HISTORIA CLINICA
Varón de 66 años de edad, ex fumador desde hace 20 años, con antecedentes personales de hiperuricemia y sin antecedentes familiares de interés, que consulta por una tumoración umbilical de 7-8 meses de evolución, asintomática, de rápido crecimiento y con supuración ocasional. Además, refiere estreñimiento pertinaz y pérdida de aproximadamente 3 kg de peso.
EXPLORACION FISICA
En la región umbilical se aprecia un nódulo mal delimitado, de coloración eritematomarronácea, superficie levemente descamativa, sin ulceración ni supuración, infiltrado y de consistencia leñosa al tacto, de 2 cm de diámetro (fig. 1). La exploración física general del paciente no muestra signos de caquexia. Tampoco se palpan adenopatías ni visceromegalias.
Fig. 1.--Nódulo eritematomarronáceo de consistencia leñosa en el ombligo.
EXPLORACIONES COMPLEMENTARIAS
En la analítica realizada cabe destacar una elevación del antígeno carcinoembrionario, con cifras de 20,4 ng/ml (0,0-5,0) y del CA 19-9, con cifras de 627,8 U/ml (0,0-37).
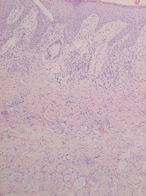
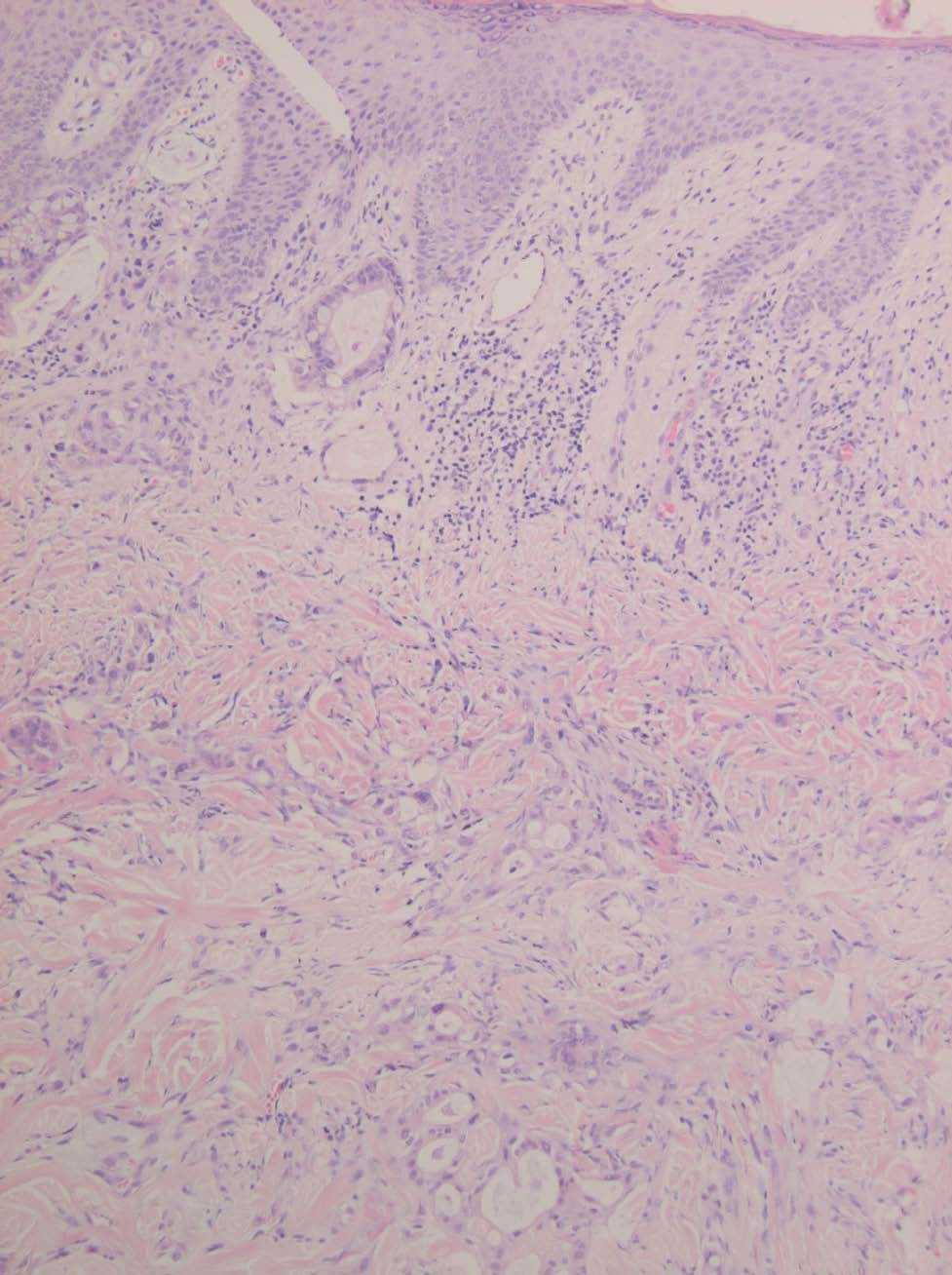
El estudio histológico de una biopsia de la lesión se muestra en las figuras 2 y 3.
Fig. 2.--Detalle histológico. (Hematoxilina-eosina, x 20.)
Fig. 3.--Detalle histológico. Positividad para antígeno carcinoembrionario (CEA).
