INTRODUCCION
El pénfigo IgA es una dermatosis ampollosa crónica caracterizada por la presencia de lesiones vesiculopustulosas y depósitos intercelulares de IgA en la epidermis. Se han descrito dos subtipos de pénfigo IgA: el subtipo dermatosis pustulosa subcórnea, que se manifiesta con lesiones vesiculopustulosas, erosiones y costras sobre piel eritematosa, y que histológicamente presenta pústulas subcórneas y depósitos de IgA en capas superiores de la epidermis; y el subtipo dermatosis IgA neutrofílica intraepidérmica que se caracteriza por lesiones eritematosas y exudativas con pústulas en periferia (imagen «en girasol»), y que presenta pústulas en todo el espesor de la epidermis, junto con depósitos de IgA en la misma localización1,2.
Se presentan dos casos de pénfigo IgA tipo «dermatosis pustulosa subcórnea», y se realiza una revisión de la literatura médica.
DESCRIPCION DE LOS CASOS
Caso 1
Un varón de 59 años de edad, con antecedentes personales de hipertensión arterial, en tratamiento con enalapril y amlodipino desde hacía 2 años, hiperglucemia e hipercolesterolemia controlada dietéticamente, fue remitido a la consulta de dermatología por presentar un cuadro de 9 meses de evolución consistente en lesiones ampollosas que se rompían con facilidad, dejando una erosión superficial, localizadas en axilas y cara interior de brazos, y que mejoraban con la aplicación de corticoides tópicos.
En la exploración física, el paciente presentaba lesiones ampollosas flácidas sobre base eritematosa, con contenido pustuloso y erosiones exudativo-costrosas, localizadas en axilas, cara interior de brazos, región centrotorácica y pliegues inguinales (figs. 1 y 2). El signo de Nikolsky era negativo, no presentaba lesiones en mucosas y el paciente no aquejaba ninguna sintomatología.
Fig. 1.--Lesiones vesiculopustulosas y eritematosas en zona axilar.
Fig. 2.--Detalle de las lesiones.
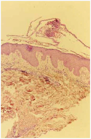
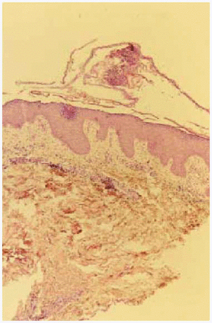
Se realizó biopsia de una de las lesiones, que mostró la existencia de una ligera acantosis de la epidermis y la presencia de pústulas subcórneas, junto con un moderado infiltrado inflamatorio de tipo mixto en la dermis superior (fig. 3). En la inmunofluorescencia directa se observaba depósito de IgA y C3 entre las células epidémicas subcórneas (fig. 4). La inmunofluorescencia indirecta fue negativa.
Fig. 3.--Ligera acantosis de la epidermis, con pústula subcórnea e infiltrado inflamatorio mixto en dermis superficial.
Fig. 4.--Depósito de IgA y C3 a nivel de los queratinocitos de capas superficiales.
Se llevaron a cabo los siguientes estudios complementarios: hemograma sin alteraciones; bioquímica con glucemia, 211 mg/dl; colesterol total, 176 mg/dl; y triglicéridos, 237 mg/dl, la serología de hepatitis fue negativa, y no se observó pico monoclonal de IgA.
Con el juicio clínico de pénfigo IgA, se instauró tratamiento con sulfona (150 mg/día) y se sustituyó el tratamiento antihipertensivo, con lo cual mejoraron las lesiones. Al año del tratamiento, el paciente presentó otro brote de lesiones similares al inicial, por lo que se añadió 50 mg/día de acitretín (0,5 mg/kg/día), con mejoría progresiva del cuadro clínico. Actualmente se encuentra un tratamiento con gemfibrozilo y gliacida y se ha iniciado descenso de la dosis de acitretín y sulfona ante la ausencia total de lesiones.
Caso 2
Una mujer de 56 años de edad sin antecedentes personales de interés, acudió a nuestras consultas por presentar desde hacía varios meses brotes de lesiones pruriginosas vesiculopustulosas en axilas, ingles y abdomen. En la exploración física la paciente presentaba lesiones pustulosas sobre base eritematosa que confluían en pequeñas placas exudativas y costrosas localizadas en axilas y cara interna de muslos (fig. 5); en el abdomen presentaba también lesiones pustulosas aisladas. El signo de Nikolsky era negativo y no tenía lesiones en mucosa.
Fig. 5.--Lesiones vesiculopustulosas en cara interna de muslos.
Se realizó una biopsia cutánea, que mostró pústulas subcórneas epidérmicas, junto con un infiltrado perivascular linfocitario en dermis superficial y la presencia de una foliculitis profunda (fig. 6). En la inmunofluorescencia directa se apreciaba un depósito de IgA intercelular a nivel subcórneo (fig. 7). La inmunofluorescencia indirecta fue negativa. En las determinaciones analíticas de sangre y orina realizadas no existía alteración de ningún parámetro, incluyendo los valores de IgA. Se inició tratamiento con dapsona (100 mg/día) con mejora de las lesiones.
Fig. 6.--Pústula subcórnea, junto con infiltrado en dermis superficial.
Fig 7.--Depósito de IgA entre los queratinocitos.
