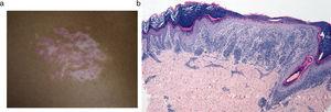
Un varón de 24 años con antecedentes personales de vitíligo localizado en manos, tobillos y genitales, tratado con corticoide y tacrolimus tópicos sin mejoría. El paciente consultó por la aparición reciente de una lesión cutánea pruriginosa en la rodilla derecha. No refería la aplicación de productos tópicos, traumatismos, picaduras, fotoexposición ni la toma de medicamentos orales. A la exploración se observaban pápulas eritematovioláceas brillantes, induradas, confluentes, irregulares con una disposición reticulada, sobre una base maculosa acrómica de color blanquecino (fig. 1a). Se realizó una biopsia cutánea con hallazgos de dermatitis liquenoide con infiltrado linfocitario perivascular y en banda, con afectación del infundíbulo piloso, y ausencia significativa de melanocitos en la capa basal con tinción para MelanA en la inmunohistoquímica (fig. 1b). Se confirmó el diagnóstico de liquen plano sobre vitíligo y se pautó tratamiento con corticoides tópicos sin mejoría clínica.
La aparición de 2 dermatosis diferentes en la misma localización anatómica es un evento excepcional. Cuando la primera dermatosis continúa activa en el momento de la aparición de la segunda enfermedad cutánea se considera un fenómeno de co-respuesta isotópica ocasionado por la alteración de la respuesta inflamatoria. Existen casos descritos de desarrollo de liquen plano y liquen nitidus sobre áreas cutáneas afectadas previamente por vitíligo.



