Un varón de 41 años, sin antecedentes médico-quirúrgicos de interés, fue derivado a la consulta de dermatología por unas lesiones cutáneas de 2 meses de evolución en ambos pabellones auriculares. Estas lesiones eran asintomáticas y el paciente no refería ningún posible desencadenante.
Exploración físicaA la exploración física se observaban 4 pápulas perladas de distribución lineal en el antihélix del pabellón auricular izquierdo (fig. 1), y 2 lesiones de similares características en el pabellón derecho.
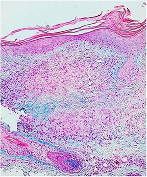
HistopatologíaEl estudio histopatológico mostró una infiltración linfohistiocitaria con histiocitos que se disponen en empalizada rodeando una zona central con necrobiosis y depósito de mucina (fig. 2).
¿Cuál es su diagnóstico?
DiagnósticoGranuloma anular en el antihélix.
Evolución y tratamientoEn este caso las lesiones se resolvieron tras la realización de la biopsia, no precisando de ningún tratamiento.
ComentarioEl granuloma anular (GA) es una enfermedad cutánea granulomatosa no infecciosa. Es una entidad benigna, frecuente en la práctica clínica, de etiopatogenia no conocida y que afecta sobre todo a niños y adultos jóvenes, más frecuentemente a mujeres. Generalmente se presenta en las muñecas, los tobillos, las manos y los pies en forma de pápulas o placas eritematosas de morfología anular y con un aclaramiento central1.
Existen 4 tipos principales de GA. En la variedad localizada, un 80-90% del total, las lesiones aparecen en las localizaciones anteriormente mencionadas y con la morfología típica. La variedad generalizada, que representa menos del 15% de casos, afecta al tronco y las extremidades como numerosas pápulas eritematosas o amarillentas, que pueden confluir formando placas anulares o circinadas. La variedad subcutánea es infrecuente, típica de niños, y se manifiesta como nódulos subcutáneos de rápido crecimiento, indolentes, con piel suprayacente de apariencia normal, localizados en el cuero cabelludo, la región pretibial, las nalgas y las regiones palmar y plantar. La variedad perforante, rara también, se manifiesta como unas pápulas eritematosas que evolucionan a lesiones umbilicadas de centro escamocostroso. Existen descritos otros tipos de GA menos frecuentes y, además, los diferentes tipos tienden a superponerse2.
Hay muy pocos casos de GA que afectan al oído externo publicados en la literatura3–6. Aunque el GA es más incidente en mujeres, es interesante destacar que la mayoría de casos publicados que afectan al oído externo se han descrito en niños o varones jóvenes3–6, y en un gran porcentaje afectando de manera bilateral3–5. Además, las lesiones suelen aparecer en las zonas más expuestas, por lo que se ha sugerido que pequeños traumatismos repetidos puedan estar implicados como desencadenantes, a pesar de que los pacientes no siempre los identifiquen.
En este artículo hemos descrito un GA de presentación atípica, tanto en lo que hace referencia a la localización de las lesiones como a su morfología. Se trata de una presentación muy poco comunicada en la literatura y que puede plantearnos un reto diagnóstico, fundamental para evitar intervenciones o tratamientos innecesarios, no exentos de complicaciones potenciales.
Conflicto de interesesLos autores declaran no tener ningún conflicto de intereses.
Al Servicio de Dermatología del Complejo Hospitalario Universitario de Pontevedra por su colaboración.




