La queratosis seborreica (QS) se describe a veces en la literatura como verruga seborreica, debido a su similitud clínica con las verrugas. Sin embargo, se enfatiza que el examen microscópico permite distinguir entre una verruga y una QS.
Existen varios tipos morfológicos de QS reconocidos en la literatura, siendo los tipos acantomatoso y reticulado los más comunes. Además de ellos, nos gustaría reivindicar un patrón que se encuentra con frecuencia en la práctica diaria de la dermatopatología, pero que no está recogido en las descripciones de QS en los textos clásicos: la coexistencia en una misma lesión de rasgos superpuestos de QS y de verruga vulgar. Proponemos llamar a tal patrón «seborruca».
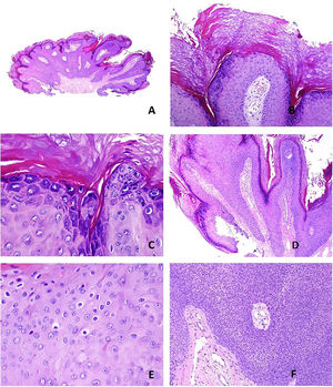
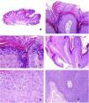
Las seborrucas muestran características de verruga vulgar: una silueta papilomatosa (fig. 1A), hiperqueratosis, columnas de paraqueratosis en las puntas de las papilas (fig. 1B) con agranulosis debajo de la columna paraqueratósica, pero una capa granular prominente en algunas otras áreas (fig. 1C). En la dermis papilar de las papilas se evidencian vasos capilares tortuosos y muchas veces dilatados (fig. 1D). A veces incluso se observan cambios coilocíticos focales (fig. 1E). Superpuestos a estas características que son todas típicas de la verruga se evidencian muchas características de la QS. El crecimiento excesivo de células redondas monomorfas, por ejemplo, es prominente (fig. 1F). Además, los pseudoquistes córneos o los túneles infundibulares también pueden ser a veces una característica acompañante, así como los remolinos típicos de la QS (fig. 2B).
Características histopatológicas observadas en la seborruca: A) silueta papilomatosa (H&E x20). B) Columnas paraqueratóticas en las puntas de las papilas con agranulosis (H&E x100). C) Gránulos gruesos de queratohialina (H&E x200). D) Vasos capilares tortuosos en las papilas (H&E x100). E) Coilocitos (H&E x400). F) Sobrecrecimiento de células monomorfas basaloides (H&E x100).
Es controvertido si este tipo de QS está relacionado con la infección por el virus del papiloma humano (VPH). Los estudios de VPH en QS han incluido todos los tipos de QS sin selección morfológica del tipo seborruca. Por lo tanto, la mayoría de los casos incluidos probablemente se encuentran en la categoría de QS acantótica. Por ejemplo, Lee et al. estudiaron 40 QS de piel no genital por reacción en cadena de la polimerasa (PCR) y no encontraron VPH de los tipos testados1. No obstante, su figura 1A seleccionada por ellos como representativa de su serie muestra claramente un tipo acantomatoso de QS1.
Por el contrario, otros estudios han logrado encontrar VPH en QS: partículas similares a VPH en estudios ultraestructurales de QS no genitales2; ADN de VPH detectado en 20% de QS no genitales por hibridación in situ3; y 15 a 30% de casos de QS positivos para VPH por PCR4.
En los casos evidenciados en el área genital, la asociación con la infección por VPH parece aún más fuerte y se ha demostrado el virus hasta en 72% de los casos genitales con PCR o inmunohistoquímica4. Tanto es así que algunos autores afirman que las QS genitales que contienen VPH, son en realidad condilomas acuminados1,5.
En este sentido, Zhu et al. presentaron un estudio muy interesante de amplificación de ADN por PCR en lesiones que denominaron «acantomas verrugosos benignos», y que describieron con rasgos característicos de la verruga vulgar pero carentes de coilocitos en el estrato granuloso6. No pudieron encontrar secuencias de ADN de VPH en muestras amplificadas de estos acantomas verrugosos benignos6 pero hallaron VPH en lesiones verrugosas con coilocitos. Como consecuencia, consideraron los coilocitos como el signo histopatológico crítico que distingue la verruga vulgar del acantoma verrugoso benigno6. Admitir esto, sin embargo, otorgaría a los coilocitos una especificidad y sensibilidad tan alta como la VPH-PCR. Esto contrasta con lo descrito en la literatura. Por ejemplo, en un estudio muy completo que correlacionó las características histopatológicas con los tipos de VPH, Jablonska et al. demostraron coilocitos solo en verrugas inducidas por ciertos tipos virales (como VPH-4 o VPH-10) pero no en otros7. Como sabemos, el VPH-4 y el VPH-10 están relacionados con las verrugas planas, mientras que las verrugas comunes suelen ser causadas por el VPH-28 y los condilomas por el VPH6 y el VPH-119 (los tipos 6 y 11 también se pueden encontrar en la verruga vulgar de los adultos9). Otros tipos de VPH que a veces se encuentran en la verruga vulgar son los VPH-16, 42, 43 o 449.
