HISTORIA CLINICA
Un varón de 38 años de edad, sin antecedentes personales de interés, consultó por la aparición de unas lesiones cutáneas, discretamente pruriginosas, localizadas en el cuello, las axilas y las ingles, de muchos años de evolución. Las lesiones empeoraban especialmente con el calor y la sudoración. El paciente refería que su madre, abuela y tía padecían un proceso similar.
EXPLORACION FISICA
Se observaron placas eritematosas erosivas en las caras laterales del cuello, las axilas y las zonas inguinales (figs. 1 y 2).
Fig. 1.--Placas eritematosas erosionadas localizadas en las regiones axilares.
Fig. 2.--Placa eritematosa axilar con erosiones superficiales.
EXPLORACIONES COMPLEMENTARIAS
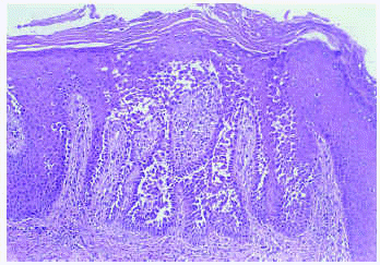
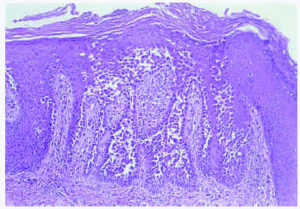
El hemograma y la bioquímica de rutina fueron normales. Se practicó una biopsia de una de las lesiones del cuello (figs. 3 y 4).
Fig. 3.--Biopsia cutánea de las lesiones.
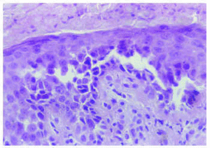
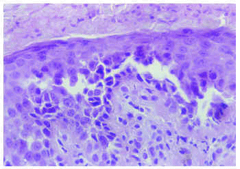
Fig. 4.--Detalle histológico a mayor aumento.
DIAGNOSTICO
Pénfigo benigno familiar o enfermedad de Hailey-Hailey.
HISTOPATOLOGIA
Histopatológicamente, en la epidermis se observaban hendiduras suprabasales que contenían queratinocitos acantolíticos. Algunas de las células mostraban disqueratosis, pero no se apreciaban cuerpos redondos. La superficie de la epidermis se mostraba hiperqueratósica, con orto y paraqueratosis. En la dermis existía un moderado infiltrado inflamatorio perivascular compuesto por linfocitos e histiocitos.
COMENTARIO
El pénfigo benigno familiar fue descrito en 1939 por los hermanos Hailey1. Esta enfermedad se caracteriza por la aparición, de forma recurrente, de vesículas y erosiones en las áreas flexurales del cuerpo.
La enfermedad de Hailey-Hailey afecta por igual a varones y mujeres y sigue un patrón de herencia autosómico dominante, aunque sólo el 70 % de los pacientes tienen antecedentes familiares claros. El gen responsable se localiza en el brazo largo del cromosoma 3, concretamente en 3q(21-q24)2,3. Este gen se denomina ATP2C1 y codifica una bomba dependiente del calcio, que regula los niveles intracitoplasmáticos de este ion4.
Las lesiones aparecen ante factores externos como la maceración, la infección y la fricción. Éstos inducen una cascada inflamatoria con formación y liberación de citocinas y activación de los linfocitos T5.
Las manifestaciones clínicas pueden comenzar a partir de los 11 años de edad, pero la edad más frecuente de aparición son los 30-40 años6. Lo más habitual es que las lesiones tengan una extensión limitada a grandes pliegues (axilas, ingles, zonas inframamarias, antecubitales y poplíteas) y cuello. Generalmente en el cuello es donde las lesiones aparecen por primera vez6. Se trata de vesículas flácidas y ampollas sobre base eritematosa, que debido a la fricción y a la sobreinfección adoptan un aspecto erosionado y fisurado. También es posible que se formen costras o lesiones vegetantes e hipertróficas. La afectación de las mucosas es muy rara. La mitad de los pacientes presentan además unas estrías longitudinales blancas en las uñas6,7.
