La morfea es una esclerodermia exclusivamente cutánea, caracterizada por una esclerosis variable tanto en profundidad como en extensión, que puede suponer un reto terapéutico1.
Describimos a continuación una morfea asociada a úlceras de origen neuropático que respondió al tratamiento con apremilast.
Una mujer de 57 años consultó en dermatología en marzo de 2018 por unas úlceras pretibiales de 4 meses de evolución, que aparecían tras mínimos traumatismos o quemaduras con agua caliente, asociadas a una disminución de la sensibilidad en dicha zona. La paciente había sido intervenida de un bypass gástrico en abril de 2014, tras el cual presentó una pérdida de 44kg de peso y malnutrición proteico-calórica con un déficit vitamínico corregido con suplementos nutricionales. Además, tenía una artritis psoriásica periférica desde 2016, tratada con leflunomida. En la exploración física presentaba en las piernas unas úlceras bien delimitadas sobre unas placas induradas de superficie brillante, discrómicas y sin anejos (fig. 1). En antebrazos mostraba placas similares, sin úlceras.
Reinterrogando a la paciente, contó que a los 3 meses de la cirugía desarrolló edema, eritema y artromialgias en las extremidades, junto con parestesias e hipoestesia, que se atribuyeron al déficit nutricional. No se objetivó eosinofilia. En 2016 fue diagnosticada mediante electromiograma de polineuropatía axonal sensitivo-motora en los miembros inferiores y superiores. La paciente negaba fenómeno de Raynaud, edema de dedos, clínica digestiva o respiratoria y no había tomado suplementos con triptófano. La analítica sanguínea, incluyendo hemograma, autoinmunidad y perfil nutricional, férrico y tiroideo, fue normal.
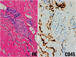
La sospecha clínica fue de úlceras secundarias a una neuropatía sobre placas de morfea. El estudio histológico de una biopsia de las lesiones mostró una fibrosis dérmica, con una ausencia de los anejos (fig. 2), y mediante inmunohistoquímica (S100 y CD45) se observó un infiltrado linfocitario perineural, sin eosinófilos (fig. 3).
Biopsia de la pierna con hematoxilina-eosina. Presenta aplanamiento de la unión dermoepidérmica, aumento del grosor de la dermis con esclerosis de la misma y haces de colágeno engrosados, extendiéndose al tejido adiposo subyacente. Además se observa desaparición de estructuras anexiales y disminución marcada del número de vasos sanguíneos.
Con el diagnóstico establecido de morfea se cambió leflunomida por metotrexato a dosis de 10-20mg/sem, asociando cámara hiperbárica, microinjertos y ciclos de antibióticos por una sobreinfección de las úlceras. En los siguientes 2 años se consiguió una mejoría clara mantenida. Si bien las úlceras curaban donde remitía la morfea, este proceso fue muy lento y en aquellas zonas donde la esclerosis cutánea se mantenía, aparecían nuevas úlceras. En mayo de 2022 se asoció apremilast, observándose una mejoría progresiva desde el primer mes, con una reepitelización completa de las úlceras en el plazo de 5 meses (fig. 4), desaparición de las artromialgias, una remisión de la morfea con reaparición de los anejos y el cese de los síntomas neurológicos, con un electromiograma normal en noviembre del 2022. El metotrexato se suspendió a los 3 meses del inicio de apremilast, y permaneció asintomática hasta el último control clínico realizado 18 meses después del inicio del tratamiento.
La morfea o esclerodermia localizada es un trastorno cutáneo que posee una evolución clínica característica, con una fase inflamatoria inicial que evoluciona a una esclerosis cicatricial y en cuya patogenia se implica una disfunción inmune de base en la que, además, participan factores genéticos y ambientales, la mayoría de las veces sin un desencadenante claro2.
En contraste con la esclerosis sistémica, no asocia esclerodactilia, fenómeno de Raynaud, alteraciones capilares ni de órganos internos, por lo que no es habitual que se acompañe de sintomatología extracutánea, lo que ocurre con una mayor probabilidad si el compromiso cutáneo es extenso o profundo, y suele ser de tipo articular1,3. En particular, la afectación neurológica resulta infrecuente y principalmente en pacientes pediátricos, de forma casi exclusiva en las morfeas lineales del polo cefálico4.
La neuropatía periférica observada en nuestra paciente no está descrita en los textos generales de dermatología como un hallazgo clínico asociado a esta enfermedad. Sin embargo, histológicamente se ha observado la presencia de inflamación perineural de tipo linfoplasmocitaria en más de la mitad de las biopsias de morfeas estudiadas, una frecuencia que aumenta hasta el 84% cuando se emplea inmunohistoquímica. La distribución del infiltrado es preferentemente perineural, aunque alrededor del 5% de las muestras revelan una inflamación intraneural adicional. No obstante, a diferencia de nuestra paciente, la mayoría de los casos son asintomáticos5. Aun así, este dato histológico ha demostrado ser útil como una herramienta en el diagnóstico diferencial a favor de la morfea sobre otras enfermedades inflamatorias de la piel6.
Para el tratamiento de esta enfermedad, los fármacos más ampliamente utilizados son el metotrexato y los corticosteroides. Se han empleado otras terapias sistémicas para los casos refractarios, que incluyen micofenolato, bosentán, infliximab, tofacitinib y abatacept, pero no hay datos suficientes que respalden su eficacia para su uso habitual1.
La inhibición de la PDE4 ha demostrado una capacidad de prevenir y revertir el ambiente de citocinas profibróticas en modelos preclínicos con fibrosis dérmica7. En una serie de 5 casos con morfea publicada recientemente, el apremilast fue empleado como tratamiento de rescate con una respuesta favorable, observándose incluso en uno de ellos, de forma similar a nuestra paciente, una mejoría de unas artralgias en las manos no filiada previamente8.
En conclusión, el apremilast, debido a su actividad en la fibrosis cutánea y la respuesta clínica obtenida en este caso y otros en la literatura, podría ser una alternativa a los casos complicados de morfea, o con una intolerancia o una falta de respuesta a otros fármacos.
Conflicto de interesesLos autores declaran no tener ningún conflicto de intereses.






