Un varón de 48 años, sin antecedentes patológicos de interés, fototipo II, que consultó por presentar una lesión en la región submentoniana de 6 meses de evolución. Se acompañaba de prurito ocasional que curiosamente desaparecía tras el afeitado. En la exploración física no se observaron otras lesiones cutáneo-mucosas ni el paciente refería otra sintomatología asociada. Las lesiones persistían a pesar del tratamiento tópico con antifúngicos prescrito por su médico de atención primaria.
Exploración físicaEn la región submentoniana se observaba una placa de color marrón-violácea, bien delimitada, bordes polilobulados, sobreelevados, áreas deprimidas de aspecto atrófico, de 5×2cm de diámetro (fig. 1A). No se palpaban adenopatías locorregionales.
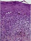
HistopatologíaEn el estudio histológico de la lesión se observó una dermatitis liquenoide de predominio linfocitario con hiperqueratosis e hipergranulosis en cuña, presencia de cuerpos de Civatte e incontinencia pigmentaria (fig. 2).
Otras pruebas complementariasEl estudio analítico y serológico fue normal y negativo, respectivamente. La dermatoscopia (fig. 1B) presentó áreas rojo-blanquecinas, distribución arciforme de estructuras pigmentadas homogéneas marrones y vasos puntiformes distribuidos de manera difusa. No se evidenciaron criterios de lesión melanocítica. La ecografía cutánea (Esaote® 18Mhz) (fig. 1C) mostró una línea hiperecoica epidérmica engrosada, una banda hipoecoica subepidérmica homogénea, y ecogenicidad y estructura normal del tejido celular subcutáneo. El eco-Doppler fue negativo.
¿Cuál es su diagnóstico?
DiagnósticoLiquen plano pigmentado anular.
Evolución y tratamientoLa lesión se mantuvo estable a pesar del tratamiento previo con corticoides tópicos de alta potencia y fotoprotección diaria. Tras 2 meses de tratamiento tópico con pomada de tacrolimus al 0,1% se observó una discreta mejoría.
ComentarioEl liquen plano pigmentoso (LPP) es una variante infrecuente de liquen plano descrita por Bhutani et al. en 19741, que aparece en pacientes de mediana edad con predominio en mujeres y en pacientes de piel oscura. Aunque la etiología es desconocida, se ha postulado como principal agente etiológico la radiación solar dada la afectación predominante de áreas fotoexpuestas2. Se ha relacionado con son el virus de la hepatitis C y la fotosensibilización a aceite de mostaza o tiocianato de alilo, presente en fragancias o cosméticos (tintes de pelo, etc.). Aparece inicialmente como unas máculas de color marrón, pequeñas y de forma ovalada, ocasionalmente pruriginosas, que evolucionan de forma insidiosa a placas marrón-grisáceo de forma difusa, reticulada, en parches o bien de distribución perifolicular. Se localiza en áreas fotoexpuestas, sobre todo en la cara y el cuello, aunque también puede afectar al tronco y los miembros superiores. De manera infrecuente puede afectar a las mucosas y las áreas intertriginosas como axilas o área inframamaria3. El estudio histológico presenta degeneración vacuolar de la membrana basal con queratinocitos apoptóticos, infiltrado liquenoide en banda linfohistiocitario e incontinencia de melanina con melanófagos en la dermis superficial3. Se han descrito casos de LPP asociado a alopecia frontal fibrosante, acroqueratosis de Bazex, infección por VHC y síndrome nefrótico. El principal diagnóstico diferencial a considerar es el eritema discrómico perstans (EDP). La presentación de las lesiones más allá de la piel fotoexpuesta, así como el depósito de melanina en dermis profunda permite diferenciar el EDP del LPP. Otras enfermedades que forman parte del diagnóstico diferencial son el eritema fijo medicamentoso, la amiloidosis macular, la urticaria pigmentosa, la dermatitis de Berloque, la melanosis de Reihĺs (dermatitis pigmentada cosmética), la pigmentación macular eruptiva idiopática y la hiperpigmentación por metales pesados. La dermatoscopia es una herramienta útil para el diagnóstico del LPP4. Se observa pigmentación en forma de puntos y glóbulos marrón-grisáceos. Vázquez et al.5 han descrito 3 tipos de patrones dermatoscópicos: punteado, difuso y mixto. Según los autores, los pacientes con mayor cantidad de gránulos pigmentados presentan un curso más prolongado comparado con el patrón difuso, como nuestro paciente. En el LPP las estrías de Wickham son infrecuentes, a diferencia del liquen plano3. La base del tratamiento consiste en la fotoprotección, asociada a tratamientos tópicos con corticoides de alta potencia. Tacrolimus al 0,1% pomada muestra mejoría clínica en la mitad de los casos6. Otras opciones terapéuticas menos documentadas con buena respuesta son el láser de neodimio, la dapsona o la acitretina. El curso es benigno, de duración y respuesta terapéutica variable.
Conflicto de interesesLos autores declaran no tener ningún conflicto de intereses.