La tomografía axial computarizada (TAC) abdominopélvica muestra signos de infiltración mesentérica por una carcinomatosis peritoneal, probablemente secundaria a una masa sólida de aspecto tumoral que estenosa la luz colónica a aproximadamente 12 cm del margen anal. No se observan metástasis hepáticas, adenomegalias ni alteraciones torácicas.
En la colonoscopia se visualiza, a 18 cm del margen anal, una masa vegetante, infiltrante, ulcerada, dura y friable que estenosa la luz impidiendo el paso del endoscopio.
DIAGNOSTICO
Nódulo de la Hermana María José secundario a adenocarcinoma de colon.
HISTOPATOLOGIA
El examen histopatológico muestra una dermis con numerosas formaciones glandulares (fig. 2). A mayor aumento se aprecia que las formaciones glandulares están constituidas por células poligonales y cilíndricas con presencia de moco en su interior, con núcleos pleomórficos e hipercromáticos, y con presencia de nucleolos. El estudio inmunohistoquímico demuestra una positividad para el antígeno carcinoembrionario (CEA) (fig. 3) y la citoqueratina (CK) 20, siendo negativa la CK7. El resultado de la biopsia de la neoformación colónica revela la presencia de un adenocarcinoma bien diferenciado, con áreas coloides, infiltrante, sobre adenoma velloso.
EVOLUCION Y TRATAMIENTO
Debido al estadio avanzado de la neoplasia se decide realizar un tratamiento sintomático paliativo con analgésicos y lactulosa, descartándose las medidas terapéuticas agresivas.
COMENTARIO
Las metástasis umbilicales de neoplasias internas, aunque están bien documentadas en la literatura, son un hallazgo poco frecuente 1. Suelen ser secundarios a tumores digestivos (estómago, colon, recto, páncreas) y ginecológicos (ovario, endometrio, trompa) 2 y, aunque generalmente aparecen en el seno de una neoplasia diseminada previamente diagnosticada, en ocasiones son la forma de presentación clínica de la enfermedad o el primer signo de una recidiva tumoral 3.
El adenocarcinoma de colon es una de las neoplasias con mayor incidencia en nuestro medio. Suele metastatizar a ganglios linfáticos, hígado, peritoneo, pulmón y ovarios. Las metástasis umbilicales son raras, y que se presenten como signo inicial de la enfermedad es un hecho excepcional 4.
Las metástasis umbilicales de neoplasias intraabdominales se conocen como nódulo de la Hermana María José. Este término fue acuñado por Sir Hamilton Bailey en la undécima edición de su libro Physical Signs in Clinical Surgery, publicado en 1949, en deferencia a la enfermera del St. Mary Hospital de Rochester y asistente quirúrgica del Dr. William Mayo, que observó la asociación entre la presencia de un nódulo umbilical y la existencia de una neoplasia intraabdominal avanzada 5.
El mecanismo patogénico por el que un cáncer metastatiza al ombligo no se conoce con exactitud. En muchas ocasiones puede explicarse como una extensión directa en el contexto de una carcinomatosis abdominoperitoneal 6. Otras posibles vías de diseminación son la linfática (importante red linfática local, que comunica con la red linfática subserosa a través de los nódulos axilares, inguinales y paraaórticos, permitiendo a las células tumorales alcanzar el ombligo durante el flujo linfático retrógrado), la hematógena (comunicaciones venosas con el conducto torácico lateral, la vena mamaria interna y el sistema porta), la extensión a través de los ligamentos de origen embrionario que alcanzan el ombligo (ligamento redondo, banda uracal, banda vitelo-intestinal y arteria vitelina obliterada) 6, y la siembra tumoral secundaria a un acto quirúrgico 7.
El aspecto clínico del nódulo de la Hermana María José corresponde a una tumoración de tamaño variable, a veces dolorosa, y en muchos casos ulcerada, con exudación de material serosanguinolento, purulento o mucoide 2. La mayoría de las veces su histopatología es la de un adenocarcinoma, siendo menos frecuentes las neoplasias epidermoides, carcinoides e indiferenciadas 8.
El diagnóstico diferencial se establece con tumores umbilicales primitivos benignos (nevus, queratosis, quistes, dermatofibromas, queloides, angiomas, granulomas piogénicos, angioqueratomas, linfangiomas), tumores primitivos malignos (epiteliomas basocelulares, epiteliomas espinocelulares, melanomas, sarcomas) y patología no tumoral (endometriosis, hernias, granulomas a cuerpo extraño, malformaciones congénitas del conducto onfalomesentérico o del uraco) 2.
El diagnóstico de una tumoración umbilical debe confirmarse mediante el estudio histológico de la lesión aunque, en ocasiones, es suficiente el diagnóstico citológico de una muestra obtenida mediante punción aspiración con aguja fina 9,10.
El nódulo de la Hermana María José se asocia a un mal pronóstico, ya que casi siempre aparece en el seno de una enfermedad diseminada. La tasa de supervivencia suele ser de meses y el tratamiento es de carácter paliativo. Sólo en pacientes seleccionados puede plantearse un tratamiento agresivo combinando cirugía y quimioterapia para intentar controlar la diseminación tumoral 11.
Declaración de conflicto de intereses
Declaramos no tener ningún conflicto de intereses.
Correspondencia:
Iván Cervigón González. Servicio Dermatología. Hospital Virgen Salud. Escorial 26. 28950 Moraleja de Enmedio. Madrid. España.
icervigon@sescam.jccm.es
Recibido el 28 de julio de 2005.
Aceptado el 8 de septiembre de 2005.





