INTRODUCCION
Durante la década de 1980 se estableció el metotrexato como un fármaco eficaz, de efecto rápido y bien tolerado, para el tratamiento de la artritis reumatoide (AR) grave refractaria a otros fármacos1-3. Desde el inicio se observó una buena respuesta de las manifestaciones articulares, con una llamativa mejoría de la sinovitis y una normalización de los parámetros bioquímicos (factor reumatoide [FR] y reactantes de fase aguda fundamentalmente). Dicho tratamiento resultó menos eficaz y/o ineficaz en el control de las manifestaciones extraarticulares asociadas a esta enfermedad4.
A finales de los años 1980 se publicaron las primeras observaciones esporádicas de nodulosis acelerada por metotrexato en pacientes con AR tratados con dicho fármaco5,6. Su incidencia se cifra entre un 8 %7 y un 11 %4. Se manifiesta generalmente en enfermos mayores de 50 años, portadores de AR grave de larga evolución, con alta prevalencia de autoanticuerpos. A menudo, pero no siempre, se desarrollan en ausencia de nódulos reumatoides preexistentes. Se caracteriza por la aparición rápida de nódulos reumatoides y/o un aumento de los preexistentes, en pacientes con un buen control tanto del cuadro clínico articular (sinovitis) como de los parámetros bioquímicos de actividad de la enfermedad7-11.
Clásicamente, los nódulos reumatoides en pacientes con AR sin tratamiento con metotrexato suelen localizarse en el olécranon y sobre el tendón de Aquiles y ser mayores de 5 mm. Sin embargo, los nódulos asociados al tratamiento con metotrexato tienden a ubicarse preferentemente en los dedos de las manos y los pies, aunque también se han visto en localizaciones tan dispares como el cuero cabelludo, los pabellones auriculares, la región paravertebral, las palmas, las plantas, los brazos, las piernas y la cara7,9,11. Suelen ser dolorosos al inicio, de pequeño tamaño (↓ 5 mm) y tienden a presentar un área central de necrosis. Característicamente suelen remitir y/o disminuir al suspender el metotrexato, lo que en principio indica causalidad7-11.
Pueden coexistir con nódulos en localizaciones extracutáneas como la laringe, el pulmón12, el corazón13 y las meninges14. En ocasiones se asocian a otras manifestaciones extraarticulares como lesiones ungueales y úlceras cutáneas7 y, con menor frecuencia, o excepcionalmente, a vasculitis5, poliserositis y taponamiento cardíaco15,16.
El estudio histopatológico demuestra en la mayoría de los casos el patrón clásico del nódulo reumatoide7,17.
Recientemente, se ha demostrado que el alelo HLA-DRB1 *0401 está estrechamente relacionado con la existencia de nodulosis asociada a metotrexato18.
Incidentalmente se ha observado este mismo cuadro en pacientes tratados con metotrexato con otras enfermedades inflamatorias articulares, como artritis reumatoide juvenil (ARJ)19,20 y artritis psoriásica21.
DESCRIPCION DEL CASO
Un varón de 70 años, con antecedente de tuberculosis pulmonar, fue diagnosticado de AR con FR positivo, hace más de 25 años y presentaba, además, síndrome de Sjögren secundario. El cuadro se había iniciado en los tobillos y las rodillas, para posteriormente afectar a los hombros, los codos, las muñecas, las articulaciones metacarpofalángicas e interfalángicas de las manos y las metatarsofalángicas de los pies. Había realizado múltiples tratamientos, fundamentalmente con antiinflamatorios no esteroideos, aunque no había sido tratado con fármacos remisivos.
Desde el año 1990 el paciente presentaba dos nódulos subcutáneos estables en la superficie cubital de ambos antebrazos, cuyos tamaños eran de 1,5 y 2 cm.
A finales de 1993 consultó por una intensa reagudización de los síntomas articulares. En la exploración física se apreciaba dolor a la palpación y con los movimientos en los hombros, una hipertrofia sinovial en los codos y las muñecas con luxación dorsal de la estiloides, atrofia de los interóseos e hipertrofia de las articulaciones metacarpofalángicas, luxación palmar de los dedos de las manos con desviación cubital, un aumento del volumen y sinovitis en la rodilla derecha, una desviación externa del antepié bilateral y una subluxación de articulaciones metatarsofalángicas. No existía modificación en los nódulos de antebrazos.
