Introducción
La pitiriasis liquenoide (PL) es una erupción papulosa y descamativa que se localiza habitualmente en tronco y extremidades 1. Las lesiones tienen un curso intermitente y suelen dejar una hipopigmentación residual característica. El pronóstico es bueno, aunque los brotes pueden recurrir durante meses e incluso años. Presentamos el caso de un niño de 9 años con brotes recurrentes de PL localizados exclusivamente en la región inferior del abdomen.
Caso clínico
Se trata de un varón sano de 3 años, sin antecedentes personales ni familiares de interés, que fue atendido en nuestra consulta por la aparición de lesiones cutáneas en el abdomen desde hacía 3 meses. La erupción cutánea era asintomática, cursaba en brotes y dejaba una hipopigmentación lenticular residual en las zonas de regresión. El cuadro no se modificaba tras el tratamiento con corticoides tópicos de potencia moderada y alta, pero mejoraba levemente durante el verano en las zonas fotoexpuestas. En la exploración física se apreciaban pápulas descamativas eritematoparduzcas de 3 a 5 mm de diámetro en la zona abdominal inferior y ambas ingles. La descamación de las lesiones consistía en una única escama de aspecto micáceo, la cual era fácilmente desprendible con el rascado (figs. 1 y 2). El resto de la exploración clínica fue normal. En el estudio histológico se observaba una epidermis con acantosis irregular y extensas áreas de paraqueratosis confluente. En la dermis superficial existía un leve infiltrado linfocitario perivascular con afectación focal de la interfase, exocitosis y aislados queratinocitos necróticos (fig. 3). En la actualidad, el paciente tiene 9 años de edad y sigue presentando brotes recurrentes y autolimitados de lesiones cutáneas similares a las descritas que se localizan siempre en la zona abdominal inferior. Una segunda biopsia realizada en el transcurso del proceso demostró hallazgos histológicos similares a los descritos más arriba.
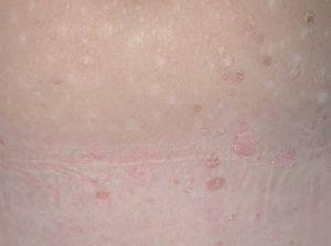
Figura 1. Lesiones eritematoparduzcas descamativas en la región abdominal inferior e ingles junto a otras leucodérmicas residuales en la zona periumbilical, las cuales coinciden con la zona corporal fotoexpuesta en el verano.
Figura 2. Detalle de la figura 1. Se aprecian lesiones con la descamación micácea típica de las fases crónicas de pitiriasis liquenoide.
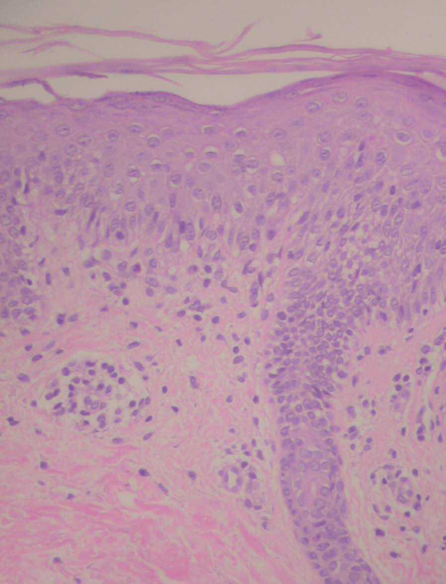
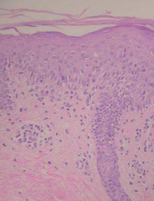
Figura 3. En el estudio histológico se aprecia una dermatitis de interfase con queratinocitos necróticos en la capa basal, exocitosis linfocitaria y un infiltrado inflamatorio leve en la dermis superficial.(Hematosilinaeosina, ×40.)
Discusión
Nuestro paciente presenta una erupción cutánea cuya morfología clínica, curso evolutivo intermitente, hipopigmentación residual y respuesta a la radiación solar son sugerentes de una forma localizada de PL. Así mismo, los estudios histológicos practicados en dos ocasiones han mostrado hallazgos microscópicos que coinciden con los de la fase crónica de la PL.
La PL es una erupción papulodescamativa de etiología desconocida más frecuente en la edad pediátrica. Las lesiones iniciales son pápulas o papulovesículas que evolucionan a lesiones ulcerocostrosas, descamativas y, finalmente, discrómicas. Si la inflamación es muy intensa puede aparecer una secuela cicatricial varioliforme. Con frecuencia se aprecia una única escama micácea fácilmente desprendible con el rascado, y es característica la hipopigmentación residual que dejan algunas lesiones al regresar. Las lesiones cutáneas pueden limitarse al tronco (distribución central), afectar sólo las extremidades (distribución periférica), o localizarse difusamente en el tronco y las extremidades (formas mixtas o intermedias) 1. Histológicamente, la PL muestra una dermatitis de interfase con necrosis de queratinocitos, exocitosis linfocitaria y extravasación dérmica de hematíes. En las fases agudas, el infiltrado inflamatorio es muy denso y puede adoptar una morfología característica en «V», mientras que en las lesiones crónicas, los hallazgos histológicos típicos de la PL son mucho menos llamativos, con un infiltrado linfocitario perivascular mucho menos intenso y leves alteraciones de la interfase dermoepidérmica 2. El proceso es crónico y recurrente, por lo que pueden superponerse lesiones en diferente fase evolutiva; la duración es variable, y aunque en algunos casos dura 6-8 semanas, la mayoría de las veces se prolonga durante meses e incluso años 1.
Las formas localizadas de PL son excepcionales. Se han descrito pacientes aislados con lesiones exclusivamente acrales 3,4, y sólo hemos encontrado un caso publicado de PL focal en el tronco 5. Las lesiones acrales se localizaban en la zona distal de extremidades superiores 3 o inferiores 4, mientras que, en el caso troncular, se afectaba segmentariamente el hemitórax izquierdo 5. Tanto el aspecto clínico como el estudio histológico, el curso intermitente de las lesiones y la buena respuesta a la PUVA-terapia 3 o la exposición solar 5 apoyaron el diagnóstico de una forma localizada de PL. Hasta el momento no existe ninguna teoría etiopatogénica que justifique la focalidad del proceso, así como tampoco se conoce el motivo por el que otros procesos inflamatorios como la psoriasis, el liquen plano, la papulosis linfomatoide o la sífilis secundaria, pueden presentar afectación exclusivamente locorregional 3,6-8. El diagnóstico diferencial de la PL localizada con las enfermedades anteriores se basa en criterios clínicos e histológicos, que suelen ser distintivos.
Desconocemos el mecanismo fisiopatológico por el que las lesiones afectan un área tan limitada del cuerpo en nuestro paciente, en el que todos los datos clínicos e histológicos son compatibles con los de una PL localizada. Si bien a lo largo de 6 años el paciente no ha desarrollado lesiones fuera de esa zona, continúa en seguimiento porque no se puede descartar una generalización ulterior del proceso o incluso una asociación futura con otro tipo de enfermedad linfoproliferativa.
Conflicto de intereses. Declaramos no tener ningún conflicto de intereses
Correspondencia:
Ángela Hernández Martín.
Servicio de Dermatología. Hospital del Niño Jesús.
Avda. Menéndez Pelayo, 65. 28009 Madrid.
Aceptado el 27 de junio de 2006.





