HISTORIA CLINICA
Mujer brasileña de 46 años de edad que consultó por la aparición progresiva desde hacía 6 meses de lesiones verrugosas, aplanadas, múltiples, del color de la piel normal y asintomáticas en el dorso de las manos y en la cara anterior de las muñecas.
Como antecedentes personales de interés cabe señalar que era epiléptica desde los 16 años y estaba en tratamiento con fenitoína y fenobarbital.
EXPLORACION FISICA
Se observaron numerosas pápulas verrugosas aplanadas del color de la piel normal en el dorso de las manos (fig. 1) y en la cara anterior de las muñecas (fig. 2). Algunas confluían dando un aspecto engrosado y tosco de la piel. No presentaba afectación ungueal ni lesiones en otras localizaciones. No refería sintomatología sistémica.
Fig. 1.--Pápulas hiperqueratósicas del color de la piel normal en el dorso de las manos.
Fig. 2.--Pápulas verrugosas en la cara anterior de las muñecas.
EXPLORACIONES COMPLEMENTARIAS
Se realizó hemograma y bioquímica general que fueron normales, salvo un discreto aumento de la gammaglutamil transpeptidasa (GGT) (56 U/l) y una disminución de las concentraciones de ferritina (4 ng/ml). Las serologías frente a lúes y virus de la hepatitis B y C (VHB, VHC) fueron negativas. La detección de autoanticuerpos antinucleares (ANA) y frente a proteínas extraídas del núcleo (ENA) fue negativa y las hormonas tiroideas se encontraron dentro de los parámetros normales. Se realizó biopsia «en sacabocados» (fig. 3).
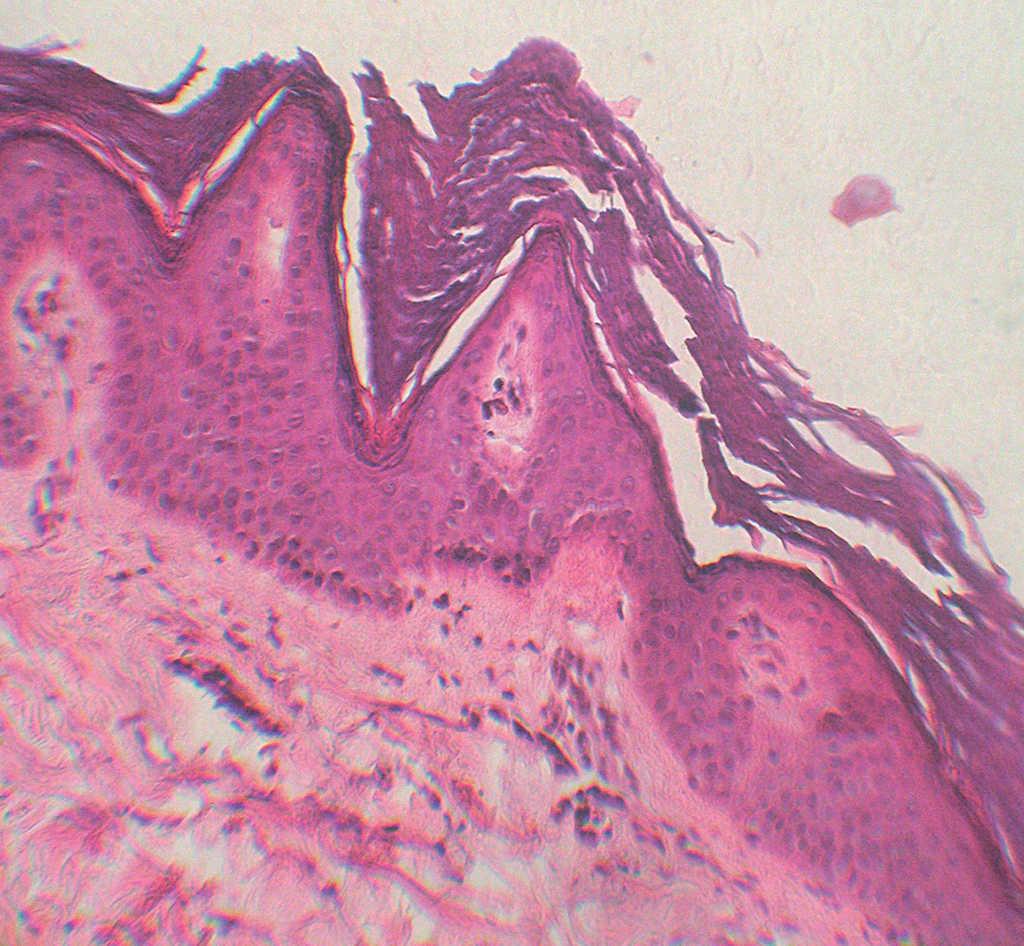
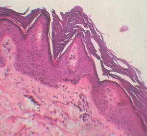
Fig. 3.--Proyecciones epidérmicas «en chapitel de iglesia» con hiperqueratosis ortoqueratósica compacta y acantosis. (Hematoxilina-eosina, x40.)
DIAGNOSTICO
Acroqueratosis verruciforme de Hopf.
HISTOPATOLOGIA
En el estudio histológico se observó hiperqueratosis ortoqueratósica compacta y elevaciones circunscritas epidérmicas en forma de «chapitel de iglesia». Destacaba una acantosis regular con hipergranulosis y no había signos de disqueratosis ni acantolisis.
EVOLUCION Y TRATAMIENTO
Nuestra paciente presentó una mejoría espontánea a los 2 meses de seguimiento sin ningún tipo de tratamiento, instaurándose posteriormente tratamiento con acitretino en dosis de 25 mg/día durante 4 meses y presentando una resolución completa del cuadro, por lo que se suspendió el acitretino. En los meses posteriores de seguimiento ha permanecido libre de lesiones.
