Mujer de 41 años, sin antecedentes clínicos de interés, que ingresó por lesiones de 24h de evolución en forma de placas eritematosas violáceas livedoides, de aspecto retiforme, con necrosis en el centro de algunas de las lesiones, no dolorosas a la palpación. Las lesiones aparecían sucesivamente en los brazos, las piernas y la cara (fig. 1). Además refería artralgias de muñecas y manos. Estaba afebril y negaba la toma de fármacos ni de tóxicos ni picaduras por insectos.
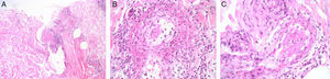
Realizamos una biopsia cutánea (fig. 2) que mostró un infiltrado inflamatorio en la dermis constituido por linfocitos y abundantes leucocitos polimorfonucleares neutrófilos con restos nucleares, que se distribuía en porción superficial y perivascular, con presencia de necrosis fibrinoide en la pared y trombos en pequeños vasos. En el análisis sanguíneo destacaba una anemia microcítica, una elevación de la PCR (71,4mg/l), antiDNA 70IU/ml y pANCA (1/640). El análisis de tóxicos en orina fue positivo para cocaína.
¿Cuál es su diagnóstico?
DiagnósticoPúrpura retiforme relacionada con cocaína.
Evolución y tratamientoTras 48h de ingreso hospitalario en observación con corticoides sistémicos no aparecen nuevas lesiones y las previas mejoran, desapareciendo en los días sucesivos.
ComentarioEl consumo de cocaína está muy extendido y España es uno de los países europeos donde más se consume a nivel mundial. Es habitual mezclar la cocaína con adulterantes para así expandir su volumen. Se han usado durante muchos años el manitol y la lactosa, anestésicos locales y fármacos más activos como el paracetamol y la cafeína. Actualmente se emplea el levamisol, que se ha detectado en gran parte de los suministros de cocaína en todo el mundo1, hasta en el 70% de los lotes en los Estados Unidos. Es un agente antihelmíntico y modulador del sistema inmune que se ha asociado con la generación de autoanticuerpos como los ANA, anti-LA y ANCA en pacientes con un determinado perfil inmunogenético. También se asocia a neutropenia y agranulocitosis. En la piel provoca una erupción purpúrica1–3, con predilección de las orejas, hecho que se observó en aquellos niños que recibían este fármaco como tratamiento por el síndome nefrótico1. En la histopatología se observa un patrón mixto de vasculitis leucocitoclástica y una trombosis microvascular muy característica del levamisol4.
Dentro del diagnóstico diferencial se incluyen vasculitis de pequeño vaso, vasculitis sépticas, síndrome antifosfolípido, crioglobulinemia y necrosis por fármacos como la ergotamina y también la cocaína. La granulomatosis de Wegener (GW) merece una especial consideración3,5. La presencia de cANCA positivo constituye un test altamente específico de la GW3. Hay varios casos descritos de pacientes con lesiones destructivas de línea media, junto a una erupción cutánea vasculopática y anticuerpos c-ANCA positivos, orientados inicialmente como una GW y finalmente acaban relacionándose con el consumo de cocaína. Existe en la actualidad un subtipo de anticuerpos ANCA, los anti-HNE, que ayudaría a distinguir ambas entidades. Títulos elevados de anti-HNE nos sugeriría la relación del cuadro con el consumo de cocaína4.
Presentamos el caso de una mujer con lesiones cutáneas de aspecto retiforme, artralgias y elevación de los anticuerpos pANCA en el que se demuestra un consumo previo de cocaína y sugerimos que la adulteración de esta con levamisol puede haber sido la causa, hipótesis que estaría reforzada por los hallazgos clínicos, de laboratorio e histopatológicos6. Las pruebas definitivas serían la detección de levamisol en suero u orina, hecho difícil debido a la vida media corta del levamisol, solo de 5-6h frente a los 4 días de duración de la cocaína en orina, y la detección de los anticuerpos anti-HNE positivos, prueba no disponible en todos los laboratorios de análisis clínicos.
Es importante estar familiarizado con este cuadro clínico y poder reconocer esta asociación para frenar el consumo de la droga adulterada, la clave para la resolución de este proceso.




