Varón de 9 años con antecedentes personales de dermatitis atópica y trastorno por déficit de atención e hiperactividad en tratamiento con metilfenidato y risperidona. Consulta por lesiones en cavidad oral, asintomáticas, de 7 meses de evolución, que había tratado con antifúngicos tópicos (ketoconazol, nistatina), sin mejoría.
Exploración físicaEn cavidad oral, afectando ambas mucosas yugales, suelo de la boca, bordes laterales y región ventral de la lengua, se objetivaron placas blancas, gruesas, rugosas, que no se desprendían con el raspado (fig. 1). El resto de la exploración física fue anodina.
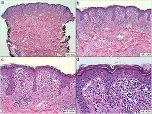
HistopatologíaSe realizó una biopsia incisional de la mucosa yugal. La tinción con hematoxilina-eosina reveló una mucosa escamosa con acantosis y células claras correspondientes a queratinocitos con citoplasma amplio y claro y un núcleo de pequeño tamaño, observándose de forma focal un material eosinófilo citoplásmico perinuclear. El corion no mostró infiltrado inflamatorio (fig. 2). Con la tinción de PAS no se observaron estructuras micóticas.
Otras pruebas complementariasEl cultivo micológico fue negativo. En la analítica destacaba elevación de urea (356mg/dl) con restos de parámetros de bioquímica, hemograma, complemento e inmunoglobulinas normales. El estudio serológico (VEB, Mycoplasma pneumoniae, parvovirus B19, CMV) mostró hallazgos compatibles con infección pasada (IgG positivo) por VEB y Parvovirus B19.
¿Cuál es su diagnóstico?
DiagnósticoNevus blanco esponjoso.
Evolución y tratamientoDebido al carácter benigno de esta entidad se decidió actitud expectante. En el momento actual el paciente se encuentra en estudio por elevación de las cifras de urea en una unidad de enfermedades metabólicas.
ComentarioEl nevus blanco esponjoso es una genodermatosis rara, de herencia AD y penetrancia variable, aunque se han descrito casos esporádicos. Fue descrita por Hyde en el año 1909 con el término leucoqueratosis, y en el año 1935 Cannon acuñó el término «nevus blanco esponjoso»1.
La fisiopatología no está del todo aclarada. Se han identificado mutaciones en los genes que codifican las queratinas 3 y 14, localizados en los cromosomas 12q13 y 17q21-q22, respectivamente. Estas queratinas se expresan de forma específica en la mucosa oral, anogenital, nasal, esofagal y laringe, así como en otros epitelios escamosos estratificados no queratinizados1–4.
Las lesiones son asintomáticas en la mayoría de los casos, y suelen afectar a la mucosa oral de forma bilateral y simétrica, en forma de placas blancas, de aspecto esponjoso, rugosas, que no suelen desprenderse con el raspado. Se han publicado casos excepcionales de afectación mucosa extraoral aislada5. Pueden ser congénitas o aparecer durante la infancia como en el caso de nuestro paciente. En ocasiones, aparecen en la adolescencia, sin predilección por sexo1,3,5,6.
La histopatología es inespecífica. Destaca engrosamiento epitelial con hiperqueratosis paraqueratósica, acantosis y espongiosis con vacuolización de queratinocitos supraepidérmicos y con agregados eosinófilos perinucleares que corresponden a agrupaciones anómalas de tonofilamentos de queratinas1.
El diagnóstico se basa en la clínica y en los hallazgos histopatológicos. También puede realizarse un estudio genético.
El pronóstico es bueno. Se han descrito en la literatura casos con desarrollo posterior de displasia e incluso carcinoma epidermoide, aunque la relación no está claramente establecida3,5.
Debido al carácter asintomático de las lesiones, no requiere ningún tratamiento. Se han publicado casos aislados de respuesta a clorhexidina, retinoides y tetraciclinas tópicos, y a penicilina oral1,2,6.
El diagnóstico diferencial debe realizarse con otras enfermedades que cursan con lesiones blancas en la mucosa oral: genodermatosis (paquioniquia congénita, disqueratosis intraepitelial benigna hereditaria y disqueratosis congénita); infecciones (candidiasis oral en su forma pseudomembranosa, hiperplasia epitelial focal o sífilis); enfermedades inflamatorias (liquen plano); lesiones premalignas y malignas (leucoplasia, carcinoma epidermoide); y otras entidades como el leucoedema y la hiperqueratosis friccional.
Presentamos un caso poco frecuente y extenso de nevus blanco esponjoso de aparición en la edad pediátrica. Destacamos en nuestro paciente el hallazgo casual de cifras elevadas de urea y la sospecha de enfermedad metabólica subyacente hallazgo no descrito hasta la fecha. La asociación de ambas entidades está por definir.
Conflicto de interesesLos autores declaran no tener ningún conflicto de intereses.