COMENTARIO
La acroqueratosis verruciforme, descrita por Hopf en 1931, es una entidad poco frecuente consistente en una alteración de la queratinización localizada en las zonas distales de las extremidades1. A pesar de estar considerada como una genodermatosis de herencia autosómica dominante hay descritos en la literatura médica 5 casos esporádicos y parece existir un predominio masculino 2.
Clínicamente se caracteriza por la presencia de numerosas pápulas hiperqueratósicas, aplanadas, del color de la piel normal o marronáceas, a veces difíciles de distinguir de las verrugas planas, localizadas predominantemente en el dorso de las manos y de los pies y más raramente en las superficies extensoras de los brazos y las piernas. Puede asociar queratosis palmoplantar punteada y distintos grados de afectación ungueal similares a los de la enfermedad de Darier. También se han descrito asociaciones inusuales con la enfermedad de Haley-Haley 3, esteatocistomas múltiples 4, liquen plano hipertrófico e incluso casos de malignización a un carcinoma espinocelular 5.
El diagnóstico se basa en los hallazgos clínicos e histológicos. En la biopsia se encuentran característicamente elevaciones circunscritas de la epidermis que se ha venido a denominar por su similitud morfológica «en chapitel de iglesia». También hallamos, aunque de forma menos característica, hiperqueratosis ortoqueratósica, hipergranulosis y acantosis con papilomatosis. No hay signos de disqueratosis ni de acantolisis.
Aunque inicialmente se ha considerado la acroqueratosis verruciforme y a la enfermedad de Darier como entidades distintas, varios autores las consideran entidades relacionadas por el hecho de que pacientes con enfermedad de Darier con frecuencia muestran lesiones indistinguibles de la acroqueratosis verruciforme desde el punto de vista clínico e histopatológico. De hecho, el 50 % de pacientes con enfermedad de Darier muestran pápulas acrales verrugosas. Además, ambas enfermedades se han visto en distintos miembros de la misma familia y, más aún, pacientes con cambios histológicos de acroqueratosis verruciforme pueden desarrollar tardíamente características histológicas típicas de enfermedad de Darier. Sin embargo, existen también familias en las que los miembros muestran características exclusivas de acroqueratosis verruciforme sin acantolisis ni disqueratosis propias de la enfermedad de Darier.
Se ha demostrado que la AKV se debe a mutaciones en el gen ATP2A2 responsable de codificar una ATPasa dependiente de calcio denominada SERCA2, localizada en el retículo sarcoendoplásmico. Este mismo gen también se encuentra defectuoso en la enfermedad de Darier, lo que indica que son trastornos alélicos con expresión fenotípica de distinta intensidad 6. Alternativamente podrían considerarse entidades separadas causadas por distintas mutaciones en el mismo gen. Esto ha llevado a muchos autores a postular que la acroqueratosis verruciforme y la enfermedad de Darier pudieran ser espectros continuos de la misma enfermedad. Por otra parte, se ha hallado en una familia con acroqueratosis verruciforme una mutación en el codón 602 en el que se produce un cambio de prolina por leucina (P602L), hecho que no se ha hallado en la enfermedad de Darier. El mecanismo por el cual mutaciones de ATP2A2 dan lugar a acroqueratosis verruciforme y no a la clásica enfermedad de Darier permanece desconocido 6. Es posible que esta expresión variable venga determinada por la naturaleza y localización de la que tendría diferentes efectos en la función del canal SERCA2. En al menos 100 familias con enfermedad de Darier se ha descrito un gran espectro de mutaciones en ATP2A2. Mosaicismos somáticos con mutaciones de ATP2A2 causarían la enfermedad de Darier segmentaria.
El diagnóstico diferencial habría que realizarlo desde el punto de vista clínico con las verrugas planas y la epidermodisplasia verruciforme. El examen histológico permite diferenciar fácilmente estas entidades de la acroqueratosis verruciforme por la ausencia de coilocitos y del virus del papiloma humano. Desde el punto de vista histológico habría que establecer el diagnóstico diferencial con las queratosis seborreicas hipertróficas y con la estucoqueratosis. Esta última comparte con la acroqueratosis verruciforme la hiperqueratosis ortoqueratósica, papilomatosis, acantosis e incluso las proyecciones epidérmicas «en chapitel de iglesia». Una buena historia clínica y el examen físico nos ayudarán en el diagnóstico diferencial. La estucoqueratosis se caracteriza por pequeñas placas o pápulas blanco-grisáceas que típicamente afectan las zonas distales de las extremidades de pacientes ancianos, especialmente los tobillos. Al raspar las lesiones se produce un sangrado mínimo.
El tratamiento de elección serían los retinoides orales. Con etretinato a dosis de 1 mg/kg/día se han observado respuestas variables. Nuestra paciente, por motivos personales, no tomó tratamiento durante 2 meses en los que presentó una mejoría parcial. No obstante, con posterioridad se instauró tratamiento con acitretino a dosis de 25 mg/día durante 4 meses con resolución completa del cuadro.
FE DE ERRORES
En la tabla 5 del artículo titulado «Leishmaniasis cutánea» publicado en Actas Dermosifiliogr. 2005;96:1-24, en las dos últimas líneas aparece el término Suprapylaria cuando en realidad debería decir Sergentomya, ya que Suprapylaria hace referencia a Leishmania, en relación con el desarrollo del parásito en el tubo digestivo del vector, como se explica en el trabajo.





