INTRODUCCIÓN
Entre las estrategias propuestas para seleccionar las lesiones a extirpar en pacientes con múltiples nevus atípicos se encuentran la utilización de controles fotográficos de toda la superficie corporal1, 2 y el uso de la dermoscopia3, 4. Los controles fotográficos pueden facilitar la detección de lesiones nuevas y/o cambiantes. La dermoscopia puede ofrecer una valiosa información adicional dirigida a valorar si una pequeña lesión pigmentada nueva y/o cambiante tiene probabilidades de ser un pequeño melanoma incipiente. En tal caso esa lesión deberá ser extirpada sin demora. En muchas ocasiones la imagen dermoscópica permite asegurar la benignidad de la lesión, lo que evita extirpaciones innecesarias5.
El retículo pigmentado negativo (RPN) consiste en una malla o red con líneas claras y huecos oscuros. Es un signo dermoscópico infrecuente y controvertido. Existe consenso en admitir su presencia en algunos nevus de Spitz6-9. Sin embargo, algunos autores lo consideran también un signo muy específico de melanoma10, mientras otros han defendido su ausencia en melanomas8, 9.
DESCRIPCION DEL CASO
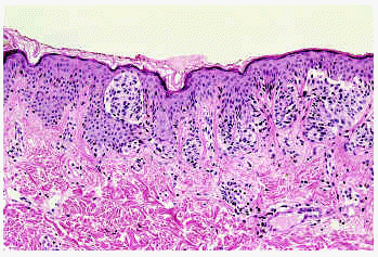
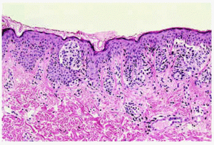
Una mujer de 17 años con múltiples nevus melanocíticos, algunos clínicamente atípicos, seguía revisiones periódicas con objeto de detectar de forma precoz la presencia de lesiones pigmentadas nuevas y/o cambiantes de aspecto problemático. Para facilitar su seguimiento se tomaron fotografías basales (cámara Polaroid Macro 5 SRL) en septiembre de 1999 a la edad de 15 años. En un control efectuado en enero de 2001 se detectó un crecimiento focal en una lesión situada en la espalda (fig. 1). El examen dermoscópico reveló una imagen con dos componentes lesionales bien definidos (fig. 2). El sector correspondiente a la zona estable (E) mostró un patrón relativamente homogéneo no atípico, con algunos glóbulos marrones dispersos, telangiectasias y algunos puntos claros brillantes (pseudoquistes de milio). En conjunto, este examen era compatible con un nevus compuesto o intradérmico. El sector correspondiente a la zona inestable en crecimiento (C) mostró un patrón marcadamente diferente, destacando su asimetría estructural en dos ejes, un área de tonalidad ligeramente azulada y otro área (correspondiente al frente de crecimiento de la lesión) mostrando una imagen de RPN (fig. 2). En el diagnóstico diferencial se planteó la posibilidad de melanoma incipiente y se procedió a su extirpación. El estudio histológico del área con dermoscopia no atípica, que no había mostrado cambios durante el seguimiento clínico (sector E), correspondía a un nevus compuesto, con predominio del componente intradérmico (fig. 3). En la epidermis se apreciaban pequeñas formaciones quísticas de queratina que justificaban el hallazgo dermoscópico de puntos claros brillantes (pseudoquistes de milio). El área con imagen dermoscópica atípica que había crecido en los meses previos (sector C) mostraba un nevus melanocítico compuesto con un componente juntural prominente, con atipia arquitectural pero sin atipia citológica (fig. 4). En su porción central se observaron algunos melanófagos en la dermis, lo que podía contribuir a generar el área azulada en la imagen dermoscópica (fig. 2). La atipia arquitectural y la disposición de las tecas, algunas de gran tamaño, serían el sustrato morfopatológico del RPN en este caso.
Fig. 1.--A: aspecto clínico inicial de la lesión. B: imagen obtenida 16 meses después. Se indica el sector de la lesión en crecimiento (cabeza de flecha).
Fig. 2.--Examen dermoscópico. En el sector estable (E) se aprecian algunas imágenes de pseudoquistes de milio (cabeza de flechas). En el sector en crecimiento (C) destaca una zona de tonalidad azulada (asterisco) y otra con un retículo pigmentado negativo (flechas).
Fig. 3.--Imagen histopatológica de un corte del sector estable (E). Nevus melanocítico compuesto de predominio intradérmico sin atipia. Se aprecia algún pequeño quiste córneo en la epidermis (imágenes puntuales brillantes tipo pseudoquistes de milio en la dermoscopia).
Fig. 4.--Imagen histopatológica de un borde del sector en crecimiento (C). Nevus compuesto de predominio juntural con atipia arquitectural pero no citológica. Se aprecia alguna teca de mayor tamaño en el borde de crecimiento del nevus.
DISCUSION
Algunos autores han sugerido que el RPN es un signo dermoscópico muy específico de melanoma10. Desde esa perspectiva nuestro caso ilustra un falso positivo y sugiere que algunos nevus junturales o compuestos en crecimiento pueden mostrar esta inquietante imagen. Además, el RPN ha sido descrito también en nevus de Spitz5-9 y en algunos nevus atípicos7, 11; en este último caso sin mencionar si se trataba de lesiones atípicas estables o en crecimiento en el momento de detectarse dicho signo. Algunos autores consideran que el RPN en el nevus de Spitz es debido a la existencia de crestas epidérmicas elongadas y apenas pigmentadas que darían lugar a las líneas claras rodeando huecos más oscuros7. Este patrón no estaba presente en nuestro caso. Otros autores han observado que esta imagen puede generarse también por la presencia en la zona juntural de tecas más pigmentadas que los espacios situados entre ellas6. Éste es el mecanismo probablemente implicado en nuestro caso. Sin embargo, debemos recordar que la presencia de tecas más pigmentadas que el área lesional en su inmediata vecindad puede contribuir a generar otros patrones dermoscópicos en función del tamaño, pigmentación y disposición de las tecas, así como de la distancia entre ellas. La citoarquitectura de los demás elementos estructurales de la lesión puede influir en la imagen final que vemos en el examen dermoscópico.
Aunque el RPN parece ser un signo dermoscópico infrecuente, probablemente puede aparecer en un espectro de lesiones melanocíticas algo más amplio de lo que se creyó inicialmente. A la hora de decidir si extirpamos o vigilamos una lesión pigmentada con este signo, nos parece razonable evaluar conjuntamente la presencia de otros datos clínicos y dermoscópicos que puedan resultar problemáticos. En nuestro caso consideramos plenamente justificada la extirpación del nevus al tratarse de una lesión focalmente cambiante y presentar, además, una evidente asimetría estructural dermoscópica junto a un área de tonalidad azulada. Este último signo, justificado por la presencia de melanofagia en nuestro caso, puede estar presente también en algunos melanomas6, 7.
Finalmente es interesante destacar que el presente caso refleja cómo la heterogeneidad dermoscópica en una lesión pigmentada puede correlacionarse con la presencia de dos elementos histopatológicamente bien distintos, ya sea por colisión de dos lesiones originalmente independientes o por evolución focal de una lesión inicial hacia otra. Uno de esos elementos puede ser en ocasiones un pequeño melanoma muy incipiente, como se ilustra de forma muy clara en el reciente trabajo de Bauer et al12. Su diagnóstico podría ser omitido si al tallar la pieza el patólogo no es adecuadamente advertido de que los cortes incluyan ambos componentes lesionales12. Este factor podría explicar la falta de correlación dermoscópica-patológica en algunos casos.