La recurrencia de las lesiones, especialmente con el calor y la sudoración, es la norma.
Burge llevó a cabo un estudio en pacientes afectados de pénfigo benigno familiar y llegó a la conclusión de que el 17 % de las mujeres afectadas empeoraban con la menstruación y el 36 % de los pacientes mejoraban con el sol6. En algunos casos de enfermedad de Hailey-Hailey se ha producido una sobreinfección por el virus del herpes simple provocando un cuadro de eczema herpeticum8.
El estudio histopatológico se caracteriza por la existencia de acantolisis, edema intercelular, aspecto de «pared en ladrillos desmoronada» de la epidermis y en ocasiones presencia de células disqueratósicas, hecho que plantea el diagnóstico diferencial con la enfermedad de Darier. El estudio con inmunofluorescencia directa e indirecta es negativo, a diferencia de las enfermedades ampollosas autoinmunes. Con el microscopio electrónico se observa un defecto en la adhesión desmosómica, con separación de los tonofilamentos9.
El diagnóstico diferencial clínico del pénfigo benigno familiar debe establecerse con infecciones bacterianas crónicas, intértrigos de diversas etiologías y enfermedades ampollosas autoinmunes, como los pénfigos vulgar y vegetante, en las que la afectación de las mucosas es frecuente.
El diagnóstico diferencial histológico se plantea fundamentalmente con otras entidades que cursan con acantolisis y disqueratosis, como la enfermedad de Darier (donde existe un predominio de células disqueratósicas) y la enfermedad de Grover o dermatosis acantolítica transitoria (en la que predominan diferentes patrones de acantolisis).
El tratamiento de la enfermedad de Hailey-Hailey se fundamenta sobre todo en la utilización de antibióticos tópicos o sistémicos, corticoides tópicos o sistémicos y antifúngicos, medidas todas ellas destinadas a evitar la sobreinfección y el empeoramiento de las lesiones. En aquellos casos recalcitrantes se han utilizado otros tratamientos como ciclosporina oral, retinoides tópicos y orales, dapsona, metotrexato, talidomida, puvaterapia, dermoabrasión, tacrolimus tópico e incluso láser de dióxido de carbono (CO2) y terapia fotodinámica con ácido deltaminolevulínico10. El hecho de que las lesiones mejoren con ciclosporina o tacrolimus indica que la inmunidad celular tiene un papel importante en la patogenia de la enfermedad, y que tanto una sustancia como la otra no sólo actúan inhibiendo la transcripción de citocinas y a los linfocitos activados, sino también modulando la cohesión entre los queratinocitos5.
Actas dermosifiliográficas..... hace 50 años
«Primeros ensayos clínicos con los derivados del furano en el tratamiento local de las afecciones cutáneas piógenas»
S. Noguer-Moré
Antiguo Jefe de Servicio de Dermatología del Hospital de la Santa Cruz y San Pablo de Barcelona y Presidente de la Asociación de Dermatología de la Academia de Ciencias Médicas.
Actas Dermosifiliogr 1954;45:320-3.
COMENTARIO
Este artículo recoge los primeros ensayos clínicos realizados en España con derivados del furano como tratamiento de algunas piodermitis. El producto utilizado fue la nitrofurazona, el principio activo del actual Furacin®.
El autor, maestro indiscutible de la época, trata 115 pacientes, veintiocho con impétigo, diecisiete con porofoliculitis, nueve con foliculitis aguda y veinticuatro con foliculitis subaguda o crónica. En catorce la piodermitis complicaba un eczema y en veintitrés una micosis.
Todos los casos se curaron en menos de 2 semanas, excepto las sicosis y las sobreinfecciones. Un 2 % de los pacientes desarrollaron una dermatitis de contacto.
Termina el artículo con una afirmación que mantiene su vigencia en la actualidad: «[...] la nitrofurazona, aun en el caso de provocar dermitis de contacto, permite, sin riesgo alguno, tratamientos ulteriores con cualquier antibiótico».
Rosa María Díaz Díaz
Servicio de Dermatología
Hospital La Paz. Madrid. España.






