INTRODUCCIÓN
Las lesiones cutáneas que se desarrollan sobre herpes zóster resueltos son infrecuentes y diversas. Se han descrito diferentes tipos de lesiones. Éstas incluyen granuloma anular 1-4 , granulomas sarcoideos 5 , granulomas tuberculoides 6 , vasculitis granulomatosa 7 , foliculitis granulomatosa 8 , dermatitis granulomatosas no clasificadas 9 , comedones 10 , erupciones acneiformes 11 , tiña 12 , psoriasis 13 , liquen plano 14,15 , enfermedad injerto contra huésped liquenoide 16 , dermatosis eosinofílica 17 , colagenosis reactiva perforante adquirida 18 , pseudolinfoma 19 , linfoma 20 , leucemia 21 , sarcoma de Kaposi 22 , angiosarcoma 23 , epitelioma basocelular 24 , epitelioma espinocelular 24 , liquen escleroso y atrófico y enfermedad de Rosai-Dorfman 25 . Estas reacciones pueden aparecer en un tiempo muy variable desde la resolución del herpes zóster.
Dentro de ellas, el granuloma anular y otros tipos de reacciones granulomatosas son las descritas con más frecuencia 26 . Se presentan 4 pacientes con lesiones granulomatosas tras herpes zóster.
DESCRIPCIÓN DE LOS CASOS
Las características clínicas y epidemiológicas de los pacientes se recogen en las tablas 1 y 2.
TABLA 1. LESIONES DEL HERPES ZÓSTER
TABLA 2. LESIONES GRANULOMATOSAS
Caso 1
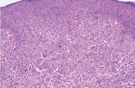
Una mujer de 34 años con leucemia linfática aguda con cromosoma Philadelphia positivo ingresó para trasplante de médula ósea. Diez días después del trasplante le apareció un herpes zóster en la región lateral derecha de cuello, escápula, hombro y mama, correspondiendo a los dermatomas C3-C4. Fue tratada con aciclovir intravenoso y a los 8 días de completar el tratamiento tuvo otro episodio de vesículas en la misma distribución, por lo que se inició tratamiento con foscarnet intravenoso. Treinta días después del episodio agudo de herpes zóster, aparecieron unas lesiones papulosas, violáceas, de aspecto liquenoide, con un diámetro entre 0,5 y 2 cm, limitadas a los dermatomas previos (fig. 1). Se realizó una biopsia en la que se observaba un infiltrado inflamatorio en banda en la dermis papilar, con granulomas constituidos por histiocitos, células gigantes multinucleadas y linfocitos (fig. 2).
Fig. 1.— Caso 1. Pápulas liquenoides en cuello y hombro.
Fig. 2.—Infiltrado inflamatorio granulomatoso formado por histiocitos, linfocitos y células multinucleadas. (Hematoxilina-eosina, ×40.)
Caso 2
Un varón de 68 años, con antecedentes de tres episodios de herpes zóster facial izquierdo (el primero hacía 10 años, el segundo no podía precisar con exac
titud el intervalo y el tercero hacía un mes), refería que al cicatrizar las lesiones del último episodio de herpes zóster, le había aparecido en la región frontal media una lesión atrófica con aspecto cicatricial, asintomática (fig. 3). La biopsia mostró una dermatitis granulomatosa constituida por linfocitos, células plasmáticas y células gigantes multinucleadas, con vasculitis linfocitaria focal.Fig. 3.— Caso 2. Cicatriz deprimida en frente.
Fig. 4.— Caso 3. Lesiones en placa eritematosa en espalda y costado.
Caso 3
Una mujer de 78 años, sin antecedentes personales de interés, presentaba en la región paravertebral izquierda una placa de aproximadamente 7 × 6 cm de diámetro, eritematosa, infiltrada, de límites irregulares y bien definidos acompañada de lesiones eritematopapulosas de aproximadamente 0,5 cm siguiendo un dermatoma por costado izquierdo y región submamaria izquierda hasta el esternón (fig. 4). Hacía 14 días que en la zona descrita le había aparecido un herpes zóster que se había resuelto con aciclovir oral. Se le pautó tratamiento con corticoides tópicos con mejoría de las lesiones. En la biopsia se observaba una dermatitis liquenoide y granulomatosa.
Fig. 5.— Caso 4. Nódulos eritematosos en hombro derecho.
