Un varón de 8 meses consultó por una lesión en la extremidad inferior derecha presente al nacimiento, sin cambios en su aspecto pero con un crecimiento progresivo. Entre sus antecedentes personales no destacaron enfermedades de interés, con nacimiento a término tras un embarazo controlado, mediante cesárea sin complicaciones.
Exploración físicaEn la exploración mostró 5 placas de color rojo oscuro, de bordes irregulares y bien delimitadas, de 1,5cm de largo la de mayor tamaño, distribuidas desde el maléolo medial hacia el dorso del pie derecho (fig. 1A). La dermatoscopia evidenció lagunas milimétricas rojo vinosas sobre un fondo rosado homogéneo (fig. 1B).
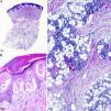
HistopatologíaEl estudio histopatológico mostró una epidermis ortoqueratósica con acantosis y papilomatosis (fig. 2A) y vasos dilatados en un patrón lobular, rodeados de un infiltrado inflamatorio perivascular escaso en la dermis superficial y profunda (fig. 2 B y C). La tinción inmunohistoquímica reveló positividad para Wilms tumor 1 y glucose transporter 1 y negatividad para D2-40 (fig. 3).
Otras pruebas complementariasLa ecografía evidenció que las lesiones eran superficiales, hallándose un discreto aumento del espesor de partes blandas de la región dorsal medial del pie derecho, sin flujo valorable. Un estudio analítico completo en sangre no reveló alteraciones en el hemograma, el perfil hepático y renal, ni en los niveles de dímero-D.
¿Cuál es su diagnóstico?
DiagnósticoMalformación venosa verrucosa (MVV).
Evolución y tratamientoSe pautó tratamiento con timolol tópico al 0,5% diario durante 6 meses, suspendiéndose finalmente ante la ausencia de cambios.
ComentarioLa MVV es una anomalía vascular cuyo carácter malformativo o tumoral ha sido muy discutido. Habitualmente las lesiones están presentes al nacer o aparecen en la infancia temprana, como un parche rojo oscuro único o múltiple. La localización más frecuente es en los miembros inferiores, con tendencia a oscurecerse, engrosarse y volverse hiperqueratósico, sin tendencia a la remisión1. Dermatopatológicamente la MVV muestra una epidermis con hiperqueratosis compacta, papilomatosis y acantosis irregular sobre capilares dilatados en la dermis papilar y profunda y en el tejido celular subcutáneo2. Aunque sus características clínicas recuerdan a una malformación vascular, inicialmente fue considerado como tumor vascular por la International Society for the Study of Vascular Anomalies por su perfil inmunohistoquímico positivo para Wilms tumor 1 y glucose transporter 12,3.
Clínicamente puede confundirse con otras lesiones vasculares, como el angioqueratoma, o con malformaciones vasculares compuestas capilares, venosas y linfáticas que, aunque pueden presentar hiperqueratosis y acantosis, son negativas para glucose transporter 1 y Wilms tumor 13.
Recientemente, Couto et al.4 han descrito en la MVV una mutación somática tipo missense en la proteína activada por mitógenos cinasa cinasa cinasa 3, la cual está implicada en la cascada de señalización de la angiopoyetina-1 y la túnica íntima endotelial cinasa-1, implicadas en las malformaciones venosas tanto hereditarias como esporádicas5. Debido a su evolución clínica, así como por los recientes hallazgos genéticos, actualmente se considera la MVV dentro de las malformaciones venosas6, a pesar de sus características inmunohistoquímicas.
Conflicto de interesesLos autores declaran no tener ningún conflicto de intereses.





