser demasiado bajo para ser detectado con inmunoelectroforesis de las proteínas séricas. La crioglobulinemia tipo III supone entre el 2 y el 50 %, posee dos componentes policlonales (habitualmente IgM e IgG) y el nivel de crioglobulinas en suero es bajo por norma, por lo que precipitan a temperaturas bajas tras periodos prolongados de tiempo.
Desde el punto de vista etiológico, la mayoría están en relación con procesos infecciosos, enfermedades sistémicas autoinmunes y trastornos hematológicos; un mínimo porcentaje son idiopáticas o esenciales. El lupus eritematoso sistémico, el síndrome de Sjögren y la artritis reumatoide son los principales trastornos autoinmunes asociados, en todos ellos la presencia de crioglobulinas es marcador de una mayor severidad y/o actividad de la enfermedad 6. Dentro de los procesos hematológicos destacan los linfoproliferativos, en especial el linfoma no Hodgkin. La infección por el VHC es responsable de entre el 70 al 90 % de los casos. El 50 % de los individuos con infección crónica por dicho agente tiene crioglobulinas y hasta el 25 % tiene síntomas 7.
En la crioglobulinemia tipo I la sintomatología está en relación con el síndrome de hiperviscosidad y la oclusión vascular propio de cualquier paraproteinemia, dominando los síntomas de la enfermedad de base. La crioglobulinemia mixta (tipos II y III) se considera una vasculitis sistémica que afecta a vasos predominantemente de pequeño calibre. Los órganos más frecuentemente afectados, tanto inicialmente como de forma acumulativa, son la piel (prácticamente el 100 % de los pacientes), las articulaciones (más del 70 %), el riñón (hasta el 58 %) y el sistema nervioso periférico (7-31 %), pero se ha descrito afectación de sistema nervioso central, pulmón, aparato gastrointestinal o miocardio entre otros. La afectación renal es la complicación más grave y ocurre habitualmente dentro de los primeros 5 años del diagnóstico 3. En nuestra serie sólo un caso (paciente n.º 2) desarrolló sintomatología sistémica, presentando los tres restantes exclusivamente afectación cutánea. El desarrollo de síntomas se ha asociado a títulos altos de crioglobulinas (título > 5 %), la existencia de enfermedades autoinmunes sistémicas y ciertos parámetros analíticos (hipocomplementemia, factor reumatoide y ANA) 2,3.
A nivel cutáneo, como pudimos constatar en nuestros pacientes, la manifestación más frecuente es la púrpura palpable en extremidades inferiores, pero se han descrito petequias, livedo reticularis, urticaria, vasculitis, úlceras, ampollas hemorrágicas, infarto, fenómeno de Raynaud y coloración violácea del lecho ungueal o de los pulpejos. Parece ser que los pacientes con púrpura frente a los que no la presentan tienen mayor prevalencia de afectación renal, polineuropatía y artralgias y por tanto puede ser considerada como un marcador pronóstico de afectación sistémica, sobre todo en los casos recurrentes y asociados a hipocomplementemia 8. Se ha dicho que la crioglobulinemia asociada a VHC tiene menor prevalencia de afectación cutánea 2, sin embargo otros trabajos no han encontrado diferencias 8,9 y otros han hallado una mayor prevalencia 10. Aunque las lesiones de infarto, úlceras, ampollas y costras hemorrágicas, así como la localización en cabeza, cuello y mucosas nasal y oral es más frecuente en la crioglobulinemia tipo I 11, en nuestra serie una paciente presentó lesiones en cara asociadas a crioglobulinemia tipo II (paciente n.º 1) y otra úlceras en el contexto de una crioglobulinemia tipo III (paciente n.º 3). Las lesiones evolucionan de forma típica en brotes con tendencia a la cronicidad y de forma impredecible 3,12, en ocasiones desencadenados por el frío, bipedestación o actividad física. Es frecuente que los pacientes refieran prurito, sensibilidad o quemazón, el dolor es más infrecuente salvo en el caso de las úlceras. Dos de nuestros casos (pacientes n.º 2 y 4) presentaron brotes de lesiones de duración variable (aproximadamente entre 4 y 6 semanas hasta la resolución) que recurrieron durante periodos largos de tiempo (4 y 3 años, respectivamente), desencadenándose éstos por el frío en una de ellas (paciente n.º 4). En general pudimos observar que las lesiones cutáneas eran sintomáticas, siendo el prurito el hallazgo más frecuente salvo en el caso de las lesiones ulcerosas que eran dolorosas.
En cuanto a los hallazgos histopatológicos la manifestación más frecuente es la vasculitis leucocitoclástica. También ha sido descrito un patrón de panarteritis necrosante de vasos del tejido celular subcutáneo similar a la panarteritis nudosa 13. La presencia de un material amorfo eosinófilo intravascular sin datos de vasculitis es más frecuente en la crioglobulinemia tipo I 11, sin embargo este hallazgo no es específico de este tipo como demuestra el caso de nuestras pacientes n.º 1 y 2 que presentaban este dato histológico asociado a una crioglobulinemia tipo II.
