Historia clínica
Varón de 19 años de edad, sin antecedentes personales de interés, que consultó por la aparición, dos años antes, de una lesión dolorosa y de crecimiento lento localizada en la región pretibial izquierda, que se desarrolló después de un traumatismo.
Exploración física
A la exploración se observó una placa violácea de 8 x6 cm de diámetro, de bordes netos, localizada en el tercio distal de la región pretibial izquierda (fig. 1). No se evidenció aumento local de la temperatura ni varicosidades.
Figura 1.
Exploraciones complementarias
Los análisis, incluyendo hemograma, bioquímica, coagulación y serología para el virus de la inmunodeficiencia humana (VIH), fueron normales o negativos. El estudio con eco-Doppler mostró una fístula arterio-venosa subyacente.
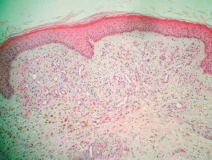
Histopatología
El estudio histopatológico evidenció un aumento en el número de capilares neoformados en la dermis superficial y media. Alrededor de esta proliferación vascular se veía un ligero infiltrado inflamatorio crónico y depósitos de hemosiderina en la dermis profunda. La epidermis suprayacente era normal (fig. 2).
Figura 2. Hematoxilina-eosina, x100.
¿Cuál es su diagnóstico?
Diagnóstico
Acroangiodermatitis (síndrome de Stewart-Bluefarb).
Evolución y tratamiento
El paciente fue remitido al Servicio de Cirugía Vascular para la corrección de la fístula arterio-venosa.
Comentario
La acroangiodermatitis, también conocida como pseudo-Kaposi, es un proceso inusual, caracterizado por máculas, pápulas o placas violáceas de crecimiento lento, localizadas generalmente en las extremidades inferiores1. Se divide en dos variantes: la acroangiodermatitis de Mali2,3, asociada a insuficiencia venosa crónica en personas de edad avanzada y que suele afectar de manera bilateral las zonas distales de las extremidades inferiores; y el síndrome de Stewart-Bluefarb4,5, secundario a la existencia de una fístula arterio-venosa que se desarrolla en personas jóvenes y suele afectar a una extremidad.
Se han descrito lesiones similares en áreas de piel distales a una fístula arterio-venosa en pacientes con insuficiencia renal crónica en hemodiálisis, en extremidades paralizadas, en la piel de un muñón de amputación6, en pacientes con síndrome de Klippel-Trenaunay7, y en otras muchas entidades8, incluso en pacientes sanos.
La histopatología del proceso es característica, con un incremento en el número de capilares, de paredes gruesas, con extravasación de hematíes y depósitos de hemosiderina afectando a la dermis papilar en el caso de la acroangiodermatitis de Mali, y a todo el espesor de la dermis en el síndrome de Stewart-Bluefarb.
Su etiología es desconocida; parece que la anoxia inducida por las alteraciones en el flujo sanguíneo produciría la proliferación de células endoteliales y fibroblastos. Sin embargo, las alteraciones del flujo sanguíneo son muy frecuentes y éste es un proceso relativamente raro, por lo que se postula que otros mecanismos, como la acción de prostaglandina E o microtraumas exógenos sobre la extremidad, puedan desempeñar un papel patogénico en la enfermedad2.
El conocimiento de esta entidad es fundamental para evitar tratamientos incorrectos. Éste se basa en la patología de base: en la insuficiencia venosa basta con medidas que aumenten el retorno venoso; en el caso de fístulas arterio-venosas puede ser necesaria la embolización o extirpación quirúrgica, aunque dichas terapias no están exentas de riesgos. En casos puntuales se puede recurrir a la laserterapia1,2.
El diagnóstico diferencial principal es con el sarcoma de Kaposi; desde el punto de vista histológico en éste último encontramos una proliferación de vasos irregulares en forma de grieta, tapizados por células endoteliales aplanadas y fusiformes, que tienden a respetar la dermis papilar. El estudio inmunohistoquímico mediante CD34 marca las células endoteliales y las células fusiformes perivasculares de forma difusa por toda la dermis a diferencia de lo que ocurre en el pseudo-Kaposi, donde el patrón de captación se limita a los vasos.
Otros diagnósticos diferenciales2 serían el angiohistiocitoma de células multinucleadas, el linfangioendotelioma, la púrpura progresiva pigmentaria, la dermatitis de estasis y las vasculitis.
Conflicto de intereses
Declaramos no tener ningún conflicto de intereses.
Correspondencia:
Benigno Monteagudo Sánchez.
C/ Rosalía de Castro, 38, 3.º B. 15706 Santiago de Compostela.
benims@hotmail.com
Aceptado el 15 de noviembre de 2006.




