HISTORIA CLINICA
Una niña de 3 semanas de vida fue visitada en nuestro servicio por la aparición de nódulos eritematosos generalizados desde hacía 15 días, sin otra sintomatología sistémica acompañante. Correspondía a una tercera gestación sin incidentes de una mujer hipertensa; el parto fue eutócico y espontáneo a la semana 41. El peso al nacimiento fue 3.950 g y el Apgar 5/7. Precisó reanimación con mascarilla en la sala de partos. A las 5 h de vida se trasladó a la sección de neonatología con sospecha de infección, con hemocultivos negativos, y pudo ser dada de alta a los 4 días.
EXPLORACION FISICA
El estado general de la niña era aparentemente bueno. Se observó una placa eritematosa, empastada al tacto, profunda y desplazable, de 2 cm de diámetro (fig. 1). Además, tenía dos nódulos de menor tamaño y similares características, uno en la zona cervical posterior y otro en la región occipital (fig. 2).
Fig. 1.--Placa subcutánea indurada en la zona media de la espalda.
Fig. 2.--Nódulos subcutáneos en las zonas cervical posterior (A) y occipital (B).
EXPLORACIONES COMPLEMENTARIAS
El hemograma mostró una trombocitosis leve y la bioquímica básica, incluyendo las concentraciones de calcio y triglicéridos, fue normal. Se realizó una biopsia cutánea de la placa dorsal y de la lesión en la nuca.
DIAGNOSTICO
Necrosis grasa subcutánea del recién nacido.
HISTOPATOLOGIA
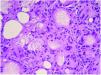
En el examen histopatológico encontramos epidermis y dermis normales. En el tejido celular subcutáneo se observó una paniculitis lobulillar (fig. 3), con adipocitos necróticos rodeados por un denso infiltrado inflamatorio compuesto por linfocitos, histiocitos y células gigantes multinucleadas. Llamaba la atención la presencia de estructuras cristalinas lipídicas con disposición radial en el interior de muchos de los adipocitos y células multinucleadas (fig. 4).
Fig. 3.--Paniculitis lobulillar con necrosis de los adipocitos.
Fig. 4.--Estructuras cristalinas lipídicas con disposición radial en el interior de células multinucleadas.
EVOLUCION
A los 3 meses de seguimiento, las lesiones cutáneas habían desaparecido espontáneamente sin dejar cicatriz.
COMENTARIO
La necrosis grasa subcutánea del recién nacido es una entidad clinicopatológica bien definida, aunque poco frecuente, que pertenece al grupo de las paniculitis neonatales. Existen menos de 150 casos recogidos en la literatura especializada desde su descripción original en 1815 por Cruse 1.
Clínicamente, se caracteriza por la aparición, en las primeras semanas de vida, de nódulos aislados de color eritematoso o violáceo, bien delimitados y duros al tacto. Los nódulos no están adheridos a estructuras profundas y se localizan preferentemente en las mejillas, las nalgas, la espalda, los brazos y los muslos. Histológicamente corresponden a focos de necrosis grasa. Las lesiones habitualmente son asintomáticas, aunque pueden ser dolorosas. La necrosis grasa afecta a recién nacidos a término sanos, pero con frecuencia sometidos a condiciones de estrés en el periodo perinatal 2,3. En general, el curso de la enfermedad es benigno e indolente y los nódulos desaparecen de forma espontánea en pocas semanas.
Su etiopatogenia no está del todo clara, pero parece estar relacionada con alteraciones en la composición o metabolismo del tejido graso neonatal. Los adipocitos cutáneos del recién nacido tienen más grasa saturada que los del adulto y por tanto, mayor tendencia a cristalizar con la exposición al frío, provocando una reacción inflamatoria granulomatosa que da lugar a la necrosis grasa. En este sentido, la hipotermia inducida en el contexto de la cirugía cardiaca en neonatos con cardiopatías congénitas, parece tener un papel determinante 4-7. Otros factores como los traumatismos obstétricos, el déficit de grasa parda 8 y la isquemia en la diabetes gestacional y la preeclampsia, pueden actuar como desencadenantes de las lesiones.
La asociación entre necrosis grasa subcutánea del recién nacido e hipercalcemia fue publicada inicialmente por Clay en 1956 9. La hipercalcemia es una complicación sistémica de la necrosis grasa que, aunque poco frecuente, puede ser potencialmente grave. Suele desarrollarse durante la fase de resolución de la paniculitis, y su origen se ha relacionado con la producción no regulada de vitamina D por los granulomas inflamatorios, de modo similar a lo que ocurre en otras afecciones granulomatosas como la sarcoidosis 10,11. La hipercalcemia se desarrolló en 4 de los 11 pacientes con necrosis grasa de Burden y Krafchik, y en uno de ellos lo hizo 60 días después del comienzo de las lesiones cutáneas 3. Otras raras complicaciones de la necrosis grasa incluyen hipoglucemia, anomalías en los lípidos plasmáticos, trombocitopenia y abscesificación de las lesiones 12.
Hasta 1907 no se publicaron las primeras descripciones histológicas, que revelan áreas de necrosis grasa focal en los lobulillos del panículo adiposo, infiltrados por células inflamatorias y gigantes multinucleadas de tipo cuerpo extraño, a modo de empalizada mal definida. Tanto los adipocitos como las células gigantes contienen cristales grasos aciculares en disposición radial desde el centro de la célula a su periferia. En las lesiones más evolucionadas, pueden observarse calcificaciones distróficas.
El diagnóstico diferencial, clínico e histológico de la necrosis grasa subcutánea del recién nacido se establece con otras paniculitis neonatales, especialmente con el esclerema neonatorum, una paniculitis poco frecuente, de prematuros gravemente enfermos, que se presenta clínicamente como un empastamiento cutáneo de color amarillento, difuso y rápidamente progresivo, con una tasa de mortalidad elevada. A diferencia de la necrosis grasa, la biopsia cutánea no muestra reacción inflamatoria.
Dada la naturaleza autolimitada del cuadro, el tratamiento de la necrosis grasa subcutánea del recién nacido está dirigido a la prevención y tratamiento de las posibles complicaciones, haciendo especial hincapié en la necesidad de llevar a cabo una vigilancia clínica y analítica de la hipercalcemia, durante un periodo de tiempo que varía entre 2 y 4 meses tras el inicio de las lesiones cutáneas.
Correspondencia:
Daniel Cameselle.
Servicio de Dermatología.
Hospital Insular de Gran Canaria.
Avda. Marítima, s/n.
35016 Las Palmas de Gran Canaria. España.
dani.camel@terra.es
Recibido el 20 de mayo de 2005.
Aceptado el 1 de septiembre de 2005.






