Sr. Director:
Los linfangiomas son tumores que normalmente aparecen en el nacimiento y están constituidos por vasos linfáticos dilatados que pueden llegar hasta el tejido celular subcutáneo.
Se han descrito linfangiomas adquiridos secundarios a numerosas etiologías como la radioterapia y la cirugía.
La radioterapia, incluso en dosis bajas, puede inducir en la piel irradiada proliferaciones vasculares benignas, como el linfangioma adquirido progresivo, o malignas, como el angiosarcoma de alto grado1,2.
Las pápulas linfangiomatosas secundarias a la radioterapia constituyen una entidad, con unas particularidades específicas, dentro de las lesiones linfangiomatosas adquiridas.
Nuestra paciente es una mujer de 54 años con historia previa de un carcinoma ductal infiltrante de la mama derecha en estadio tumoral T2 N1b MO, diagnosticada en 1998 y tratada con tumorectomía y linfadenectomía axilar derecha, quimioterapia, hormonoterapia y radioterapia externa de la totalidad de la pared torácica y de la mama derecha con una dosis de 50 Gy. Acudió a nuestra consulta para la evaluación de unas lesiones asintomáticas de aparición progresiva en la piel irradiada de la mama derecha de aproximadamente un año de evolución (seis años después de recibir la radioterapia).
La exploración física puso de manifiesto una coloración amarillenta de la piel de la mama derecha, sobre la cual asentaban múltiples pápulas eritematosas, que en ocasiones confluían formando pequeñas placas y lesiones de aspecto vesiculoso de contenido transparente y en ocasiones hemático (fig. 1). No existía linfedema asociado.
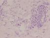
La biopsia de una de las vesículas puso de manifiesto una marcada dilatación vascular en la dermis papilar, que protuía hacia la epidermis (fig. 2).
A medida que los vasos profundizaban en la dermis la luz se estrechaba y se hacían más angulosos e irregulares, con apariencia linfática (fig. 3).
Los espacios vasculares estaban tapizados por una única hilera discontinua de células endoteliales, con núcleos ovales hipercromáticos que protuían hacia la luz, sin nucleolos prominentes, atipia o mitosis.
Característicamente la luz vascular estaba vacía, como es propio de los vasos linfáticos, encontrándose en ocasiones un material proteináceo y algunos hematíes, así como proyecciones papilares revestidas por endotelio.
Las células endoteliales se tiñeron intensamente con los marcadores CD-31 y CD-34, así como con el marcador D2-40 específico de vasos linfáticos.
Con los hallazgos clínicos e histológicos establecimos el diagnóstico de pápulas y placas linfangiomatosas benignas postradioterapia (PPLBP).
En 1994, Finenberg y Rosen describieron proliferaciones vasculares de comportamiento benigno en la piel de la mama y/o pared torácica tras la radioterapia postoperatoria para el carcinoma de mama3.
En los últimos veinte años dichas proliferaciones han recibido distintas denominaciones, incluyendo lesiones vasculares atípicas, linfangiectasias adquiridas, linfangioma adquirido progresivo, linfangioma circunscrito y pápulas linfangiomatosas benignas (PLB)3–5
Díaz-Cascajo et al propusieron denominar pápulas linfangiomatosas benignas secundarias a la radioterapia (PLBP) a unas lesiones cutáneas en las que predomina la proliferación de vasos linfáticos, que clínicamente se presentan como pápulas eritematosas, relacionadas con el tratamiento con radioterapia y que tienen un comportamiento benigno6.
En los últimos años se han publicado nuevos casos de esta entidad7–9. Todos los pacientes son mujeres de edades comprendidas entre los 33 y 72 años y el tumor primario más frecuentemente asociado es el carcinoma de mama. En todos los casos se extirpó el tumor primario con mastectomía parcial o radical, y todas recibieron radioterapia externa postoperatoria en una dosis comprendida entre 46 y 50 Gy.
Las lesiones se presentan como pápulas eritematosas de menos de 1 cm de diámetro, que pueden agruparse formando pequeñas placas. En ocasiones, como en nuestro caso, puede haber vesículas.
El período de latencia entre la radioterapia y la aparición de las primeras lesiones es prolongado, con un intervalo entre 3 y 20 años6,7.
De forma característica las pacientes no refieren síntomas asociados y no presentan linfedema.
Histológicamente existe una marcada dilatación vascular en la dermis papilar, que en ocasiones protuye hacia la epidermis y le confiere a la lesión una apariencia tuberosa. La proliferaciónvascular está relativamente bien circunscrita, aunque no encapsulada, pudiendo alcanzar la dermis profunda y en ocasiones extenderse hasta el tejido celular subcutáneo, aunque esto es más propio de tumores malignos como los angiosarcomas
Los espacios vasculares están tapizados por una única hilera discontinua de células endoteliales que pueden tener núcleos tanto aplanados, como grandes, ovalados, hipercromáticos y protuyentes hacia la luz6,10, y en ocasiones presentan pequeños nucleolos. No existe mitosis ni atipia.
En conclusión, consideramos, de acuerdo con Díaz-Cascajo et al, que las PPLBP representan una variante particular dentro de los linfangiomas adquiridos.
Asimismo, el término de pápulas y/o placas linfangiomatosas benignas secundarias a la radioterapia es el más adecuado, porque hace referencia a la presentación clínica de las lesiones, su naturaleza y su relación con el tratamiento con radioterapia.