Caso 4Un varón de 67 años, con antecedentes de inmunosupresión por un síndrome mielodisplásico en tratamiento con quimioterapia, presentaba en el hombro derecho, en la misma zona del herpes zóster previo hacía 15 días, tres nódulos eritematosos con un diámetro aproximado de 0,5 cm, con bordes regulares y bien definidos (fig. 5). Refería como único síntoma prurito ocasional. Se pautó tratamiento con corticoides tópicos, con mejoría de las lesiones. Se realizó una biopsia cutánea, que mostró una dermatitis granulomatosa con vasculitis linfocitaria focal.
DISCUSIÓN
Se han descrito diferentes tipos de reacciones cutáneas en las localizaciones previas de una infección por virus varicela-zóster (VVZ). Entre las reacciones granulomatosas, la presentación clínica que aparece con más frecuencia reflejada en la bibliografía son las pápulas, aunque, como en nuestros casos, también se describen cicatrices deprimidas 26 y nódulos 6,26 . Las reacciones granulomatosas están moduladas por el estado inmunológico del individuo y por el estado dinámico de la formación de granulomas. Esto puede explicar la variedad morfológica de las reacciones granulomatosas después de las infecciones por el VVZ. En ninguno de los pacientes las lesiones desbordaban los límites del herpes zóster previo, ni existían lesiones a distancia. El intervalo entre el episodio agudo y la aparición clínica de las reacciones era relativamente corto, con un rango de 14 a 30 días. Dos de los pacientes mostraban inmunosupresión. Se ha sugerido que ésta produce una respuesta inmunitaria alterada mediada por las células de la línea macrofágica que puede estar implicada en el desarrollo de estos granulomas 27 .
En los hallazgos histopatológicos de las reacciones tras el zóster, las alteraciones granulomatosas son las más frecuentes. En nuestros casos, además de las reacciones granulomatosas en la histopatología, tres de los
pacientes mostraban una respuesta histopatológica liquenoide, raramente descrita en la literatura mé- 14,15,26,28 . En los 4 casos se observó como característica común la presencia de una infiltración granulomatosa constituida por granulomas de células epitelioides y células gigantes multinucleadas sin necrosis caseosa. Algunos de los granulomas estaban bien delimitados y otros mostraban unos límites vagamente definidos y asociados a una abundante infiltración linfocitaria. Los granulomas, localizados en la dermis reticular, se disponían ocasionalmente en disposición perivascular o perianexial. En 3 de los 4 pacientes el infiltrado presentaba un patrón liquenoide. Estaba constituido por linfocitos, histiocitos y células gigantes multinucleadas con formación ocasional de algún granuloma. En uno de los casos el infiltrado liquenoide adoptaba un patrón semejante a un liquen nitidus . Este paciente ha sido publicado anteriormente como el primer caso de dermatitis liquenoide de células gigantes en cicatrices de herpes zóster 29 . Ningún caso mostraba signos de efecto citopático herpético.
El mecanismo patogénico de estas respuestas es desconocido. Se piensa que los posibles factores provoca-dores pueden ser una reacción de hipersensibilidad tipo III o tipo IV 2,6 , el fenómeno de Koebner 1,2,5,14,15,22 , o un origen viral en el que los antígenos del VVZ o los antígenos tisulares alterados por el virus induzcan una reacción de hipersensibilidad alterada 3,4 . Nikkels et al 9 estudiaron mediante inmunohistoquímica e hibridación in situ 5 pacientes con reacciones granulomatosas tempranas después de infecciones por el VVZ. En todos los pacientes las glucoproteínas del VVZ gpI y gpII estaban presentes en las células de los vasos alterados, pero las secuencias correspondientes al genoma se encontraron en localizaciones similares solamente en 3 pacientes. Los autores concluyeron que las glucoproteínas virales de la envoltura, más que partículas virales completas, eran las que podían producir la formación de granulomas después de la infección por el VVZ. Junto al VVZ, otros factores inmunológicos, neurales o vasculares podrían influir en el desarrollo de las lesiones cutáneas.
No siempre se demuestra la presencia de ADN viral del VVZ mediante la técnica de reacción en cadena de la polimerasa (PCR) en el tejido lesional. Se detecta con mayor frecuencia en lesiones tempranas, de menos de un mes de evolución, que en las tardías (2 y 4 años después de resolverse el herpes zóster) 30 . Por todos estos motivos algunos investigadores han sugerido que continuar con el tratamiento antiviral puede no ser útil en las reacciones inflamatorias tras la resolución del zóster. El curso clínico con frecuencia se resuelve en meses con o sin tratamiento 7 .
Correspondencia:
Sara Álvarez-Ruiz. Hospital Universitario de La Princesa. Diego de León, 62. 28006 Madrid. España. agarcia@aedv.es
Recibido el 8 de julio de 2004. Aceptado el 27 de septiembre de 2004.









