INTRODUCCION
El pilomatricoma es un frecuente tumor cutáneo benigno que aparece preferentemente en la edad infantil y juvenil. Se origina en las células matriciales del fo-lículo piloso y clínicamente se presenta como un nódulo duro y solitario. Habitualmente está cubierto por piel normal, pero de forma excepcional ésta puede estar adelgazada, plegada y con coloración rosada. En el estudio histopatológico estos cambios se corresponden con una dermis reticular adelgazada con edema, aumento en el número y dilatación de los vasos, alteración de las fibras colágenas y disminución o ausencia completa de las elásticas. Esto es lo que se conoce como forma anetodérmica de pilomatricoma. Aportamos un nuevo caso de esta rara variante y revisamos la literatura.
DESCRIPCIÓN DEL CASO
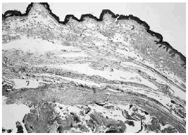
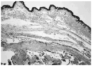
Paciente varón de 22 años, sin antecedentes personales o familiares de interés, que consultó por la presencia de una tumoración, de 9 meses de evolución, en región escapular derecha. En la exploración se observó una lesión excrecente de 3 cm (fig. 1A), para la que, tras el diagnóstico clínico de quiste epidermoide, se propuso la extirpación quirúrgica. El paciente no acudió el día previsto para su intervención y reapareció en la consulta 5 meses más tarde debido al rápido crecimiento de la lesión y a los importantes cambios de la piel que la recubría. En ese momento presentaba una lesión tuberosa de 7 x 5 cm recubierta por una piel atrófica, plegada y de aspecto queloideo (fig. 1B). A la palpación se apreciaba la existencia en profundidad de un nódulo de consistencia dura y de aproximadamente 4 x 3 cm que tras su exéresis demostró histopatológicamente tratarse de un tumor localizado en dermis profunda y tejido subcutáneo, constituido por una serie de lóbulos irregulares agrupados en un gran nódulo rodea-do por una gruesa pseudocápsula; estaba compuesto por dos tipos celulares: células basalioides y gran cantidad de células sombra. En la dermis que recubría el tumor destacaba un edema intenso, con un aumento importante del número de vasos y una vasodilatación muy marcada (fig. 2). Las fibras colágenas se encontraban disminuidas y fragmentadas (fig. 2) y las elásticas estaban prácticamente ausentes como pudo comprobarse con la tinción de orceína.
Fig. 1.--A: lesión tumoral en región escapular derecha. B: la misma lesión 5 meses más tarde.
Fig. 2.--Dermis laxa, edematosa, con dilataciones linfáticas sobre una gruesa pseudocápsula que envuelve los cúmulos de células sombra de un profundo pilomatricoma.
DISCUSI N
El primer caso de pilomatricoma con cambios anetodérmicos fue descrito por Cordiviola y Quevedo en 19431. Desde entonces se han publicado 29 casos2, 13 que se han resumido en latabla 1. Todos ellos muestran características clínicas e histológicas semejantes. Desde el punto de vista clínico los pacientes presentan a nivel de la neoplasia una piel eritematosa, atrófica, plegada, con pequeñas telangiectasias, siendo descrita por algunos autores6 como de aspecto «pseudoampolloso», cubriendo un pilomatricoma típico que frecuentemente se hernia sobre el plano de la piel circundante. En los casos anetodérmicos publicados la mayoría de los pacientes tienen entre 10 y 30 años. La incidencia del pilomatricoma es ligeramente superior en mujeres, hecho aún más marcado en los casos anetodérmicos con 22 casos en mujeres frente a 7 en varones. Se ha descrito su posible aparición en relación con traumatismos previos en la zona afectada14.
Los cambios anetodérmicos histológicos corresponden a una dermis reticular adelgazada en la que con frecuencia existen edema y áreas de aspecto mixoide, así como un aumento de la vascularización y vasodilatación. También se encuentra rarefacción y fragmentación de las fibras colágenas separadas por el edema dérmico. Las fibras elásticas están disminuidas en número, e incluso ausentes, siendo estos cambios más intensos en la proximidad del tumor5. Bajo esta piel anetodérmica se encuentra el pilomatricoma, tumor situado en dermis profunda y extendiéndose con frecuencia a grasa subcutánea, aunque siempre está bien delimitado y envuelto en un estroma en el que se observan fenómenos de reacción a cuerpo extraño.
Son diversas las hipótesis que se barajan en cuanto al mecanismo etiopatogénico por el que se producen los cambios anetodérmicos en el pilomatricoma. Moulin et al5 sostienen que el infiltrado inflamatorio peritumoral cuando es importante y duradero sería el fenómeno patológico inicial que produciría la anetodermia. Piguet y Bolgart4 plantean un probable origen en la inflamación traumática ocasionada por la irritación mecánica de la piel suprayacente al pilomatricoma. Por otra parte, el hecho de que se hayan observado cambios anetodérmicos alejados del borde del tumor permitió suponer a algunos autores que existirían enzimas catabólicas no identificadas liberadas por las células tumorales y/o por las células inflamatorias, que actuarían sobre el colágeno y las fibras elásticas destruyéndolas8. En algunos casos se ha observado una gran dilatación linfática en la dermis reticular que rodea al tumor, lo que ha sugerido que la causante de la anetodermia podría ser la presión ejercida por el líquido linfático. Otros autores sostienen que el pilomatricoma perforante, en el que existe una eliminación transepidérmica de calcio y queratina de origen pilar, está relacionado con estos cambios anetodérmicos15,16. Según ellos el tumor se localiza en la dermis, produciendo un adelgazamiento del tejido conjuntivo periférico, por lo que la anetodermia podría ser un paso previo de esta rara variante de pilomatricoma8.
Nuestro paciente cumple con algunos de los datos epidemiológicos y clínicos del pilomatricoma, tiene 22 años y se localiza en la parte alta del tronco, aunque es un varón y no existen antecedentes de traumatismo. Por otro lado hay que destacar el gran tamaño de la piel anetodérmica que recubría el tumor y la observación de su rápido crecimiento en los 5 meses que separaron las dos visitas en nuestra consulta.
Como hemos comentado anteriormente, los cambios anetodérmicos del pilomatricoma son infrecuentes, y en la revisión bibliográfica practicada todavía son más escasas las referencias a su presencia en otros tumores cutáneos. Es por ello que creemos que la presencia de anetodermia sobre un tumor esférico, firme y subyacente debe orientar al diagnóstico clínico del pilomatricoma.