El estudio radiológico reveló la existencia de lesiones erosivas en las articulaciones metacarpofalángicas, interfalángicas proximales y metatarsofalángicas, un pinzamiento uniforme y signos degenerativos en la rodilla derecha. En la radiografía de tórax existían signos de tuberculosis residual, sin presencia de nódulos pulmonares.
En la analítica destacaban una elevación del FR 120 U/ml (0-20); VSG, 29 mm (↓ 14); PCR, 2,5 mg/dl (0-0,8), e IgA, 423mg/dl; ANA (+) a título 1/80 y anti-ADN (). El hemograma, la bioquímica general, el sedimento urinario, el proteinograma, el resto de inmunoglobulinas, C3, C4, el estudio de coagulación y el anticoagulante lúpico resultaron normales o negativos.
Ante este cuadro se instauró tratamiento con metotrexato a dosis de 7,5 mg semanales (vía oral), indometacina y ácido fólico, con una buena respuesta, lenta y progresiva, de la sintomatología articular y una normalización de los parámetros bioquímicos.
Cuatro años después, el paciente seguía con metotrexato a la misma dosis, y en una revisión rutinaria, se observó un aumento llamativo de los nódulos de los antebrazos y la presencia de nuevos nódulos en los dedos de ambas manos, sin reagudización de la sinovitis y con una analítica normal. El paciente refería que los nuevos nódulos inicialmente habían sido eritematosos y discretamente dolorosos.
En la exploración dermatológica se apreciaban tres nódulos en el dorso de los dedos de ambas manos, próximos a las articulaciones metacarpofalángicas e interfalángicas, cuyos tamaños oscilaban entre 0,8 cm y 1,7 cm (fig. 1), el mayor de los cuales era doloroso a la presión. En ambos antebrazos se observaba un gran aumento de los nódulos preexistentes, cuyos tamaños eran de 5 y 6 cm de diámetro, respectivamente (fig. 2).
Fig. 1.--Nódulos de pequeño-mediano tamaño en dorso de dedos de mano izquierda.
Fig. 2.--Nódulos de gran tamaño en superficie cubital de antebrazo derecho.
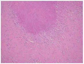
El estudio histológico de un nódulo reveló la existencia de varios focos de degeneración eosinófila del colágeno, rodeados de una empalizada periférica compuesta fundamentalmente por histiocitos (con tendencia a fusionarse), células gigantes y escasos linfocitos (fig. 3).
Fig. 3.--Detalle de la empalizada periférica que rodea a un foco de degeneración colágena. Está compuesta fundamentalmente por histiocitos con tendencia a fusionarse, formando células gigantes (flechas ↑) (HE, ×250).
Con el diagnóstico de presunción de nodulosis acelerada por metotrexato y ante la negativa del paciente a abandonar este tratamiento, se disminuyó inicialmente su dosis a 5 mg/semanales, sin mejorar sustancialmente el cuadro nodular. Posteriormente se suspendió, con lo que se objetivó la desaparición de los nódulos de pequeño tamaño y la disminución de los grandes en los meses siguientes.
Nueve meses más tarde presentó una reagudización del cuadro articular, sin modificación de los nódulos, y una nueva elevación del FR (74,9 U/ml). Ante este hecho se reintrodujo el metotrexato, a dosis de 7,5 mg/semanales, y, al mes, aumentaron los nódulos de antebrazos y aparecieron dos nuevos nódulos localizados en la cara dorsal del segundo dedo de la mano derecha y en la articulación metatarsofalángica del primer dedo del pié homolateral, acompañado en este último de necrosis central. Ante ello se suspendió definitivamente el metotrexato, con lo que los nódulos mejoraron de nuevo.
Con posterioridad, el paciente ha sido tratado con leflunomida y, 2 años más tarde, han aumentado en número y tamaño los nódulos de los antebrazos.
DISCUSION
Nuestro paciente cumple con el perfil clásico de ser portador de una AR grave de larga evolución, con un FR positivo y autoanticuerpos, característico de los que presentan el cuadro que nos ocupa. A ello se une en este caso la existencia de un síndrome de Sjögren secundario. Excepcionalmente, se ha observado en algún paciente con FR negativo, lo que indica que la positividad del FR no es un requisito indispensable7.
Clínicamente, resulta llamativo el aumento de los nódulos preexistentes en los antebrazos, que prácticamente triplicaron su tamaño. La existencia de nuevos nódulos en las superficies articulares extensoras de los dedos de las manos y los pies, junto a la tendencia a la necrosis central observada en este último, coinciden con lo habitualmente descrito en esta entidad. Frente a lo publicado, los nódulos en nuestro paciente tendieron a superar los 5 mm. Es posible que su mayor tamaño pueda deberse a la evolución más larga de la nodulosis en este caso, condicionada por la negativa inicial del paciente a abandonar el tratamiento con metotrexato.
