Varón caucásico de 21 años, sin antecedentes personales relevantes, remitido desde atención primaria por presentar lesión en brazo derecho de 10 meses de evolución, asintomática.
Exploración físicaSe observa una lesión de aproximadamente 4mm de diámetro, de aspecto noduloquístico, con un mechón central de pelos blancos (fig. 1). En la dermatoscopia presenta una zona blanco-rosada, con el centro algo deprimido y descamativo del que emerge un mechón de finos vellos blanquecinos. No se observaron datos de lesión melanocítica, ni ningún patrón vascular específico (fig. 2).
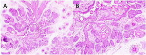
HistopatologíaLa biopsia-extirpación mostró un folículo central dilatado desde el cual nacen numerosos folículos secundarios y terciarios pequeños con diferenciación panfolicular. El folículo central contiene queratina y tallos pilosos. Los folículos pequeños son más o menos maduros y se observan folículos abortivos que se irradian a la dermis circundante. Se identifican glándulas sebáceas (fig. 3).
¿Cuál es el diagnóstico?
DiagnósticoTricofoliculoma.
ComentarioEl tricofoliculoma (TF) es un hamartoma con diferenciación folicular, infrecuente y benigno, más común en edad adulta y sin predilección por ningún género. Aparece de forma espontánea, aunque también se ha descrito su aparición tras traumatismos. Generalmente se presenta como una pápula solitaria color de la piel normal, de tamaño variable, que muestra una depresión central de la que emerge un mechón de finos cabellos blancos. La localización predominante es la cara, seguida del cuello y cuero cabelludo1,2. No obstante, la literatura recoge casos de TF congénitos, TF múltiples, así como TF extrafaciales. El diagnóstico diferencial clínico incluye entidades como la pápula fibrosa de la nariz, la fístula del dorso de la nariz y la tricostasis espinulosa, entre otros.
El estudio histopatológico es diagnóstico y característico, observándose una dilatación infundibular de aspecto quístico con cornificación infundibular y ortoqueratina central. De esta estructura central brotan radialmente folículos vellosos secundarios y terciarios. El estroma perilesional es fibroso y laminar y característicamente se encuentra separado mediante hendiduras del estroma de la dermis sana adyacente. Habitualmente no hay músculos piloerectores y la diferenciación sebácea es mínima en los casos típicos3. Existe una variante conocida como TF sebáceo en la que los folículos secundarios contienen abundantes acinos sebáceos. Para varios autores, el TF puede ser encontrado en 3 estadios evolutivos (temprano, completo o desarrollado y tardío) correspondientes al ciclo del folículo piloso, siendo la diferenciación sebácea más llamativa en los TF tardíos. Algunos autores defienden incluso que el llamado hamartoma quístico foliculosebáceo puede corresponder a un TF de larga evolución. Para otros autores, sin embargo, son entidades distintas4. No hay casos descritos a día de hoy de transformación maligna y los casos publicados de TF con infiltración perineural parecen corresponder más bien a carcinomas anexiales microquísticos. Los principales diagnósticos diferenciales histológicos incluyen el poro dilatado de Winer, la pápula fibrosa de la nariz, el fibrofoliculoma y el nevus del folículo piloso3.
Las descripciones dermatoscópicas son escasas y varían en función del tiempo de evolución de la lesión. Panasti et al. describen un patrón en «fuegos artificiales» en un TF de 4 meses de evolución. Este patrón consiste en una zona central marrón con proyecciones radiales marrón oscuro, en ausencia de retículo pigmentado. Recientemente, García-García et al. describen la dermatoscopia de un TF de un año de evolución como un nódulo azulado con una zona central blanquecina-rosada, con estructuras blanco brillantes, vasos puntiformes y escama central5,6. En nuestro caso, observamos un patrón que parece más próximo a este último al que añadimos el característico mechón de finos cabellos blancos. En cualquier caso, en la actualidad queda por definir el papel de la dermatoscopia en el diagnóstico de los tumores anexiales.
Al ser una entidad benigna el TF no precisa de ningún tratamiento salvo por motivos diagnósticos o estéticos. Además, en la literatura no están descritas asociaciones con ninguna patología significativa, al contrario de lo que ocurre con otros tumores pilares.
Conflicto de interesesLos autores declaran no tener ningún conflicto de intereses.






