INTRODUCCIÓN
Se ha discutido mucho acerca de si la frecuencia de neoplasias en pacientes afectados de las distintas modalidades de pénfigo es mayor que la de la población general o no. En la actualidad la idea más extendida es la de que sí existe una mayor frecuencia de neoplasias en pacientes con pénfigo1,2 .
El pénfigo herpetiforme es una variedad infrecuente de pénfigo caracterizada por combinar unos hallazgos clínicos peculiares y unos hallazgos histológicos e inmunopatológicos típicos de pénfigo3 . En general, es una enfermedad benigna que aparece en personas por lo demás sanas, pero se han comunicado ya varios casos de pénfigo herpetiforme en pacientes con tumores subyacentes4-8 . El propósito del presente artículo es comunicar un nuevo caso de pénfigo herpetiforme, en esta ocasión asociado a carcinoma epidermoide de esófago, y revisar brevemente la literatura médica al respecto.
DESCRIPCIÓN DEL CASO
Una mujer de 63 años, sin antecedentes personales de interés, comenzó en junio de 2002 a presentar astenia, anorexia, pérdida de peso y febrícula vespertina. Al mismo tiempo, comenzaron a aparecer múltiples pápulas, vesículas y pústulas en tronco y raíz de miembros, agrupadas en racimos y formando anillos con crecimiento periférico y tendencia a la curación central (fig. 1). Las lesiones eran intensamente pruriginosas y el signo de Nikolsky, negativo.
El estudio de la sintomatología general llevó al diagnóstico de carcinoma epidermoide de esófago diseminado, con metástasis ganglionares, peritoneales y óseas.
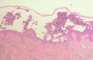
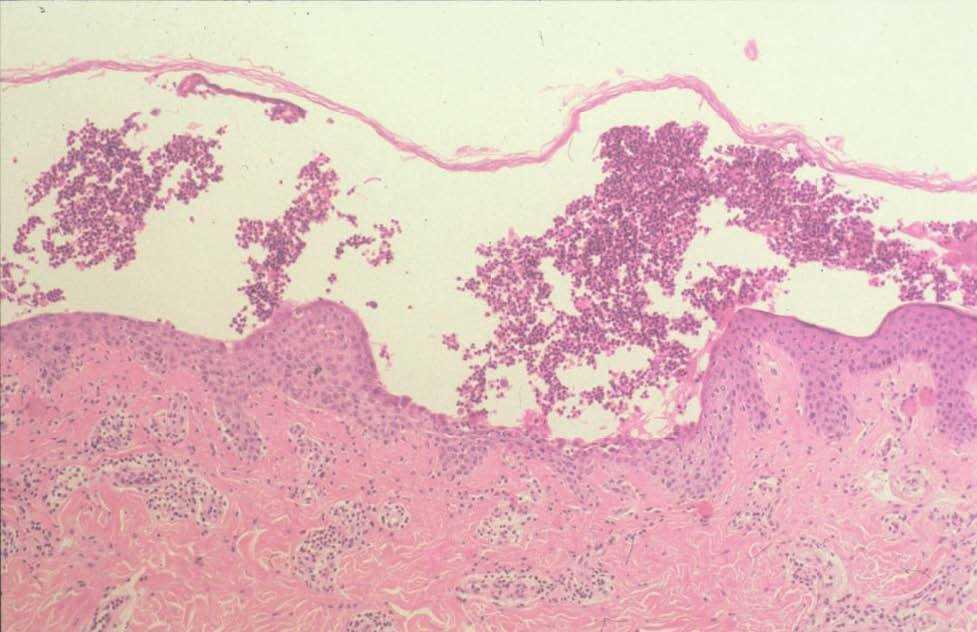
El estudio histológico de las lesiones cutáneas mostró una pústula subcórnea con abundantes neutrófilos en su interior y algunos queratinocitos acantolíticos en el suelo de la misma (fig. 2). Mediante inmunofluorescencia directa (IFD) se demostró depósito de inmunoglobulina G (IgG) en la superficie de los queratinocitos. La inmunofluorescencia indirecta (IFI) fue negativa.
Con los hallazgos clínicos, histológicos y de inmunofluorescencia compatibles con un pénfigo herpetiforme, se inició tratamiento con sulfona, sin observarse mejoría. En noviembre de 2002 la paciente comenzó a recibir tratamiento quimioterápico con 5-fluoroura-cilo y mitomicina y notó una gran mejoría subjetiva del prurito y de sus lesiones cutáneas; por este motivo y ante la ausencia de respuesta al tratamiento con sulfona, se decidió suspenderlo. En este momento, la IFI era positiva, con depósitos de IgG con patrón antisustancia intercelular queratinocítica en esófago de mono a título 1/160, y fue negativa en vejiga de rata.
Fig. 1.—Vesículas, pústulas y costras agrupadas, formando placas anulares con curación central en la espalda.
Fig. 2.—Pústula intraepidérmica que contiene numerosos eosinófilos y algunas células acantolíticas. (Hematoxilina-eosina, ×20.)
