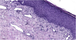
Paciente masculino de 57 años fue remitido a la consulta de Dermatología para la valoración de una placa esclerodermiforme hiperpigmentada de 30 × 20 cm, con una úlcera exudativa de bordes indurados rodeada de un área eritematosa mal delimitada, localizada en la región lumbar y de cinco meses de evolución (fig. 1). El paciente tenía antecedentes personales de diabetes mellitus tipo II, hipertensión arterial y había sido diagnosticado recientemente de un mielolipoma. Este fue tratado mediante una embolización supraselectiva de la arteria frénica derecha, la arteria suprarrenal derecha y la arteria lumbar L2 seis meses antes de la consulta. El paciente refería haber comenzado con prurito y un enrojecimiento en la región dorsolumbar unos 15 días después de la intervención mencionada y, desde entonces, la lesión aumentó de tamaño progresivamente y se ulceró. El estudio histológico solo mostró unas dilataciones linfáticas atribuidas a la irradiación (fig. 2).
Tras la revisión de la literatura y teniendo en cuenta los antecedentes de embolización transarterial, las características y la localización de la lesión cutánea, se diagnosticó radiodermitis secundaria a la fluoroscopia. El diagnóstico es fundamentalmente clínico. La fluoroscopia es un tipo de radiografía que muestra en tiempo real aparatos y sistemas internos del cuerpo en movimiento. Como en toda obtención de imágenes de rayos X, la exposición mínima necesaria para todo tipo de obtención depende de la información específica que se necesita ver o analizar en dicha imagen. Por esta razón, los tiempos requeridos para formar las series de imágenes pueden ser bastante prolongados. La mayoría de estos procedimientos no inducen lesiones cutáneas, sin embargo, los casos de mayor complejidad, la mayor frecuencia de sesiones, las exposiciones más prolongadas (dosis >15 Gy) y las nuevas indicaciones de estos procedimientos terapéuticos intervencionistas aumentan el riesgo de desarrollar radiodermitis secundaria a fluoroscopia.





