Un hombre de 45 años, sano, consultó por una lesión asintomática de 18 meses de evolución en el tercio medio de la planta del pie derecho. No recordaba haber padecido ningún traumatismo en la zona o la existencia de una lesión previa.
Exploración físicaUn tumor pedunculado de color piel de 8mm de diámetro, blando y de superficie lisa, localizado en el tercio medio de la región plantar derecha (fig. 1).
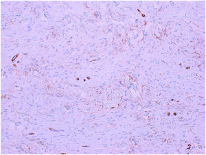
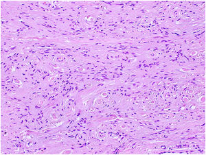
HistopatologíaSe extirpó mediante biopsia excisional y el estudio histopatológico informó a nivel dérmico una proliferación de células fusiformes homogéneas inmersas en un estroma mixoide (fig. 2, tinción hematoxilina-eosina, ×200). El estudio con inmunohistoquímica fue positivo para CD34 y negativo para S100 (fig. 3, técnica inmunohistoquímica CD34, ×200).
¿Cuál es su diagnóstico?
DiagnósticoFibromixoma acral superficial.
Evolución y tratamientoPosteriormente al diagnóstico, se realizó una ampliación quirúrgica de los márgenes de 0,5mm, resultando sin hallazgos patológicos a la histología. Tras 10 meses de seguimiento, no se han observado signos de recurrencia.
ComentarioEl fibromixoma acral superficial es un tumor mesenquimatoso benigno que afecta principalmente a hombres en la quinta década de la vida. La mayoría de los casos publicados lo ubican en las áreas peri y subungueal1–3.
Clínicamente suele ser un tumor no encapsulado, bien circunscrito, polipoide o verrugoso, en forma de cúpula, que se extiende por toda la dermis con una extensión posible al tejido subcutáneo, la fascia subyacente o la capa perióstica2–4.
El examen radiológico es inespecífico, pero en un tercio de los casos pueden coexistir erosiones óseas o lesiones líticas1–5.
En la histología, la epidermis puede presentar hiperqueratosis. A nivel dérmico, destaca una proliferación de fibroblastos fusiformes dentro de una matriz mixoide, con atipia nuclear e infiltración de mastocitos. La inmunohistoquímica muestra una positividad para CD34, CD99, vimentina y EMA, y una negatividad para los marcadores de diferenciación neural y muscular (S100, HMB-45, SMA, desmina y actina)1,3,5.
Los diagnósticos diferenciales incluyen fibroqueratoma, fibroma y verruga plantar3. Asimismo, se deben considerar los tumores negativos para CD34 (tumor glómico, perineuroma esclerosante, fibroqueratoma digital adquirido y fibroma periungueal), y también los tumores positivos para CD34 (angiomixoma superficial, dermatofibrosarcoma protuberans y neurofibroma mixoide)1,3,5.
El tratamiento óptimo es la resección con márgenes libres, dado que existe recurrencia local en aproximadamente el 20-25% de los casos. Si bien su curso natural parece benigno, el espectro histopatológico de los fibroblastos fusiformes es variable, existiendo desde una atipia nuclear leve hasta una atipia importante, siendo su transformación hacia una neoplasia maligna de bajo grado teóricamente posible4,6. Sin embargo, su pronóstico es excelente y hasta la fecha no se ha descrito en la literatura su transformación maligna o el desarrollo de metástasis1,3–5.
Conflicto de interesesLos autores declaramos no tener ningún tipo de relación financiera o personal con otras personas u organizaciones que pudieran dar lugar a un conflicto de intereses en relación con el artículo que se presenta para publicación.






