HISTORIA CLINICA
Una mujer de 38 años de edad, con antecedentes personales de eczema dishidrótico palmar diagnosticado mediante biopsia y reflujo gastroesofágico tratado con omeprazol oral, consultó por la aparición progresiva de lesiones axilares pruriginosas desde hacía 2 años.
No lo relacionaba con ningún agente causal ni existían antecedentes de procesos similares en la familia. No ha realizado ningún tratamiento.
EXPLORACION FISICA
Se observan múltiples pápulas de 2-3 mm de diámetro, de color piel normal o eritemato-parduzcas, brillantes, localizadas en ambas axilas de forma simétrica (fig. 1). El resto de la exploración física fue normal, incluyendo palmas, plantas, uñas y mucosas.
Fig. 1.--Pápulas milimétricas monomorfas de color piel en las axilas.
EXPLORACIONES COMPLEMENTARIAS
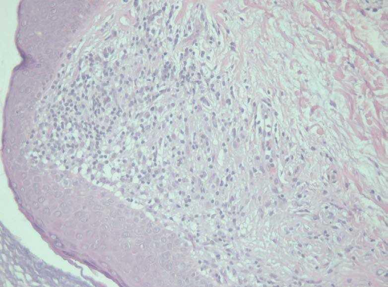
Tanto el estudio hematológico como bioquímico fueron estrictamente normales. Se practicó biopsia cutánea (fig. 2).
Fig. 2.--Denso infiltrado linfohistiocitario bien delimitado por crestas interpapilares acantósicas y paraqueratosis suprayacente. (Hematoxilina-eosina, x100.)
DIAGNOSTICO
Liquen nitidus.
HISTOPATOLOGIA
Se realizó biopsia mediante punch de una pápula axilar. Los cortes fueron teñidos con hematoxilina-eosina. Los cortes estudiados revelaron la existencia de un infiltrado linfohistiocitario subepidérmico denso, bien circunscrito a la papila dérmica adyacente. Se observaban crestas interpapilares acantósicas «en garfio», abarcando el infiltrado. La epidermis suprayacente mostraba adelgazamiento y paraqueratosis y en la capa basal presentaba de forma ocasional cuerpos de Civatte.
COMENTARIO
El liquen nitidus es una dermatosis liquenoide micropapular crónica descrita por primera vez por Pinkus en 1901. Epidemiológicamente se considera una enfermedad infrecuente, con una incidencia de 0,034 %. Su presentación asociada al liquen plano es la más frecuente 1.
Es una afección típica de adultos jóvenes y niños, sin predilección por uno u otro sexo o raza. Las formas clínicas generalizadas parecen mostrar sin embargo un cierto predominio femenino 2. Su etiología es desconocida, pero ha sido objeto de múltiples especulaciones. Existen teorías que la consideran un tipo de tubercúlide 3 sin embargo no se ha podido demostrar la presencia de ningún germen que actúe como agente causal. Otras teorías postulan que es una variante de liquen plano, basándose en el hecho de que ambas enfermedades a veces coexisten y pueden presentar una distribución similar, así como en el carácter indistinguible, clínica e histopatológicamente, de las lesiones tempranas del liquen plano con el liquen nitidus1. Otros autores defienden la separación en dos entidades independientes basándose en sus diferencias histológicas e inmunofenotípicas 3.
Existen numerosas variantes clínicas: familiar, actínico, confluente, vesicular, hemorrágico, palmar y plantar, mucoso, espinoso folicular, perforante, linear y generalizado 4,5. El cuadro típico se presenta con mayor frecuencia en glande y cuerpo del pene, superficies de flexión de antebrazos, cuello y ocasionalmente pecho y espalda, presentando a menudo el fenómeno isomórfico de Koebner. Las lesiones características son pápulas monomorfas, poligonales, de aspecto brillante y en ocasiones, con una umbilicación central. Son de color piel normal, eritematosas o hipopigmentadas, especialmente en pacientes con piel oscura. Raramente se afecta la mucosa oral, con pápulas diminutas de color gris blanquecino que no forman las imágenes reticuladas típicas del liquen plano. En palmas y plantas el aspecto clínico puede ser el de un eczema crónico con fisuras o pápulas purpúricas simulando un ponfólix. Puede existir afectación ungueal con engrosamiento de la lámina, piquetado o surcos en la lámina ungueal y onicorrexis 6. Las lesiones suelen ser asintomáticas, aunque algunas veces puede existir prurito. La asociación con otras enfermedades sistémicas es rara, pero se ha descrito junto con enfermedad de Crohn, trisomía 21 y megacolon congénito 7,8.
El diagnóstico suele basarse en hallazgos clínicos, no existiendo datos de laboratorio anormales asociados. El aspecto microscópico característico del liquen nitidus es el de un nido de células hemisférico netamente circunscrito en contacto íntimo con una epidermis delgada y escamosa. Existen infiltrados linfohistiocitarios en dermis papilar que se hallan limitados al espesor de dos o tres papilas dérmicas en la mayoría de los casos, pueden presentar células plasmáticas y no tienen relación constante con ninguna estructura anexial. Se observa desintegración por licuefacción de la capa basal y las crestas interpapilares están elongadas en la periferia, extendiéndose alrededor de la lesión en forma de garra. Una zona central de paraqueratosis es un hallazgo diagnóstico importante. Los estudios con inmunofluorescencia directa de las pápulas de liquen nitidus demuestran la ausencia de inmunoglobulinas en la interfase dermoepidérmica, mientras que estudios similares son positivos en más del 95 % de las lesiones de liquen plano.
El diagnóstico diferencial debe hacerse principalmente con la enfermedad de Fox-Fordyce (miliaria apocrina), molusco contagioso, liquen plano, verrugas planas, queratosis folicular, lesiones sifilíticas liquenoides, sarcoidosis y liquen amiloide 4.
Su evolución es crónica y recidivante, habiéndose descrito tanto casos de remisión espontánea como de actividad indefinida. Numerosos tratamientos han demostrado su utilidad en esta entidad: corticoides potentes tópicos para las formas localizadas; antihistamínicos de tipo anti-H1, ácido N-antranílico, acitretina (eficaz en las formas palmoplantares), isoniazida, fototerapia (UVA/UVB) junto con corticoterapia sistémica o fotoquimioterapia (PUVA) en las formas generalizadas 9,10.
Correspondencia:
Marina Rodríguez-Martín. Servicio de Dermatología.
Hospital Universitario de Canarias. Ofra s/n, Ctra. La Cuesta-Taco. 38320 La Laguna. Santa Cruz de Tenerife. España.
marinarm@gmail.com
Recibido el 5 de mayo de 2005.
Aceptado el 25 de enero de 2006.