DISCUSION
El pénfigo IgA es una enfermedad ampollosa crónica, que se caracteriza por la presencia de lesiones vesiculopustulosas diseminadas, junto con depósitos de IgA en la epidermis1,2. La primera descripción fue realizada por Wallach et al3 en 1982, como dermatosis pustulosa subcórnea e IgA monoclonal, en pacientes con una sintomatología similar a la dermatosis pustulosa subcórnea de Sneddon-Wilkinson y depósitos de IgA en la epidermis. Desde entonces, el pénfigo IgA ha recibido numerosas denominaciones como dermatosis intraepidérmica neutrofílica IgA, dermatosis intercelular IgA, pénfigo foliáceo IgA, pénfigo herpetiforme IgA, pustulosis intraepidérmica IgA y dermatosis intercelular IgA vesiculopustular1,2,4-6. Se han publicado más de 60 casos desde 1982 hasta 20021. Se suele presentar en adultos y ancianos1,2, aunque se han descrito casos en la infancia7,8, y se observa un ligero predominio de mujeres.
Se distinguen dos tipos principales de pénfigo IgA basados en los distintos patrones histológicos y de depósito de IgA en la epidermis1,2,9: el tipo dermatosis pustulosa subcórnea y el tipo dermatosis IgA neutrofílica intraepidérmica; algunos autores han identificado un tercer subtipo que han denominado pénfigo foliáceo IgA10-12, que se asemeja clínica e histológicamente al pénfigo foliáceo, pero con anticuerpos contra la desmogleína 1 del tipo IgA. Los pacientes del tipo dermatosis pustulosa subcórnea presentan vesículas flácidas y pústulas, junto con lesiones erosivocostrosas sobre una piel eritematosa, mientras que el tipo dermatosis IgA neutrofílica intraepidérmica se caracteriza por la presencia de lesiones anulares con centro eritematoso y exudativo y borde pustuloso, que ofrecen una imagen «en girasol». Las lesiones se distribuyen de forma diseminada con preferencia por los grandes pliegues (axilas e ingles). No suele haber compromiso mucoso y el prurito es bastante intenso1,2.
La histología y la inmunofluorescencia directa de los dos tipos de pénfigo IgA también presentan diferencias. En el subtipo dermatosis pustulosa subcórnea las pústulas y los depósitos de IgA se localizan a nivel subcórneo, mientras que el subtipo dermatosis IgA neutrofílica intraepidérmica pueden ser suprabasales o localizarse en todo el espesor de la epidermis; se pueden observar células acantolíticas aisladas, con más frecuencia en el subtipo dermatosis pustulosa subcórnea, y un infiltrado de linfocitos y neutrófilos en la dermis superficial1,2,4. En la inmunofluorescencia indirecta se detectan anticuerpos circulantes sólo en el 50 % de los pacientes y en la gran mayoría de las ocasiones a títulos muy bajos, entre 1:10 y 1:3201,2,4-6,10. El pénfigo IgA se ha relacionado con la presencia de una gammapatía IgA monoclonal, y más raramente con un mieloma múltiple IgA, por lo que hay que descartar estas asociaciones en pacientes afectados de pénfigo IgA2,13.
El suero de los pacientes con pénfigo IgA parece reaccionar con epítopos dependientes de conformación, por lo que ha sido muy difícil identificar dichos anticuerpos; a pesar de ello, recientemente se ha identificado el antígeno del tipo dermatosis pustulosa subcórnea como la desmocolina 1, una proteína de 105-115 kDa perteneciente a la familia de las cadherinas desmosómicas, y que se encuentra en las capas más superficiales de la epidermis. Las investigaciones acerca del antígeno del subtipo dermatosis IgA neutrofílica intraepidérmica todavía no han determinado con claridad la identidad de dicha proteína; en algunos casos, se ha identificado como la desmogleína 3, molécula diana del pénfigo vulgar1,2,10,11,14-16, y en otros como la desmogleína 1, molécula diana del pénfigo foliáceo2,10,11,17. Se ha conseguido inducir la formación de acantólisis con el suero de 2 pacientes con pénfigo IgA, lo que sugiere el papel etiopatogénico de los anticuerpos circulantes. También se ha intentado explicar la presencia del infiltrado tan prominente de neutrófilos, adjudicándoles un papel patogénico en la formación de la acantólisis, mediante su unión al dominio constante IgA1 y a la liberación de proteasas; se ha demostrado la ausencia de depósito de complemento en la mayoría de los casos, lo que podría indicar que la acantólisis del pénfigo IgA es independiente de la activación de la vía clásica del complemento1,2,6,18.
La dapsona es el fármaco de elección en el tratamiento del pénfigo IgA, en dosis de 100 mg/día. Cuando la dapsona no es efectiva, el segundo fármaco de elección es el acitretín, que suele administrarse a dosis de 20 a 30 mg/día en monoterapia o asociado a dapsona. También se ha comprobado la eficacia en la administración de corticoides orales en dosis de 0,5 a 1 mg/kg/día o de corticoides tópicos en algunos casos como coadyuvantes1,2. Recientemente se ha tratado con éxito el subtipo dermatosis pustulosa subcórnea con colchicina a dosis de 0,5 mg 3 veces al día1,19 o con isotretinoína a 20 mg/día20. Todos estos tratamientos parecen interferir en la actividad de los neutrófilos. Habitualmente, el pénfigo IgA sigue un curso crónico y benigno, con buena respuesta a los tratamientos, debido a los bajos títulos de anticuerpos y a la incapacidad de activar la vía clásica del complemento. Las recaídas suelen aparecer al disminuir la dosis o suspender el tratamiento1.









