Mujer de 47 años sin antecedentes de interés que consultó por paranasal izquierda de más de 15 años de evolución, que en los últimos meses había crecido ligeramente y le producía picor.
Exploración físicaA la exploración se observaba pápula de 4×6mm, con zona central blanquecina y bordes ligeramente eritematosos (fig. 1). Con dermatoscopio de luz no polarizada, se observaba una lesión con telangiectasias, vasos lineales (región superior) y polimorfos periféricos, sobre un fondo rosado-amarillento, con área esférica blanquecina lechosa central, sin ulceración (fig. 2).
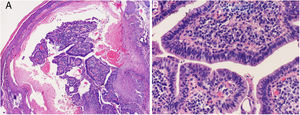
HistopatologíaLa biopsia-extirpación mostró una invaginación epidérmica con proliferación de elementos papilares, los cuales presentaban una doble capa de células epiteliales. En el estroma de estas papilas se observaba un infiltrado inflamatorio con abundantes células plasmáticas (fig. 3).
¿Cuál es su diagnóstico?
DiagnósticoSiringocistoadenoma papilífero (SCAP).
ComentarioEl SCAP es una neoplasia anexial infrecuente y benigna derivada de las glándulas sudoríparas. En la mitad de los casos está presente al nacimiento, y en un 15-30% aparece en la pubertad. Puede ocurrir de novo o en el contexto de un nevus sebáceo, aunque también puede asociarse a numerosas lesiones tanto benignas como malignas, como carcinoma basocelular, verrugas vulgares y distintos tumores anexiales. La apariencia clínica es variable e inespecífica, reconociéndose 3 formas: nódulo, en placa y lineal. Generalmente se presenta como un nódulo o placa única, papilomatoso o verrucoso y a veces erosivo, de tamaño variable, en cabeza y cuello, pero puede aparecer en otras localizaciones; en ocasiones muestra una pequeña fístula con exudado claro, sanguinolento y con mal olor. El diagnóstico es histológico y característico, observándose numerosas invaginaciones quísticas conectadas a la epidermis, extendiéndose en la dermis. Están formadas por ramas papilares de distinto tamaño revestidas por un epitelio con doble capa, con células cuboideas basales y columnares apicales que pueden mostrar secreción por decapitación. Es característico un denso infiltrado inflamatorio con células plasmáticas en el estroma. El tratamiento de elección es la extirpación quirúrgica completa, ya que, aunque es benigno, se han descrito casos con metástasis y asociación a otros tumores malignos.
En cuanto a la dermatoscopia, existen escasas descripciones. La mayoría se corresponden con SCAP asociados a nevus sebáceo, con 14 casos y solo 2 SCAP solitarios. Bruno et al., publicaron por primera vez los hallazgos dermatoscópicos de un SCAP asociado a nevus sebáceo, describiendo un patrón vascular variado (lineales, en herradura y glomerulares) sobre un fondo blanco-rosado1. En otra revisión de tumores sobre nevus sebáceo, describen 9 SCAP, observándose en la mayoría una lesión simétrica con estructuras papilares exofíticas, erosiones/costras/ulceración y distintos vasos (en horquilla, polimorfos y en coma)2; en otro SCAP también sobre nevus sebáceo, describían una lesión blanco-amarillenta con vasos polimorfos y anillo periférico con vasos en horquilla3. Estos autores especulan que las estructuras vasculares podrían estar en relación a la manipulación o traumatismos. Recientemente, en otras 3 lesiones, los principales hallazgos fueron estructuras papilares exofíticas blanco-rosadas y vasos polimorfos4. En los casos de SCAP sin nevus sebáceo, en uno de ellos, se describen estructuras esféricas amorfas blanco-lechosas (correspondiéndose histológicamente con el depósito luminal del tumor) y telangiectasias periféricas5, y en otro, proyecciones papilomatosas rojo-lechosas con ulceración central y áreas amarillentas dentro de las ulceradas (representarían sitios de secreción) y vasos polimorfos6. Por tanto, parece que las estructuras papilares exofíticas blanco-rosadas y vasos polimorfos y lineales son clave para el diagnóstico de SCAP, pero también estructuras esféricas blanco-lechosas5, como nuestro caso. Sin embargo, el papel de la dermatoscopia en el diagnóstico de los tumores anexiales actualmente no es bien conocido, siendo el diagnóstico definitivo histopatológico.





