Sr. Director:
Las reticulohistiocitosis son una forma infrecuente de presentación de las histiocitosis de células no Langerhans (HCNL)1. Tienen un amplio espectro de presentación, desde una lesión cutánea nodular única (reticulohistiocitoma cutáneo solitario) a lesiones múltiples (reticulohistiocitoma cutáneo múltiple), hasta formas más agresivas con lesiones múltiples y afectación articular (reticulohistiocitosis multicéntrica), existiendo en esta última, en un porcentaje significativo de casos, una neoplasia interna asociada2. Presentamos el caso de un reticulohistiocitoma solitario (RHS) que hemos tenido la oportunidad de observar en nuestro Servicio.
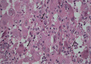
Se trata de un varón de 23 años de edad, sin antecedentes personales ni familiares de interés. Consultó en nuestro Servicio de Dermatología en febrero de 2007 por la aparición 6 meses antes de una lesión nodular en la cara lateral del tercer dedo de la mano derecha, de crecimiento progresivo y que le producía dolor al mínimo roce. En la exploración se apreció un nódulo cupuliforme de consistencia firme, de color rojo-violáceo y de aproximadamente 1 cm de diámetro, con el centro algo umbilicado y queratósico, que le daba un aspecto parecido a un queratoacantoma (fig. 1). Se realizó la extirpación quirúrgica de la lesión, observándose en el estudio histopatológico una lesión bien delimitada, no encapsulada, centrada en la dermis y revestida por epidermis no ulcerada, existiendo una proliferación moderadamente celular constituida por células histiocíticas de tamaño grande con abundante citoplasma eosinófilo de aspecto característico en «vidrio esmerilado» y núcleos redondeados u ovales dotados de prominentes nucléolos intensamente eosinófilos (fig. 2). No se observaron atipias ni necrosis, ni se identificaron mitosis. Las células oncocíticas se acompañaban de un infiltrado inflamatorio de linfocitos, eosinófilos y leucocitos polimorfonucleares neutrófilos. La inmunohistoquímica mostró una positividad para el factor XIII, CD68, vimentina y α 1-antitripsina. La tinción para S-100 fue negativa. Desde entonces el paciente se encuentra asintomático y no ha presentado signos de recidiva.
El RHS fue descrito por primera vez por Zak en 19503. Se caracteriza por una pápula o nódulo bien delimitado de superficie lisa de 0,3-2 cm de diámetro, normalmente asintomático. Suele tener una consistencia firme y un color variable, de amarillo a marrónrojizo. Puede aparecer en cualquier parte de la superficie corporal4. Algunos autores refieren que son menos frecuentes en la cara y los dedos a diferencia de la reticulohistiocitosis multicéntrica, aunque otros lo observan con más frecuencia en la cara y el cuello5. Es más frecuente en adultos jóvenes con un predomino ligero en el sexo masculino. Se ha descrito el desarrollo de reticulohistiocitomas en zonas de traumatismo, pero la mayoría de los casos aparecen de forma espontánea. El curso clínico de las lesiones es benigno, autolimitado y en pocas ocasiones recidivan tras su extirpación quirúrgica.
Histológicamente se caracteriza por un infiltrado mixto de histiocitos epitelioides grandes eosinofílicos con abundante citoplasma de aspecto vidrioso, células multinucleadas y otras células inflamatorias. El infiltrado alcanza la dermis reticular y a menudo el tejido celular subcutáneo. En ocasiones se observan células tipo Touton aisladas, con la presencia de lípidos en su interior. La epidermis suele estar algo hiperplásica e hiperqueratósica, siendo excepcional la ulceración6. En el estudio inmunohistoquímico las células son positivas con el factor XIIIa y con el CD68, siendo negativas con CDIa y CD34. La tinción con S-100 suele ser negativa, aunque se han descrito casos aislados positivos con este marcador. Es importante diferenciarlo clínicamente de otros procesos histiocíticos y granulomatosos, como la reticulohistiocitosis multicéntrica por su potencial afectación sistémica y riesgo de malignidad asociada. Aunque presentan hallazgos histopatológicos similares, en el RHS suele haber un mayor componente neutrofílico y eosinofílico en el infiltrado y una mayor tendencia del estroma a presentar numerosas células fusiformes, algunas de ellas xantomizadas (tabla 1). También puede ser difícil diferenciarlo, clínica e histopatológicamente, del xantogranuloma solitario del adulto, aunque en esta última son característicos los histiocitos lipidizados y la presencia de células tipo Touton, siendo el infiltrado mixto acompañante más escaso en células eosinofílicas7. Raramente el RHS puede confundirse clínicamente con otro tipo de neoplasia no histiocítica. En nuestro caso el aspecto algo queratósico de la supeficie y su forma crateriforme le confería una indiscutible similitud con un queratoacantoma, algo que no ha sido descrito previamente en el RHS ni en ningún otro proceso histiocítico, excepto en dos casos de histiocitoma fibroso benigno de región facial5. La etiología del RHS es desconocida. Se considera más un proceso reactivo que una verdadera neoplasia. Algunos autores preconizan el cambio de denominación de esta entidad, reticulohistiocitoma, que considerarían algo arcaico, por el término histiocitoma epitelioide solitario, ya que reflejaría con más precisión la citomorfología y el inmunofenotipo de este proceso8.
Características clínicas y de laboratorio de las diferentes formas de reticulohistiocitosis
| Reticulohistiocitoma cutáneo solitario | Reticulohistiocitoma cutáneo múltiple | Reticulohistiocitosis multicéntrica | |
| Número de lesiones | Única | Múltiples | Múltiples |
| Distribución | Cabeza y cuello, tronco, miembros inferiores | Difusa | Extremidades, cara, mucosas |
| Artritis | Ausente | Ausente | Presente |
| Malignidad | Ausente | Ausente | Presente en el 25% |
| Afectación de órganos internos | Ausente | Ausente | Presente |
| Valores de laboratorio | Normales | Normales | Alterados |