En diciembre de 2002, justo antes de su segundo ciclo de quimioterapia, la paciente sufrió un intenso rebrote de sus lesiones, que mantenían las mismas vesículas pustulosas características, pero que eran de mayor tamaño y mucho más extensas, dejando amplias áreas erosivas en el tronco tras romperse (fig. 3). El signo de Nikolsky se hizo positivo. Un nuevo control serológico mediante IFI objetivó anticuerpos IgG antisustancia intercelular queratinocítica en esófago de mono a título 1/320. Se administró prednisona en dosis elevadas (hasta 3 mg/kg/día) para controlar este nuevo brote, descendiéndose posteriormente de forma lenta sin aparición de nuevas lesiones. En ningún momento hubo respuesta de la neoplasia al tratamiento quimioterápico, y la paciente falleció a los 5 meses del diagnóstico.
Fig. 3.—Grandes ampollas y erosiones en la espalda. Se aprecian pápulas, vesículas y pústulas en la periferia.
DISCUSIÓN
Floden y Gentale9 realizaron la primera descripción de un pénfigo herpetiforme bajo la denominación de «dermatitis herpetiforme con acantolisis», pero el término «pénfigo herpetiforme» lo utilizaron por primera vez en 1975 Jablonska et al10 . Desde el punto de vista clínico se presenta como lesiones papulosas, vesículas ampollosas o pustulosas agrupadas de forma herpetiforme e intensamente pruriginosas, localizadas en tronco y sin afectación de mucosas en la mayor parte de los casos. En la biopsia cutánea puede encontrarse espongiosis eosinofílica con o sin células acantolíticas, pústulas intraepidérmicas con neutrófilos y eosinófilos y un infiltrado inflamatorio dérmico variable, con neutrófilos, eosinófilos o ambos. El estudio mediante IFD muestra depósitos de IgG en la superficie de los queratinocitos. En la mayor parte de los casos, mediante IFI se detectan autoanticuerpos IgG contra la superficie de los queratinocitos. El antígeno diana encontrado con más frecuencia es la desmogleína 13,11 , aunque también es posible encontrar anticuerpos contra la desmogleína 311 y hay un caso descrito con IgA e IgG contra la desmogleína 1 e IgG contra desmocolina 312 . Estos hallazgos sugieren que el pénfigo herpetiforme está estrechamente relacionado con las variedades más clásicas de pénfigo, fundamentalmente el foliáceo pero también el vulgar. Se ha postulado que los epítopos diana de los anticuerpos del tipo herpetiforme y de los tipos foliáceo y vulgar estarían en zonas distintas de la desmogleína correspondiente (la 1 en el foliáceo y la 3 en el vulgar, potencialmente las dos en el herpetiforme) y que posiblemente el epítopo en el pénfigo herpetiforme sea menos importante en la adhesión celular, no así en la inducción de respuesta inflamatoria y activación de citocinas, que los otros11 . En ocasiones, los pacientes con pénfigo herpetiforme terminan desarrollando lesiones clínica e histológicamente superponibles al pénfigo foliáceo y, con menos frecuencia al vulgar, lo cual ha llevado a algunos autores a sugerir que el primero podría ser una forma clínica infrecuente de los otros procesos11,13 .
Tras revisar la literatura médica hemos podido encontrar varios casos de pénfigo herpetiforme asociados a neoplasias, fundamentalmente pulmonares4-8 . También hemos comprobado la infrecuencia de tumores esofágicos asociados a pénfigos, ya que sólo tenemos constancia de un caso hasta la fecha14 . El pénfigo paraneoplásico es el prototipo de enfermedad ampollosa asociada a neoplasias; se trata de un proceso infrecuente y grave, con frecuencia mortal, que se diagnostica cuando se cumplen unos criterios diagnósticos enunciados por Anhalt et al15 en 1990. Desde la descripción original del pénfigo paraneoplásico se ha propuesto modificar el nombre de esta enfermedad, al menos en dos ocasiones, como «pénfigo inducido por neoplasia»16 y «síndrome paraneoplásico multiorgánico autoinmune»17 , poniendo énfasis en la variabilidad de la sintomatología cutánea, en la posible afectación sistémica de la enfermedad con daño del tracto respiratorio superior e inferior y en el hallazgo de depósitos inmunes en muchos otros órganos, aunque hasta la fecha no se hayan comunicado manifestaciones clínicas relacionadas con éstos. Nuestra paciente ilustra la existencia de otras variedades de pénfigo y casos concretos de enfermedades ampollosas difícilmente clasificables que, sin corresponderse con la entidad recogida bajo el término pénfigo paraneoplásico, tienen un comportamiento paraneoplásico al seguir una evolución más o menos paralela a una neoplasia subyacente, ser la primera manifestación que motiva el estudio de un paciente o que alerta ante una posible recidiva tumoral.
Correspondencia:
Dulce Arranz. Servicio de Dermatología. Hospital La Paz. P.º de la Castellana, 261. 28046 Madrid. España. darranzsanchez@hotmail.com
Recibido el 23 de agosto de 2004. Aceptado el 28 de diciembre de 2004.





