Presentamos el caso de un varón de 16 años afecto de síndrome de Down que presentaba unas placas eritematosas de gran tamaño en ambas extremidades inferiores, asintomáticas, de meses de evolución.
Exploración físicaEl paciente presentaba pápulas coalescentes en placas anulares de bordes hiperqueratósicos y centro deprimido, localizadas en la cara anterior de ambos muslos, que dejaban hiperpigmentación residual (fig. 1). En el resto de la exploración física no se hallaron otras lesiones relevantes.
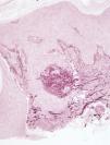
HistopatologíaSe practicó una biopsia cutánea de uno de los bordes de las placas donde se observaba acantosis de la epidermis con hiperqueratosis, sin presencia de neutrófilos intraepidérmicos y en la dermis, un material basófilo, que se eliminaba a través de la epidermis (fig. 2). Mediante la tinción histoquímica con orceína comprobamos que se trataba de fibras elásticas (fig. 3).
¿Cuál es su diagnóstico?
DiagnósticoElastosis perforante serpiginosa.
Evolución y tratamientoEl paciente fue tratado con betametasona y calcipotriol tópicos con escasa respuesta; dado que las lesiones eran asintomáticas se decidió no realizar ningún tratamiento más agresivo.
ComentarioLa elastosis perforante serpiginosa (EPS) es una dermatosis perforante poco frecuente, que suele iniciarse en las primeras décadas de la vida, normalmente antes de los 30 años, en forma de pápulas queratósicas de 2-5mm, localizadas en la cara, el cuello, el tronco y las extremidades superiores, de forma simétrica. Las lesiones suelen ser asintomáticas o levemente pruriginosas. A pesar de que clásicamente se describe la afectación de la cabeza, el cuello y los brazos, existen casos de EPS con afectación de las extremidades inferiores, especialmente los muslos1–3.
En el estudio histológico de las lesiones se observa hiperqueratosis con o sin paraqueratosis, y la característica eliminación de material a través de la epidermis, que la tinción con orceína permite identificar como fibras elásticas.
Existen 3 tipos de EPS: idiopática, reactiva e inducida por fármacos. Las formas reactivas suponen en torno al 40% de los casos y se asocian a otras enfermedades con alteraciones del tejido conectivo como síndrome de Down1,3, síndrome de Ehler-Danlos, síndrome de Marfan, síndrome de Rothmund-Thompson y pseudoxantoma elástico4, entre otros.
Los pacientes afectos de síndrome de Down presentan una mayor incidencia de alteraciones del tejido conectivo, como hiperlaxitud articular y envejecimiento prematuro de la piel, lo que podría explicar que estos pacientes presenten lesiones de EPS con una frecuencia mayor que la población general. Las formas inducidas por fármacos se observan en aproximadamente un 1% de los pacientes tratados con D-penicilamina5, fármaco empleado en la enfermedad de Wilson y en homocistinuria.
Los tratamientos empleados para EPS son muchos, con respuestas variables; se pueden emplear tratamientos tópicos como corticoides6, retinoides e inhibidores de la calcineurina. También se han usado diversos tratamientos ablativos más agresivos como laserterapia, crioterapia, exéresis tangencial de algunas lesiones o simplemente destrucción mediante electrocauterización de las lesiones.
Presentamos un caso de EPS «atípico», tanto por la localización de las lesiones, en las extremidades inferiores, como por el tamaño de las mismas. La existencia de otros casos publicados similares en personas con síndrome de Down hace pensar que esta localización puede ser una forma de presentación común de la enfermedad en este subgrupo de pacientes.