Existe gran variabilidad tanto en la dosis acumulada como en la duración del tratamiento con metotrexato para que se manifieste esta entidad7. Así Kerstens et al7 observaron que la dosis acumulada oscila entre 60 y 2.145 mg, y la duración del tratamiento fluctúa entre 2 y 60 meses. En nuestro paciente el cuadro se manifestó tras 4 años de tratamiento con metotrexato, con una dosis acumulada próxima a los 1.440 mg.
No detectamos nódulos extracutáneos, vasculitis, ni otras manifestaciones extraarticulares como derrame pleural o taponamiento cardíaco. El que el metotrexato induzca vasculitis es algo muy discutido, ya que existen datos contradictorios5,6,18,22.
Como comentamos en la introducción, es un hecho comprobado que mientras el metotrexato resulta muy eficaz en el control de la artritis, lo es menos en el tratamiento de las manifestaciones extraarticulares de la AR4,15. Para este comportamiento dispar se manejan varias explicaciones posibles. Por una parte, se ha demostrado mayor concentración de metotrexato en el líquido sinovial que en el suero23. Por otro lado, se sabe que el metotrexato suprime la proliferación de fibroblastos, por lo tanto, presumiblemente inhibirá el crecimiento de los fibroblastos sinoviales y controlará la sinovitis. Sin embargo, parece no afectar a los mecanismos que intervienen en la producción de autoanticuerpos y en el depósito de inmunocomplejos circulantes principales implicados en las manifestaciones extraarticulares15.
En nuestro caso, como en la mayoría de los publicados, el estudio histopatológico muestra el patrón clásico de nódulo reumatoide. Un estudio inmunohistoquímico revela que, junto al predominio de marcadores macrofágicos, hay una intensa expresión de CD4 y una elevada proporción CD4/CD8 (25/1)17. Los nódulos reumatoides están constituidos esencialmente por una empalizada de células del sistema monocito-macrofágico (incluidas células gigantes multinucleadas) que rodean una zona necrótica central. Se ha demostrado in vitro que concentraciones farmacológicas de metotrexato actúan sobre monocitos en cultivo, y aumentan la fusión celular y la formación de células gigantes multinucleadas, lo que contribuye a la formación de nódulos reumatoides24.
El metotrexato promueve la formación de nódulos al incrementar la liberación de adenosina, que se une a receptores específicos A1, los cuales al activarse promueven la fusión celular. Receptores antagonistas de A1 inhiben la formación de células gigantes y revierten completamente los efectos tanto del metotrexato como del receptor antagonista de la adenosina A124. Por lo tanto, fármacos que alteren de alguna forma al receptor agonista de la adenosina A1 nos permitirán realizar el tratamiento de la nodulosis acelerada por metotrexato, sin necesidad de suspender éste. Así, se han obtenido buenos resultados con la colchicina8,9, un fármaco disruptor de microtúbulos (la eficacia del receptor de la adenosina A1, depende de la integridad de los microtúbulos).
Se ha postulado una posible predisposición genética, lo que se ha demostrado en parte por la asociación de HLA-DRB1, *0401 en pacientes de raza blanca con AR7.
Otro hecho muy controvertido lo constituye el manejo terapéutico de estos pacientes. En la actualidad se acepta que cuando existan manifestaciones extraarticulares graves asociadas (poliserositis, taponamiento cardíaco, etc.) el metotrexato debe suspenderse. Pero cuando no estén presentes, se prefiere mantenerlo y asociarlo a otros fármacos que se han demostrado eficaces en el tratamiento de la nodulosis, como hidroxicloroquina4,18, colchicina8,9, D-penicilamina25, sulfasalazina26 y etanercept18. No obstante los resultados son dispares.
Para aquellos enfermos con elevado riesgo de padecerla, es decir los portadores del alelo HLA-DRB1 *0401, se recomienda iniciar tempranamente una terapia combinada que asocie metotrexato con uno o dos de los fármacos antes citados18.
La eficacia de los nuevos tratamientos antirreumáticos (infliximab, leflunomida,...) en estos casos, aún no ha sido establecida18. En nuestro paciente la leflunomida no consiguió controlar los nódulos reumatoides clásicos.