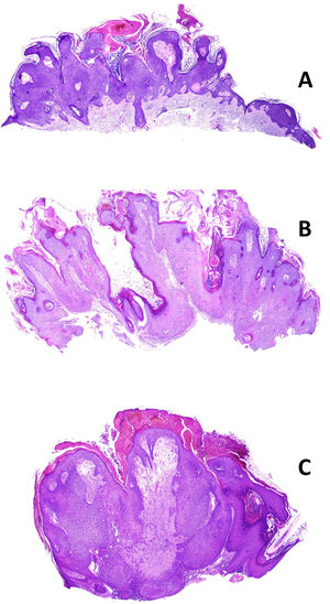
La figura 2 muestran ejemplos adicionales de seborrucas a bajo aumento. ¿Cuál es entonces el significado de una seborruca? ¿Es un cambio verrucoso viral (relacionado con el VPH) superpuesto a una QS, es decir, una QS con características de verruga vulgar? ¿Es un cambio seborreico que ocurre en una verruga vulgar, es decir, una verruga vulgar con características de QS? ¿Es una colisión de QS y verruga vulgar? ¿O es solo un mero cambio morfológico imitando una verruga, pero sin infección por VPH? Preferimos la primera opción por dos razones: primero, los cambios de la verruga vulgar a veces se ven en colisión con las áreas de QS (fig. 3A); segundo, cuando se investiga el VPH en casos de colisión, solo se ve en las áreas verrugosas, pero no en las de QS10.
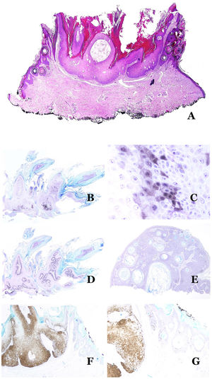
A) Cambios de verruga vulgar en colisión con áreas periféricas de QS (H&E x20). B, C y D) Características típicas de una seborruca en el estudio inmunohistoquímico. La seborruca muestra parches de tinción positiva con p16 (B: p16, x20). Los parches son de más de 10 células juntas positivas para p16, con una tinción tanto citoplásmica como nuclear (C: p16, x400). El Ki-67 muestra positividad exclusivamente en la capa basal de la lesión (D: Ki67, x20). Por el contrario, la QS es p16 negativa (E: p16, x20). Cuando se observan lesiones de colisión entre verruga y QS, las áreas de verruga son p16-positivo mientras que las áreas de QS son p16-negativo (F: p16, x20; G: p16x40).
En este sentido, hemos realizado estudios inmunohistoquímicos con Ki67 y p16 en casos de seborruca y los resultados son similares a lo que se ve en una verruga vírica, es decir, grupos parcheados de más de 10 células positivos para p16 (fig. 3B y C), con un índice alto de proliferación en los estratos basales de la lesión (fig. 3D). Esto contrasta con lo que se ve en los casos de QS (negativo para p16) (fig. 3E). Además, estos hallazgos contrastan con lo evidenciado en casos obvios de colisión entre verruga vulgar y queratosis seborreica, en donde solo las áreas de verruga vulgar muestran positividad para p16, mientras que las áreas de queratosis seborreica son negativas para p16 (fig. 3F y G). Todos estos hallazgos apoyan la idea de que la seborruca es una lesión con caracteres morfológicos de seborreica, que ha sufrido una infección por VPH que determina adquisición de caracteres adicionales de verruga.
El término seborruca pretende aplicarse a casos en los que las características histopatológicas se superponen tanto que un diagnóstico simple de verruga o de QS sería arbitrario. No tiene la intención de reemplazar ninguno de esos diagnósticos cuando las características morfológicas son lo suficientemente claras para hacer un diagnóstico específico de una de esas entidades.






