La hepatitis crónica por el virus de la hepatitisC (VHC) se asocia con enfermedades cutáneas como liquen plano, crioglobulinemia mixta, porfiria cutánea tarda, prurito y eritema acral necrolítico. También son habituales los efectos secundarios cutáneos del interferón (IFN), en su mayoría combinado con ribavirina, como reacciones limitadas al sitio de inyección, alopecia, xerosis, prurito, eccema numular, liquen plano o brotes de psoriasis1.
La sarcoidosis es una enfermedad granulomatosa crónica sistémica de etiología posiblemente autoinmune que afecta principalmente a pulmón y ganglios. Se han descrito casos de inducción de sarcoidosis, sobre todo pulmonar y cutánea, tras la administración de IFN-alfa y ribavirina en pacientes con VHC. Se cree que el IFN-alfa favorecería la diferenciación de célulasT CD4 hacia la respuesta inmune tipo Th1 con la consiguiente formación de granulomas. Este mecanismo podría intensificarse por la ribavirina2.
Comentamos el caso de una mujer adulta con hepatitis crónica por VHC a tratamiento con telaprevir, IFN-alfa y ribavirina que desarrolló una sarcoidosis papulosa de las rodillas.
Mujer de 51 años con cirrosis hepática por VHC ChildA genotipo1A a tratamiento desde hacía 6meses con terapia antiviral combinando telaprevir, IFN-alfa y ribavirina, que consultó por la presencia desde hacía un par de meses de lesiones asintomáticas en rodillas.
A la exploración física observamos múltiples pápulas eritemato-parduzcas de aspecto liquenoide, de 2-5mm de diámetro, algunas con morfología lineal, dispuestas de forma bilateral en ambas rodillas (fig. 1). El estudio dermatoscópico evidenció una coloración amarillo-anaranjada homogénea con vasos lineales en su interior (fig. 2).
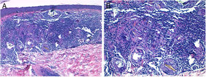
El estudio histopatológico de una de las lesiones de rodilla izquierda mostró en dermis superficial un infiltrado granulomatoso no necrosante constituido por histiocitos epitelioides y células gigantes multinucleadas que fagocitan un material cristalino birrefringente bajo microscopio de luz polarizada (fig. 3). Se estableció el diagnóstico de sarcoidosis papulosa de las rodillas inducida por la terapia antiviral.
Las pruebas complementarias solicitadas, que incluían un estudio analítico con hemograma, bioquímica, niveles séricos de la enzima convertidora de angiotensina y calcio en orina de 24h, prueba de tuberculina y radiografía de tórax, fueron normales. En la TAC torácica se apreció una mínima afectación parenquimatosa del intersticio peribroncovascular en posible relación con sarcoidosis. Unos meses después de suspender la terapia antiviral las lesiones cutáneas de las rodillas fueron mejorando sin necesidad de tratamiento.
En pacientes infectados por el VHC es mayor la prevalencia de sarcoidosis (0,12%, frente al 1-40 por 100.000 en la población general). Además, las lesiones cutáneas son más frecuentes en pacientes con sarcoidosis infectados por VHC que en el grupo sin infección (56% vs 22%)3. En muchos enfermos de hepatitis crónica por VHC la sarcoidosis se desencadena por el tratamiento antiviral (IFN-alfa administrado solo o en combinación con ribavirina). La sarcoidosis suele ser pulmonar o cutánea y con pronóstico favorable; de hecho, en la mayoría, realizando un seguimiento adecuado, es posible completar el tratamiento antiviral. De la misma forma que sucedió en nuestro caso con las lesiones cutáneas y pulmonares, una vez suspendido o finalizado el tratamiento las lesiones de sarcoidosis pueden involucionar espontáneamente4,5.
La sarcoidosis papulosa de rodillas se considera una forma clínica intermedia entre la sarcoidosis de las cicatrices y la papulosa6. Suele ser la manifestación inicial de una sarcoidosis sistémica y tener buen pronóstico. Se caracteriza por la presencia de lesiones papulosas de color pardo-rojizo en ambas rodillas que en ocasiones tienen un aspecto liquenoide y disposición lineal7,8. Aproximadamente en la mitad de los casos se asocia a eritema nudoso (síndrome de Löfgren). Muchos autores consideran clave la presencia de estas lesiones en las rodillas para confirmar una sarcoidosis como causa del eritema nudoso9,10. Las lesiones de la sarcoidosis papulosa de rodillas suelen involucionar de forma espontánea. Incluso en el contexto de una sarcoidosis sistémica, pocas veces requieren tratamiento con corticoides orales10.
En el 60% de los casos de sarcoidosis papulosa de las rodillas se observan partículas de cuerpos extraños en las lesiones. La morfología lineal de algunas de las lesiones orienta hacia un origen exógeno; sin embargo, habitualmente los pacientes no recuerdan cicatrices previas en dicha localización y en los estudios histopatológicos no se aprecia tejido cicatricial10. Es posible que microtraumatismos produzcan la inclusión de cuerpos extraños y años después, en personas predispuestas o desencadenadas por tratamientos como el IFN-alfa, esto favoreciese la aparición de dichas lesiones5.
El diagnóstico diferencial principal es la sarcoidosis de las cicatrices, forma clínica poco frecuente que se caracteriza por aumento y enrojecimiento de cicatrices antiguas de origen muy variado como traumatismos, tatuajes, venopunción, cirugías, inyección de ácido hialurónico y quemaduras5.
En conclusión, hemos presentado un caso de sarcoidosis papulosa de las rodillas en paciente con VHC a tratamiento con telaprevir, IFN-alfa y ribavirina. Es necesario sospechar la presencia de sarcoidosis ante la aparición de pápulas eritematosas, algunas lineales, en ambas rodillas sobre todo en pacientes con eritema nudoso o infección por VHC a tratamiento con IFN.





