Durante el seguimiento de pacientes con melanoma podemos detectar lesiones subcutáneas cuyo principal diagnóstico diferencial son las metástasis en tránsito o las adenopatías metastásicas. Se describen 2 mujeres con melanoma portadoras de prótesis mamarias que presentaron durante su seguimiento lesiones subcutáneas palpables en la región axilar. El estudio ecográfico puso de manifiesto en ambos casos la existencia de imágenes hiperecogénicas difusas en «tormenta de nieve» localizadas en el tejido subcutáneo. En estos casos la ecografía se posiciona como herramienta diagnóstica fundamental para el despistaje de procesos relacionados con el melanoma, como las metástasis en tránsito o las adenopatías metastásicas.
Subcutaneous lesions may be detected during follow-up of patients with melanoma. The main entities that should be contemplated in the differential diagnosis in such cases are in-transit and regional lymph node metastases. We describe 2 cases of women with breast implants who developed palpable subcutaneous lesions in the axillary region during follow-up of melanoma. In both cases, the ultrasound study showed diffuse hyperechoic signals forming the characteristic snowstorm sign in the subcutaneous tissue. Ultrasound proved to be a key diagnostic tool for ruling out melanoma-related disease, such as in-transit metastases and regional lymph node metastases.
Durante el seguimiento de pacientes con melanoma podemos detectar nódulos o masas subcutáneas. En estos casos la primera sospecha diagnóstica suelen ser las metástasis en tránsito o las adenopatías metastásicas. Aunque se han descrito una serie de factores de riesgo clínicos e histológicos que apoyan esta probabilidad diagnóstica1,2, muchos de estos casos requieren de otras pruebas para establecer el diagnóstico, que aumentan la demora y por consiguiente la ansiedad del paciente. En estos casos la ecografía puede desempeñar un papel relevante para ayudar a establecer el diagnóstico.
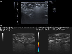
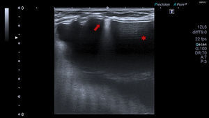
Caso clínico 1Mujer de 49 años con historia de melanoma dorsal izquierdo en estadio IA de la AJCC en el año 2006. En enero de 2014 la paciente refería palparse un bulto en la axila izquierda. A la exploración se trataba de una lesión nodular subcutánea de aproximadamente 2cm, de tacto firme, no adherida a planos subyacentes. Con la sospecha de adenopatía metastásica se remitió al servicio de radiodiagnóstico para realizar una ecografía. En la ecografía (Toshiba Aplio 500, sonda lineal multifrecuencia 7-11MHz) se visualizó una imagen hiperecogénica difusa con mala transmisión sonora, de 2cm de diámetro mayor, localizada en el tejido subcutáneo (fig. 1A). Esta imagen ecográfica se ha descrito como en «tormenta de nieve», y es altamente sugestiva de siliconoma por rotura de prótesis mamaria. Tal es así que en el mismo acto se realizó una ecografía mamaria, apreciándose gel extravasado al espacio comprendido entre el pliegue de la cubierta externa de la prótesis y la cápsula externa fibrótica, hallazgo que confirmó la rotura capsular de la prótesis mamaria izquierda (fig. 2). En la anamnesis la paciente confirmó haberse implantado unas prótesis Poly Implant Protheses (PIP) en el año 2008.
A. Imagen hiperecogénica localizada en tejido celular subcutáneo, de morfología arriñonada, ecoestructura homogénea de límite superior y laterales nítidos y pérdida de borde profundo por artefacto en tormenta de nieve. B. Dos imágenes hiperecogénicas adyacentes pseudoencapsuladas en «tormenta de nieve» en tejido subcutáneo. Ausencia de vascularización con doppler color.
Mujer de 46 años con historia de melanoma dorsal izquierdo estadio IB de la AJCC en el año 2013. Durante el seguimiento se palpó una masa subcutánea de consistencia elástica, de aproximadamente 4cm en la región axilar izquierda. Con la sospecha de lipoma se realizó una ecografía (Esaote Mylab 25, sonda lineal de 10MHz), apreciándose una imagen hiperecogénica difusa en «tormenta de nieve» localizada en el tejido subcutáneo, de 5cm de diámetro mayor (fig. 1B). La paciente confirmó haberse implantado unas prótesis PIP en el año 2002. En este caso se realizó una resonancia magnética nuclear (RMN) mamaria, apreciándose rotura capsular de prótesis izquierda con siliconomas axilares y periprótesis (fig. 3).
En ambos casos de realizó explantación y recambio protésico, así como extirpación de los siliconomas en centros privados, ya que el Sistema Nacional de Salud solo incluía explantación protésica sin recambio.