Entre los datos de laboratorio destacan la hipocomplementemia (presente en el 90 % de los pacientes), los anticuerpos anti-VHC (90 %) y la presencia de factor reumatoide (80 %). En ocasiones la asociación con el VHC es difícil de establecer; en casos con serología repetidamente negativa se ha detectado el ARN viral por técnicas de retrotranscripción mediante reacción en cadena de la polimerasa (RT-PCR) poniendo de manifiesto la presencia de falsos negativos 14,15. En la actualidad se considera la técnica más sensible y fidedigna y además permite cuantificar la carga viral 15,16. Los casos asociados a VHC tienen mayor prevalencia de hipocomplementemia y factor reumatoide positivo 2,8. En la vasculitis crioglobulinémica asociada a VHC las pruebas más sensibles y con mejor relación coste-efectividad son los tests serológicos y la determinación del factor reumatoide 13. En nuestras pacientes no se demostró la infección por el VHC, sin embargo es posible la existencia de algún falso negativo para serología de VHC en función de varios hechos. La detección de ARN viral por RT-PCR no fue realizada en ningún caso y, en concreto, aunque la paciente n.º 2 tenía una serología repetidamente negativa para VHC y pruebas de función hepática normales, presentaba hipocomplementemia y factor reumatoide elevado, lo cual es más frecuente en la crioglobulinemia asociada a VHC y además se detectó el 10 % de células plasmáticas en el aspirado de médula ósea, hecho que podría estar relacionado con la infección crónica por dicho agente 1. En cuanto a las crioglobulinas la existencia de casos falsamente negativos 5,13 ha llevado a la recomendación de no descartar dicha etiología hasta obtener varias determinaciones negativas ante una vasculitis cutánea con una evolución crónica 1. En ocasiones las determinaciones iniciales son negativas volviéndose positivas con el tiempo 5,15, hecho que pudimos constatar en uno de nuestros casos (paciente n.º 2). El descenso en el criocrito se ha correlacionado con la mejoría clínica 16.
Con respecto al tratamiento, éste será el de la causa subyacente cuando es posible identificarla. En los casos esenciales o asociados a infección por el VHC no activa, con artralgias, púrpura leve y fatiga puede ser suficiente con la protección del frío, reposo y antiinflamatorios no esteroideos 3. En los casos con lesiones cutáneas crónicas sin afectación interna severa puede intentarse tratamiento con colchicina, dapsona o una combinación de ambas 17. En la crioglobulinemia en relación con hepatitis crónica activa por el VHC se emplea el interferón a frecuentemente asociado a ribavirina. El 50 % de los pacientes responden, pero de éstos el 80 % recaen en los siguientes 6 meses a la suspensión del tratamiento 4. La desaparición de las crioglobulinas está asociada con la resolución de los síntomas cutáneos y articulares, pero no neurológicos o renales 2. En los casos en los que existe riesgo vital están indicados tratamientos agresivos con combinaciones de inmunosupresores, citotóxicos y plasmaféresis 1,4. Las úlceras y la afectación sistémica aguda grave, como la nefropatía crioglobulinémica, suelen responder adecuadamente al tratamiento con plasmaféresis con o sin inmunosupresores 12,15. Los marcadores para evaluar la eficacia del tratamiento son la clínica, el criocrito y los niveles de factor reumatoide y complemento 3. El abordaje terapéutico de nuestros pacientes, se basó en el reposo, medidas de protección frente al frío y antiinflamatorios no esteroideos vía oral; en el caso de lesiones necróticas en piernas se realizó desbridamiento enzimático y posteriormente curas mediante apósitos hidrocoloides hasta la total reepitelización. En dos de los casos (paciente n.º 2 y 4) con brotes recurrentes de lesiones se empleó la prednisona a una dosis aproximada de 0,5 mg/kg/día, con disminución progresiva de la dosis hasta la supresión, durante los mismos. En la paciente n.º 2, dado el elevado número de brotes, se mantuvo a dosis bajas varios meses tras la desaparición de las lesiones sin que ello impidiese la recurrencia del cuadro.
Su pronóstico es malo cuando existe sintomatología sistémica. La afectación renal 3,5 y la presencia de úlceras 9,15, en comparación con otras lesiones, se asocian a una mala evolución. Pueden ocurrir una cirrosis o un trastorno linfoproliferativo en el curso de la enfermedad. La supervivencia de la crioglobulinemia mixta esencial a los 10 años del diagnóstico es del 48 %. Las principales causas de muerte son la patología cardiovascular y las infecciones 3.
Declaración de conflicto de intereses
Declaramos no tener ningún conflicto de intereses.
Correspondencia:
Óscar Suárez-Amor. Departamento de Dermatología.
Facultad de Medicina.
San Francisco, s/n. 15782 Santiago de Compostela. España.
mejaime@usc.es
Recibido el 4 de julio de 2005.
Aceptado el 21 de octubre de 2005.