DiscusiónLos nódulos y masas subcutáneas que se palpan durante el seguimiento de los pacientes con melanoma son uno de los principales desafíos diagnósticos por su implicación pronóstica. En la mayoría de los casos se requiere un examen histopatológico de las lesiones para establecer el diagnóstico. En este sentido, la ecografía supone una herramienta diagnóstica no invasiva que puede aportar información a tiempo real para la toma de decisiones. En el caso del melanoma, el principal diagnóstico de sospecha de las lesiones subcutáneas son las metástasis en tránsito y las adenopatías metastásicas. Desde el punto de vista ecográfico las primeras se presentan como imágenes hipoecogénicas en el tejido subcutáneo de forma redondeada, oval o lobulada con contornos bien definidos y con un grado variable de vascularización con el doppler color3. Aunque no existen unos criterios radiológicos consensuados en el caso de las adenopatías metastásicas en el melanoma, la mayoría de los trabajos se rigen por los criterios Berlín; la perfusión periférica como signo precoz de metástasis, la pérdida de ecos centrales concomitante a la perfusión periférica o posterior a la misma y que traduce la ocupación de los implantes tumorales desde el centro a la periferia y la forma de «balón», que indica una afectación masiva del ganglio linfático con pérdida total de ecos centrales y, por tanto, un signo de afectación metastásica tardía4.
En nuestras pacientes la ecografía mostró imágenes hiperecogénicas difusas en «tormenta de nieve» localizadas en el tejido subcutáneo. Estos hallazgos ecográficos son característicos de siliconomas. Los siliconomas corresponden a ganglios linfáticos con un infiltrado granulomatoso a cuerpo extraño debido a la migración de silicona por rotura de un implante mamario5,6. Aunque las complicaciones de los implantes mamarios son raras, en el año 2011 la Agencia Francesa de Seguridad Sanitaria prohibía la comercialización y el uso de un determinado tipo de prótesis denominada PIP7, ya que estaban compuestas de silicona industrial, no apta para el uso humano y presentaban además una biocompatibilidad y biodurabilidad inferior a las prótesis convencionales8. Tal es así que la tasa de rotura de una prótesis convencional a los 10 años es del 10%, y se eleva al 24% en el caso de las prótesis PIP9. En el año 2012 el Ministerio de Sanidad estimó que había unas 18.500 mujeres portadoras de prótesis PIP (37.000 prótesis). Generalmente la edad de implantación en el 40% de los casos es entre los 30-44 años, edades que se superponen a la edad de mayor incidencia de melanoma en mujeres en España. En este sentido, el problema más importante derivado de los siliconomas es el diagnóstico diferencial con cáncer de mama y metástasis axilares.
La Food and Drug Administration recomienda realizar un screening de rotura protésica en toda mujer a los 3 años del implante, y luego cada 2 con RMN para detectar roturas silentes10. Chung et al.11 compararon la RMN con la ecografía para el screening. La sensibilidad y especificidad de la ecografía para detectar rotura sintomática fue del 82% y 81%, y en casos asintomáticos del 64% y 77%. En el caso de la RMN 85% y 90% en sintomáticos y 78% y 71% en asintomáticos. En caso de aplicarse, una estrategia óptima desde el punto de vista clínico y económico sería comenzar realizando una ecografía en mujeres sintomáticas, ya que va a resultar diagnóstica en la mayoría de los casos, pero también en las asintomáticas, dejando la RMN para los casos dudosos.
No es un objetivo del dermatólogo diagnosticar la rotura protésica con ecografía, ya que es una técnica operador dependiente y se requiere experiencia, pero sí lo es identificar los hallazgos ecográficos de los siliconomas. En estos casos la presencia de nódulos hiperecogénicos difusos en «tormenta de nieve» es altamente sugestiva de esta entidad y completamente diferente a la que presenta la metástasis subcutánea o la adenopatía metastásica.
Respecto al tratamiento en el caso de rotura de prótesis PIP existe un consenso a favor del explante y recambio, como se desprende de la Web del Ministerio Español de Sanidad, Servicios Sociales e Igualdad. Si bien no hacen alusión directa del proceder ante los siliconomas, indican que ante signos de fallo de una prótesis PIP esta debe ser explantada y recambiada y las complicaciones derivadas tratadas12.
Es previsible que en el futuro se observe un aumento de esta dolencia, dada la cantidad de prótesis que se implantan en la actualidad y de las implantadas en los últimos años. Por ello, debemos elevar nuestro índice de sospecha ante lesiones subcutáneas en pacientes con melanoma portadoras de prótesis mamarias. En estos casos la ecografía cutánea se posiciona como herramienta diagnóstica no invasiva a tiempo real que puede ayudar en el despistaje de otras lesiones, como las metástasis cutáneas o las adenopatías metastásicas.
Responsabilidades éticasProtección de personas y animalesLos autores declaran que para esta investigación no se han realizado experimentos en seres humanos ni en animales.
Confidencialidad de los datosLos autores declaran que han seguido los protocolos de su centro de trabajo sobre la publicación de datos de pacientes.
Derecho a la privacidad y consentimiento informadoLos autores declaran que en este artículo no aparecen datos de pacientes.
Conflicto de interesesLos autores declaran no tener ningún conflicto de intereses.





